• Tel: 858.663.9055
  • SeparatorEmail: info@nsjbio.com
  • Tel: 858.663.9055
  • Email: info@nsjbio.com
Home >> Antibodies >> Complement C9 Antibody / C9 Protein

Complement C9 Antibody / C9 Protein [clone r10A6] (V6016)

  Catalog No Formulation Size Price (USD)  
Image V6016-100UG 0.2 mg/ml in 1X PBS with 0.05% BSA, 0.05% sodium azide 100 ug 559
Image
V6016-20UG 0.2 mg/ml in 1X PBS with 0.05% BSA, 0.05% sodium azide 20 ug 259
Image
V6016SAF-100UG 1 mg/ml in 1X PBS; BSA free, sodium azide free 100 ug 559
Microvalidated Recmousemono
Bulk quote request
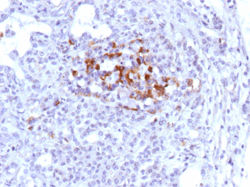
Immunohistochemistry analysis of Complement C9 antibody in human tonsil. Formalin-fixed, paraffin-embedded human tonsil tissue was stained with Complement C9/C9 Protein antibody (clone r10A6). Distinct brown chromogenic signal is observed in scattered immune cells within the tonsillar lymphoid tissue, consistent with Complement C9 deposition, while surrounding stromal elements show minimal staining. The signal appears predominantly cytoplasmic and membranous in positive cells. Inset: PBS was used in place of the primary antibody as a negative control. Heat-induced epitope retrieval was performed in 10mM Tris with 1mM EDTA, pH 9.0, for 45 min at 95oC followed by cooling at room temperature for 20 minutes.
SDS-PAGE Analysis of Purified Complement C9/C9 Protein antibody (r10A6). Confirmation of Purity and Integrity of Antibody.
Species Reactivity Human
Format Purified
Host Mouse
Clonality Recombinant Mouse Monoclonal
Isotype Mouse IgG1, kappa
Clone Name r10A6
UniProt P02748
Localization Cytoplasm, Secreted
Applications Immunohistochemistry (FFPE) : 1-2ug/ml
Limitations This Complement C9/C9 Protein antibody is available for research use only.
Review this product on BioCompare and get a $20 Amazon gift card

Related Products

Description

Complement C9 antibody recognizes Complement component 9, also referred to as C9 protein, a terminal component of the complement cascade encoded by the C9 gene. Complement C9 is a secreted glycoprotein that plays a critical role in innate immunity through its participation in formation of the membrane attack complex. This complex is responsible for creating transmembrane pores in target cell membranes, leading to osmotic lysis of bacteria and other susceptible cells. Complement C9 antibody supports investigation of terminal complement pathway activation and immune mediated tissue injury.

Complement component 9 belongs to the membrane attack complex perforin family of pore forming proteins. Activation of the classical, lectin, or alternative complement pathways results in cleavage of C5 and assembly of the C5b-6-7-8 complex on target membranes. Multiple C9 molecules then bind and polymerize, forming a circular pore structure that inserts into the lipid bilayer. This polymerization step is essential for full lytic activity. Detection of C9 protein therefore provides evidence of membrane attack complex formation and complement mediated cytotoxicity.

C9 protein is synthesized predominantly by hepatocytes and secreted into the circulation as a soluble monomer. Under physiologic conditions, it is found in plasma and serum. Tissue deposition of Complement C9 is typically observed along cell membranes in settings of complement activation, including autoimmune disease, transplant rejection, and certain infectious processes. Increased C9 deposition has been documented in renal pathologies, systemic inflammatory conditions, and antibody mediated injury.

The C9 gene is located on chromosome 5p13.1 and encodes a protein containing the membrane attack complex perforin domain responsible for pore formation. Structural rearrangements allow C9 to transition from a soluble monomer to a membrane inserted polymer during complement activation. Complement C9 antibody clone r10A6 is a recombinant mouse monoclonal antibody designed to detect C9 protein in research applications, supporting studies of complement activation, immune pathology, and inflammatory microenvironments.

Application Notes

1. Optimal dilution of the Complement C9/C9 Protein antibody should be determined by the researcher.

2. This Complement C9/C9 Protein antibody is recombinantly produced by expression in CHO cells.

Immunogen

Prokaryotic recombinant protein corresponding to a C-terminal region of the Complement component C9 molecule was used as the immunogen for the Complement C9/C9 Protein antibody.

Storage

Complement C9/C9 Protein antibody with sodium azide - store at 2 to 8oC; antibody without sodium azide - store at -20 to -80oC.

Cross
Bulk Quote Request Form
Name*:
Organization*:
Email*:
Phone Number*:
Catalog No.*:
Comments and Specifics(amount, formulation, etc.)*:
Validation code: Captchapackage Image


Can't read the image? click here to refresh.
    *required field

Your bulk quote request has been submitted successfully!

Please contact us if you have any questions.