• Tel: 858.663.9055
  • SeparatorEmail: info@nsjbio.com
  • Tel: 858.663.9055
  • Email: info@nsjbio.com
Home >> Antibodies >> COL2A1 Antibody / Collagen alpha-1(II) chain

COL2A1 Antibody / Collagen alpha-1(II) chain (FY13255)

  Catalog No Formulation Size Price (USD)  
Image FY13255 Adding 0.2 ml of distilled water will yield a concentration of 500 ug/ml 100 ug 449
Bulk quote request
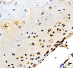
Immunohistochemical staining of Collagen Type II/COL2A1 using anti-COL2A1 antibody. Collagen Type II/COL2A1 was detected in a paraffin-embedded section of mouse knee cartilage tissue. Heat mediated antigen retrieval was performed in EDTA buffer (pH 8.0, epitope retrieval solution). The tissue section was blocked with 10% goat serum. The tissue section was then incubated with 2 ug/ml rabbit anti-COL2A1 antibody overnight at 4oC. Peroxidase Conjugated Goat Anti-rabbit IgG was used as secondary antibody and incubated for 30 minutes at 37oC. The tissue section was developed using an HRP secondary and DAB substrate.
Western blot analysis of Collagen Type II/COL2A1 using anti-COL2A1 antibody. Lane 1: rat bone tissue lysates(100oC boiled for 5 minutes), Lane 2: rat bone tissue lysates(37oC incubated for 10 minutes), Lane 3: mouse bone tissue lysates(100oC boiled for 5 minutes). After electrophoresis, proteins were transferred to a nitrocellulose membrane at 150 mA for 50-90 minutes. Blocked the membrane with 5% non-fat milk/TBS for 1.5 hour at RT. The membrane was incubated with rabbit anti-COL2A1 antibody at 0.5 ug/ml overnight at 4oC, then washed with TBS-0.1%Tween 3 times with 5 minutes each and probed with a goat anti-rabbit IgG-HRP secondary antibody at a dilution of 1:5000 for 1.5 hour at RT. The signal was developed using enhanced chemiluminescent. Western blot analysis of COL2A1 in rat and mouse bone extracts using an anti COL2A1 antibody under different sample heating conditions. A predominant doublet is detected at an approximately 150 kDa in all bone lysates, running above the predicted ~142 kDa size but consistent with the reported migration of procollagen type II alpha1 chains that retain N and C propeptides and post translational modifications. Additional weaker bands above and below the major doublet likely reflect crosslinked or partially denatured collagen II species and limited degradation fragments rather than distinct alternative isoforms.
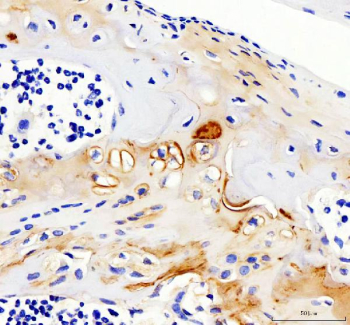
Immunohistochemical staining of Collagen Type II/COL2A1 using anti-COL2A1 antibody. Collagen Type II/COL2A1 was detected in a paraffin-embedded section of rat knee cartilage tissue. Heat mediated antigen retrieval was performed in EDTA buffer (pH 8.0, epitope retrieval solution). The tissue section was blocked with 10% goat serum. The tissue section was then incubated with 2 ug/ml rabbit anti-COL2A1 antibody overnight at 4oC. Peroxidase Conjugated Goat Anti-rabbit IgG was used as secondary antibody and incubated for 30 minutes at 37oC. The tissue section was developed using an HRP secondary and DAB substrate.
Availability 1-2 days
Species Reactivity Human, Mouse, Rat
Format Lyophilized
Host Rabbit
Clonality Polyclonal (rabbit origin)
Isotype Rabbit IgG
Purity Immunogen affinity purified
Buffer Each vial contains 4 mg Trehalose, 0.9 mg NaCl, 0.2 mg Na2HPO4.
UniProt P02458
Applications Western Blot : 0.25-0.5ug/ml
Immunohistochemistry : 2-5ug/ml
ELISA : 0.1-0.5ug/ml
Limitations This COL2A1 antibody is available for research use only.
Review this product on BioCompare and get a $20 Amazon gift card

Description

COL2A1 antibody detects Collagen alpha-1(II) chain, a structural protein that forms the major component of type II collagen found in cartilage, vitreous humor, and intervertebral discs. The UniProt recommended name is Collagen alpha-1(II) chain (COL2A1). This fibrillar collagen provides tensile strength and elasticity to cartilaginous tissues, enabling load-bearing and mechanical resilience in joints and skeletal structures.

Functionally, COL2A1 antibody identifies a 1,484-amino-acid extracellular matrix protein synthesized as a procollagen precursor containing N- and C-terminal propeptides. Following secretion, these propeptides are cleaved to form mature triple-helical type II collagen fibrils composed of three identical alpha-1(II) chains. COL2A1 plays a critical role in chondrocyte differentiation, cartilage development, and matrix maintenance. It also interacts with proteoglycans such as aggrecan to form a hydrated matrix that supports compressive resistance.

The COL2A1 gene is located on chromosome 12q13.11 and is highly expressed in cartilage, eye, and intervertebral disc tissues. Expression is regulated by transcription factors SOX9, RUNX2, and NFATC1, ensuring precise control during skeletal development and repair. COL2A1 is a key marker for chondrogenic lineage commitment in mesenchymal stem cells and serves as a diagnostic biomarker for cartilage integrity.

Pathologically, mutations in COL2A1 cause a spectrum of disorders collectively known as type II collagenopathies, including Stickler syndrome, spondyloepiphyseal dysplasia congenita, and achondrogenesis type II. These conditions are characterized by skeletal malformations, joint defects, and ocular abnormalities. Degradation or reduced expression of COL2A1 contributes to osteoarthritis and intervertebral disc degeneration. Research using COL2A1 antibody supports studies in cartilage biology, skeletal development, and connective tissue disease.

COL2A1 antibody is validated for western blotting, immunohistochemistry, and ELISA to detect extracellular matrix proteins. NSJ Bioreagents provides COL2A1 antibody reagents optimized for studies in cartilage formation, matrix remodeling, and musculoskeletal research.

Structurally, Collagen alpha-1(II) chain contains a repeating Gly-X-Y motif that forms the characteristic triple-helical structure of fibrillar collagens. The C-terminal propeptide directs trimer assembly, while extensive post-translational modifications including hydroxylation and glycosylation stabilize fibril formation. This antibody facilitates investigation of COL2A1's role in cartilage architecture, skeletal morphogenesis, and connective tissue health.

Application Notes

Optimal dilution of the COL2A1 antibody should be determined by the researcher.

Immunogen

E.coli-derived human Collagen Type II/COL2A1 recombinant protein (Position: G1217-A1241) was used as the immunogen for the COL2A1 antibody.

Storage

After reconstitution, the COL2A1 antibody can be stored for up to one month at 4oC. For long-term, aliquot and store at -20oC. Avoid repeated freezing and thawing.

Cross
Bulk Quote Request Form
Name*:
Organization*:
Email*:
Phone Number*:
Catalog No.*:
Comments and Specifics(amount, formulation, etc.)*:
Validation code: Captchapackage Image


Can't read the image? click here to refresh.
    *required field

Your bulk quote request has been submitted successfully!

Please contact us if you have any questions.