• Tel: 858.663.9055
  • SeparatorEmail: info@nsjbio.com
  • Tel: 858.663.9055
  • Email: info@nsjbio.com
Home >> Antibodies >> Connexin 43 Antibody

Connexin 43 Antibody (F44391)

  Catalog No Formulation Size Price (USD)  
Image F44391-0.4ML In 1X PBS, pH 7.4, with 0.09% sodium azide 0.4 ml 439
Image
F44391-0.08ML In 1X PBS, pH 7.4, with 0.09% sodium azide 0.08 ml 205
Bulk quote request
Western blot analysis of lysate from (1) HeLa, (2) U-87 MG, (3) rat C6 cell line and (4) mouse heart tissue lysate using Connexin 43 antibody at 1:1000. Predicted molecular weight: 43 kDa
Western blot analysis of Connexin 43 antibody and CEM lysate
Western blot analysis of Connexin 43 antibody and mouse brain tissue lysate. Predicted molecular weight: 43 kDa
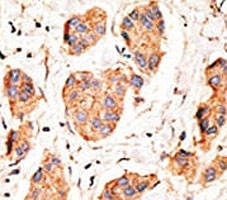
IHC analysis of FFPE human breast carcinoma tissue stained with the Connexin 43 antibody
Availability 1-3 business days
Species Reactivity Human, Mouse, Rat
Predicted Reactivity Bovine, Xenopus
Format Purified
Host Rabbit
Clonality Polyclonal (rabbit origin)
Isotype Rabbit Ig
Purity Purified
UniProt P17302
Applications Western Blot : 1:1000
IHC (Paraffin) : 1:50-1:100
Limitations This Connexin 43 antibody is available for research use only.
Review this product on BioCompare and get a $20 Amazon gift card

Related Products

  • Applications : WB, IHC-P, IF
    Reactivity : Human, Mouse, Rat
  • Applications : WB, IHC-P, IHC-F
    Reactivity : Human (1), Mouse, Rat
  • Applications : WB, ELISA (peptide)
    Reactivity : Human, Rat
    Pred. Reactivity : Dog, Pig
  • Applications : WB, IHC-P, Direct ELISA
    Reactivity : Human, Mouse, Rat

Description

Gap junction protein, alpha 1 is a member of the connexin gene family and a component of gap junctions. Gap junctions are composed of arrays of intercellular channels and provide a route for the diffusion of materials of low molecular weight from cell to cell. Connexin 43 is the major protein of gap junctions in the heart, and gap junctions are thought to have a crucial role in the synchronized contraction of the heart and in embryonic development. Connexin 43 is targeted by several protein kinases that regulate myocardial cell-cell coupling. A related intron-less connexin 43 pseudogene, GJA1P, has been mapped to chromosome 5.

Application Notes

Titration of the Connexin 43 antibody may be required due to differences in protocols and secondary/substrate sensitivity.

Immunogen

A portion of amino acids 107-138 from the human protein was used as the immunogen for this Connexin 43 antibody.

Storage

Aliquot the Connexin 43 antibody and store frozen at -20oC or colder. Avoid repeated freeze-thaw cycles.

Cross
Bulk Quote Request Form
Name*:
Organization*:
Email*:
Phone Number*:
Catalog No.*:
Comments and Specifics(amount, formulation, etc.)*:
Validation code: Captchapackage Image


Can't read the image? click here to refresh.
    *required field

Your bulk quote request has been submitted successfully!

Please contact us if you have any questions.