• Tel: 858.663.9055
  • SeparatorEmail: info@nsjbio.com
  • Tel: 858.663.9055
  • Email: info@nsjbio.com
Home >> Antibodies >> COMP Antibody / Cartilage Oligomeric Matrix Protein

COMP Antibody / Cartilage Oligomeric Matrix Protein (RQ4553)

  Catalog No Formulation Size Price (USD)  
Image RQ4553 0.5mg/ml if reconstituted with 0.2ml sterile DI water 100 ug 449
Bulk quote request
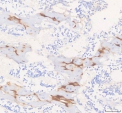
IHC staining of FFPE mouse knee joint tissue with COMP antibody. HIER: boil tissue sections in pH8 EDTA for 20 min and allow to cool before testing.
IHC staining of FFPE rat knee joint tissue with COMP antibody. HIER: boil tissue sections in pH8 EDTA for 20 min and allow to cool before testing.
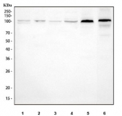
Western blot testing of 1) human HepG2, 2) human HaCaT, 3) human Caco-2, 4) human 293T, 5) rat cartilage and 6) mouse cartilage tissue lysate with COMP antibody at 0.5ug/ml. Expected molecular weight: 83-100 kDa depending on glycosylation level.
Availability 1-3 business days
Species Reactivity Human, Mouse, Rat
Format Antigen affinity purified
Host Rabbit
Clonality Polyclonal (rabbit origin)
Isotype Rabbit IgG
Purity Antigen affinity purified
Buffer Lyophilized from 1X PBS with 2% Trehalose
UniProt P49747
Localization Secreted
Applications Western Blot : 0.5-1ug/ml
Immunohistochemistry (FFPE) : 2-5ug/ml
Limitations This COMP is available for research use only.
Review this product on BioCompare and get a $20 Amazon gift card

Related Products

Description

COMP is a pentameric extracellular matrix protein that catalyzes the assembly of collagens and promotes formation of well-defined fibrils. This gene is mapped to 19q13.32. The protein encoded by this gene is a cytoplasmic enzyme involved in energy homeostasis and is an important serum marker for myocardial infarction. The encoded protein reversibly catalyzes the transfer of phosphate between ATP and various phosphogens such as creatine phosphate. It acts as a homodimer in striated muscle as well as in other tissues, and as a heterodimer with a similar brain isozyme in heart. The encoded protein is a member of the ATP:guanido phosphotransferase protein family.

Application Notes

Optimal dilution of the COMP antibody should be determined by the researcher.

Immunogen

Amino acids Q505-A757 from the human protein were used as the immunogen for the COMP antibody.

Storage

After reconstitution, the COMP antibody can be stored for up to one month at 4oC. For long-term, aliquot and store at -20oC. Avoid repeated freezing and thawing.

Cross
Bulk Quote Request Form
Name*:
Organization*:
Email*:
Phone Number*:
Catalog No.*:
Comments and Specifics(amount, formulation, etc.)*:
Validation code: Captchapackage Image


Can't read the image? click here to refresh.
    *required field

Your bulk quote request has been submitted successfully!

Please contact us if you have any questions.