• Tel: 858.663.9055
  • SeparatorEmail: info@nsjbio.com
  • Tel: 858.663.9055
  • Email: info@nsjbio.com
Home >> Antibodies >> Cofilin 2 Antibody / CFL2

Cofilin 2 Antibody / CFL2 [clone 8C13] (RQ5498)

  Catalog No Formulation Size Price (USD)  
Image RQ5498 0.5mg/ml if reconstituted with 0.2ml sterile DI water 100 ug 449
Bulk quote request
Immunofluorescent staining of FFPE human U-2 OS cells with Cofilin 2 antibody (green) and DAPI (blue). HIER: boil tissue sections in pH6, 10mM citrate buffer, for 20 min and allow to cool before testing.
IHC staining of FFPE human skeletal muscle with Cofilin 2 antibody. HIER: boil tissue sections in pH6, 10mM citrate buffer, for 20 min and allow to cool before testing.
IHC staining of FFPE mouse skeletal muscle with Cofilin 2 antibody. HIER: boil tissue sections in pH6, 10mM citrate buffer, for 20 min and allow to cool before testing.
IHC staining of FFPE rat skeletal muscle with Cofilin 2 antibody. HIER: boil tissue sections in pH6, 10mM citrate buffer, for 20 min and allow to cool before testing.
Western blot testing of human 1) HeLa, 2) U-2 OS, 3) HepG2, 4) T-47D, 5) Raji, 6) placenta and 7) A549 lysate with Cofilin 2 antibody. Predicted molecular weight ~19 kDa.
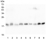
Western blot testing of 1) rat heart, 2) rat liver, 3) rat kidney, 4) rat brain, 5) mouse heart, 6) mouse liver, 7) mouse kidney, 8) mouse brain and 9) mouse NIH3T3 lysate with Cofilin 2 antibody. Predicted molecular weight ~19 kDa.
Flow cytometry testing of human A549 cells with Cofilin 2 antibody at 1ug/million cells (blocked with goat sera); Red=cells alone, Green=isotype control, Blue= Cofilin 2 antibody.
Flow cytometry testing of human SiHa cells with Cofilin 2 antibody at 1ug/million cells (blocked with goat sera); Red=cells alone, Green=isotype control, Blue= Cofilin 2 antibody.
Availability 1-3 business days
Species Reactivity Human, Mouse, Rat
Format Antigen affinity purified
Host Mouse
Clonality Monoclonal (mouse origin)
Isotype Mouse IgG2b
Clone Name 8C13
Purity Affinity purified
Buffer Lyophilized from 1X PBS with 2% Trehalose and 0.025% sodium azide
UniProt Q9Y281
Localization Cytoplasmic
Applications Western Blot : 0.5-1ug/ml
Immunohistochemistry (FFPE) : 1-2ug/ml
Immunocytochemistry/Immunofluorescence : 2-4ug/ml
Flow Cytometry : 1-3ug/million cells
Limitations This Cofilin 2 antibody is available for research use only.
Review this product on BioCompare and get a $20 Amazon gift card

Related Products

Description

Cofilin 2 (muscle), also known as CFL2, is a protein which in humans is encoded by the CFL2 gene. It is mapped to 14q12. This gene encodes an intracellular protein that is involved in the regulation of actin-filament dynamics. And this protein is a major component of intranuclear and cytoplasmic actin rods. It can bind G- and F-actin in a 1:1 ratio of cofilin to actin, and it reversibly controls actin polymerization and depolymerization in a pH-dependent manner. Mutations in this gene cause nemaline myopathy type 7, a form of congenital myopathy. Alternative splicing results in multiple transcript variants.

Application Notes

Optimal dilution of the Cofilin 2 antibody should be determined by the researcher.

Immunogen

Amino acids KDAIKKKFTGIKHEWQVNGLDDIKDRSTLGEKL were used as the immunogen for the Cofilin 2 antibody.

Storage

After reconstitution, the Cofilin 2 antibody can be stored for up to one month at 4oC. For long-term, aliquot and store at -20oC. Avoid repeated freezing and thawing.

Cross
Bulk Quote Request Form
Name*:
Organization*:
Email*:
Phone Number*:
Catalog No.*:
Comments and Specifics(amount, formulation, etc.)*:
Validation code: Captchapackage Image


Can't read the image? click here to refresh.
    *required field

Your bulk quote request has been submitted successfully!

Please contact us if you have any questions.