• Tel: 858.663.9055
  • SeparatorEmail: info@nsjbio.com
  • Tel: 858.663.9055
  • Email: info@nsjbio.com
Home >> Antibodies >> COL8A2 Antibody

COL8A2 Antibody (F54619)

  Catalog No Formulation Size Price (USD)  
Image F54619-0.4ML In 1X PBS, pH 7.4, with 0.09% sodium azide 0.4 ml 439
Image
F54619-0.08ML In 1X PBS, pH 7.4, with 0.09% sodium azide 0.08 ml 205
Bulk quote request
Western blot testing of 1) human SH-SY5Y, 2) human Jurkat, 3) mouse Neuro-2a and 4) mouse C2C12 cell lysate with COL8A2 antibody. Predicted molecular weight ~67 kDa.
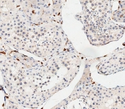
IHC testing of FFPE human testis tissue with COL8A2 antibody. HIER: steam section in pH6 citrate buffer for 20 min and allow to cool prior to staining.
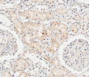
IHC testing of FFPE human kidney tissue with COL8A2 antibody. HIER: steam section in pH6 citrate buffer for 20 min and allow to cool prior to staining.
Immunofluorescent staining of human HepG2 cells with COL8A2 antibody (green) and DAPI nuclear stain (blue).
Availability 1-3 business days
Species Reactivity Human, Mouse
Format Purified
Host Rabbit
Clonality Polyclonal (rabbit origin)
Isotype Rabbit Ig
Purity Antigen affinity purified
UniProt P25067
Applications Immunohistochemistry (FFPE) : 1:25
Immunofluorescence : 1:25
Western Blot : 1:500-1:2000
Limitations This COL8A2 antibody is available for research use only.
Review this product on BioCompare and get a $20 Amazon gift card

Description

This gene encodes the alpha 2 chain of type VIII collagen. The protein is a major component of the basement membrane of the corneal endothelium and forms homo- or heterotrimers with alpha 1 (VIII) type collagens. Defects in this gene are associated with Fuchs endothelial corneal dystrophy and posterior polymorphous corneal dystrophy type 2.

Application Notes

The stated application concentrations are suggested starting points. Titration of the COL8A2 antibody may be required due to differences in protocols and secondary/substrate sensitivity.

Immunogen

A portion of amino acids 571-599 from the human protein was used as the immunogen for the COL8A2 antibody.

Storage

Aliquot the COL8A2 antibody and store frozen at -20oC or colder. Avoid repeated freeze-thaw cycles.

Cross
Bulk Quote Request Form
Name*:
Organization*:
Email*:
Phone Number*:
Catalog No.*:
Comments and Specifics(amount, formulation, etc.)*:
Validation code: Captchapackage Image


Can't read the image? click here to refresh.
    *required field

Your bulk quote request has been submitted successfully!

Please contact us if you have any questions.