• Tel: 858.663.9055
  • SeparatorEmail: info@nsjbio.com
  • Tel: 858.663.9055
  • Email: info@nsjbio.com
Home >> Antibodies >> COL5A1 Antibody

COL5A1 Antibody (F54339)

  Catalog No Formulation Size Price (USD)  
Image F54339-0.4ML In 1X PBS, pH 7.4, with 0.09% sodium azide 0.4 ml 439
Image
F54339-0.08ML In 1X PBS, pH 7.4, with 0.09% sodium azide 0.08 ml 205
Bulk quote request
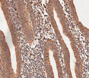
IHC testing of FFPE human uterus tissue with COL5A1 antibody. HIER: steam section in pH9 EDTA for 20 min and allow to cool prior to staining.
IHC testing of FFPE human heart tissue with COL5A1 antibody. HIER: steam section in pH9 EDTA for 20 min and allow to cool prior to staining.
Western blot testing of human U251 cell lysate with COL5A1 antibody. Predicted molecular weight ~184 kDa but can be observed at up to ~250 kDa.
Western blot testing of mouse bladder lysate with COL5A1 antibody. Predicted molecular weight ~184 kDa but can be observed at up to ~250 kDa.
Western blot testing of human HeLa cell lysate with COL5A1 antibody. Predicted molecular weight ~184 kDa but can be observed at up to ~250 kDa.
Availability 1-3 business days
Species Reactivity Human, Mouse
Format Purified
Host Rabbit
Clonality Polyclonal (rabbit origin)
Isotype Rabbit IgG
Purity Antigen affinity purified
UniProt P20908
Applications Immunohistochemistry (FFPE) : 1:25
Western Blot : 1:500-1:2000
Limitations This COL5A1 antibody is available for research use only.
Review this product on BioCompare and get a $20 Amazon gift card

Description

COL5A1 encodes an alpha chain for one of the low abundance fibrillar collagens. Fibrillar collagen molecules are trimers that can be composed of one or more types of alpha chains. Type V collagen is found in tissues containing type I collagen and appears to regulate the assembly of heterotypic fibers composed of both type I and type V collagen. COL5A1 product is closely related to type XI collagen and it is possible that the collagen chains of types V and XI constitute a single collagen type with tissue-specific chain combinations. Mutations in this gene are associated with Ehlers-Danlos syndrome, types I and II. [provided by RefSeq].

Application Notes

The stated application concentrations are suggested starting points. Titration of the COL5A1 antibody may be required due to differences in protocols and secondary/substrate sensitivity.

Immunogen

A portion of amino acids 54-82 from the human protein was used as the immunogen for the COL5A1 antibody.

Storage

Aliquot the COL5A1 antibody and store frozen at -20oC or colder. Avoid repeated freeze-thaw cycles.

Cross
Bulk Quote Request Form
Name*:
Organization*:
Email*:
Phone Number*:
Catalog No.*:
Comments and Specifics(amount, formulation, etc.)*:
Validation code: Captchapackage Image


Can't read the image? click here to refresh.
    *required field

Your bulk quote request has been submitted successfully!

Please contact us if you have any questions.