• Tel: 858.663.9055
  • SeparatorEmail: info@nsjbio.com
  • Tel: 858.663.9055
  • Email: info@nsjbio.com
Home >> Antibodies >> Collagen XVII Antibody / COL17A1

Collagen XVII Antibody / COL17A1 [clone AA-3] (RQ4497)

  Catalog No Formulation Size Price (USD)  
Image RQ4497 Antibody in PBS with 0.02% sodium azide, 50% glycerol and 0.4-0.5mg/ml BSA 100 ul 449
Microvalidated Rab Mono Image
Bulk quote request
Western blot testing of human skin lysate with Collagen XVII antibody at 0.5ug/ml. Expected molecular weight ~120 kDa and ~180 kDa.
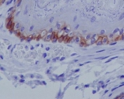
IHC testing of FFPE mouse skin with Collagen XVII antibody at 2ug/ml. HIER: boil tissue sections in pH6, 10mM citrate buffer, for 10-20 min followed by cooling at RT for 20 min.
Immunofluorescent staining of human A431 cells with Collagen XVII antibody (green) and DAPI nuclear stain (blue).
Western blot testing of human 1) A431 and 2) HT-29 cell lysate with Collagen XVII antibody. Expected molecular weight ~120 kDa and ~180 kDa.
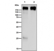
Western blot testing of human PC-3 cell lysate with Collagen XVII antibody. Expected molecular weight ~120 kDa and ~180 kDa.
Availability 1-2 weeks
Species Reactivity Human, Mouse, Rat
Format Purified
Host Rabbit
Clonality Rabbit Monoclonal
Isotype Rabbit IgG
Clone Name AA-3
Purity Protein A affinity
UniProt Q9UMD9
Localization Cytoplasmic, membrane, cell junction
Applications Western Blot : 1:500-1:2000
Immunohistochemistry (FFPE) : 1:50-1:200
Immunofluorescence : 1:50-1:200
Limitations This Collagen XVII antibody is available for research use only.
Review this product on BioCompare and get a $20 Amazon gift card

Related Products

Description

May play a role in the integrity of hemidesmosome and the attachment of basal keratinocytes to the underlying basement membrane. [UniProt]

Application Notes

Optimal dilution of the Collagen XVII antibody should be determined by the researcher.

Immunogen

A synthetic peptide from human Collagen XVII was used as the immunogen for the Collagen XVII antibody.

Storage

Store the Collagen XVII antibody at -20oC.

Cross
Bulk Quote Request Form
Name*:
Organization*:
Email*:
Phone Number*:
Catalog No.*:
Comments and Specifics(amount, formulation, etc.)*:
Validation code: Captchapackage Image


Can't read the image? click here to refresh.
    *required field

Your bulk quote request has been submitted successfully!

Please contact us if you have any questions.