• Tel: 858.663.9055
  • SeparatorEmail: info@nsjbio.com
  • Tel: 858.663.9055
  • Email: info@nsjbio.com
Home >> Antibodies >> Complement 3d Antibody / C3d

Complement 3d Antibody / C3d [clone C3D/2891] (V8141)

  Catalog No Formulation Size Price (USD)  
Image V8141-100UG 0.2 mg/ml in 1X PBS with 0.1 mg/ml BSA (US sourced) and 0.05% sodium azide 100 ug 559
Image
V8141-20UG 0.2 mg/ml in 1X PBS with 0.1 mg/ml BSA (US sourced) and 0.05% sodium azide 20 ug 259
Image
V8141SAF-100UG 1 mg/ml in 1X PBS; BSA free, sodium azide free 100 ug 559
Microvalidated
Bulk quote request
Analysis of HuProt(TM) microarray containing more than 19,000 full-length human proteins using Complement 3d antibody (clone C3D/2891). These results demonstrate the foremost specificity of the C3D/2891 mAb. Z- and S- score: The Z-score represents the strength of a signal that an antibody (in combination with a fluorescently-tagged anti-IgG secondary Ab) produces when binding to a particular protein on the HuProt(TM) array. Z-scores are described in units of standard deviations (SD's) above the mean value of all signals generated on that array. If the targets on the HuProt(TM) are arranged in descending order of the Z-score, the S-score is the difference (also in units of SD's) between the Z-scores. The S-score therefore represents the relative target specificity of an Ab to its intended target.
SDS-PAGE analysis of purified, BSA-free Complement 3d antibody (clone C3D/2891) as confirmation of integrity and purity.
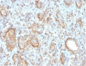
IHC staining of FFPE human rejected kidney transplant with Complement 3d antibody (clone C3D/2891). HIER: boil tissue sections in pH 9 10mM Tris with 1mM EDTA for 20 min and allow to cool before testing.
IHC staining of FFPE human hepatocellular carcinoma tissue with Complement 3d antibody (clone C3D/2891). HIER: boil tissue sections in pH 9 10mM Tris with 1mM EDTA for 20 min and allow to cool before testing.
Availability 1-3 business days
Species Reactivity Human
Format Purified
Host Mouse
Clonality Monoclonal (mouse origin)
Isotype Mouse IgG2b, kappa
Clone Name C3D/2891
Purity Protein G affinity chromatography
UniProt P01024
Applications Immunohistochemistry (FFPE) : 1-2ug/ml
Limitations This Complement 3d antibody is available for research use only.
Review this product on BioCompare and get a $20 Amazon gift card

Description

The complement component proteins, C2, C3, C4 and C5, are potent anaphylatoxins that are released during complement activation. Binding of these proteins to their respective G protein-coupled receptors, C3aR, C1R and C5aR, induces proinflammatory events, such as cellular degranulation, smooth muscle contraction, arachidonic acid metabolism, cytokine release, leukocyte activation and cellular chemotaxis. C3d is a terminal degradation product of C3 that plays an important role in modulation of the adaptive immune response through the interaction with complement receptor type 2 (CR2). CR2 is important in the switched-isotype, high-affinity and memory humoral immune responses to T-dependent foreign antigens, as well as in the development of the natural antibody repertoire. This pH- and ionic strength-dependent association of C3d with CR2 represents a link between innate and adaptive immunity.

Application Notes

Optimal dilution of the Complement 3d antibody should be determined by the researcher.

Immunogen

A portion of amino acids 1250-1450 from human Complement C3 protein was used as the immunogen for this Complement 3d antibody.

Storage

Store the Complement 3d antibody at 2-8oC (with azide) or aliquot and store at -20oC or colder (without azide).

Cross
Bulk Quote Request Form
Name*:
Organization*:
Email*:
Phone Number*:
Catalog No.*:
Comments and Specifics(amount, formulation, etc.)*:
Validation code: Captchapackage Image


Can't read the image? click here to refresh.
    *required field

Your bulk quote request has been submitted successfully!

Please contact us if you have any questions.