- Tel: 858.663.9055
- 
									 Email: info@nsjbio.com Email: info@nsjbio.com
- Tel: 858.663.9055
- Email: info@nsjbio.com
 Email: info@nsjbio.com
Email: info@nsjbio.com
								Related Products
| 
 | 
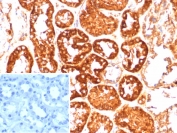
Hemostasis following tissue injury involves the deployment of essential plasma procoagulants (prothrombin and Factors X, IX, V and VIII), which are involved in a blood coagulation cascade that leads to the formation of insoluble Fibrin clots and the promotion of platelet aggregation. Coagulation Factor VII (serum prothrombin conversion accelerator, proconvertin, F7, Factor VII) is a 406 amino acid, vitamin K-dependent, single chain serine protease that is synthesized in the liver and circulates as an inactive precursor. Factor IX A, Factor X A, Factor XII A or Thrombin-mediated proteolytic cleavage of Factor VII at Arg 152-Ile 153 generates Factor VII A, an active serine protease composed of a catalytic heavy chain disulfide linked to a light chain, containing two EGF-like domains. Mutations at the F7 locus that lead to Factor VII deficiencies are generally asymptomatic or phenotypically uncharacterized, with hemorrhagic diathesis occurring at extremely low levels.
Optimal dilution of the Coagulation Factor VII antibody should be determined by the researcher.
A recombinant partial protein sequence (within amino acids 366-466) from the human protein was used as the immunogen for the Coagulation Factor VII antibody.
Aliquot the Coagulation Factor VII antibody and store frozen at -20oC or colder. Avoid repeated freeze-thaw cycles.
 
Your bulk quote request has been submitted successfully!
Please contact us if you have any questions.