• Tel: 858.663.9055
  • SeparatorEmail: info@nsjbio.com
  • Tel: 858.663.9055
  • Email: info@nsjbio.com
Home >> Antibodies >> CML66 Antibody / NUDCD1

CML66 Antibody / NUDCD1 (RQ8413)

  Catalog No Formulation Size Price (USD)  
Image RQ8413 0.5mg/ml if reconstituted with 0.2ml sterile DI water 100 ug 449
Bulk quote request
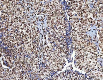
IHC staining of FFPE human ovarian cancer tissue with CML66 antibody. HIER: boil tissue sections in pH8 EDTA for 20 min and allow to cool before testing.
IHC staining of FFPE human lung cancer tissue with CML66 antibody. HIER: boil tissue sections in pH8 EDTA for 20 min and allow to cool before testing.
Immunofluorescent staining of FFPE human HeLa cells with CML66 antibody (red) and Beta Tubulin mAb (green). HIER: steam section in pH6 citrate buffer for 20 min.
Western blot testing of 1) human HeLa, 2) human A431, 3) human HEL, 4) human A549, 5) human K562, 6) human PC-3, 7) human MCF7, 8) human U-2 OS, 9) rat C6 and 10) mouse Neuro-2a cell lysate with CML66 antibody. Predicted molecular weight: 57-67 kDa (multiple isoforms).
Availability 1-3 business days
Species Reactivity Human, Mouse, Rat
Format Antigen affinity purified
Host Rabbit
Clonality Polyclonal (rabbit origin)
Isotype Rabbit IgG
Purity Antigen affinity purified
Buffer Lyophilized from 1X PBS with 2% Trehalose
UniProt Q96RS6
Localization Nuclear, cytoplasmic
Applications Western Blot : 0.5-1ug/ml
Immunohistochemistry (FFPE) : 2-5ug/ml
Immunofluorescence : 5ug/ml
ELISA : 0.1-0.5ug/ml
Limitations This CML66 antibody is available for research use only.
Review this product on BioCompare and get a $20 Amazon gift card

Description

NudC domain containing 1 (NudCD1), also known as CML66 (Chronic myelogenous leukemia tumor antigen 66), is a protein initially identified as overexpressed in patients with chronic myelogenous leukemia. The mRNA of NudCD1 is expressed in heart and testis of normal tissues, and is overexpressed in several cancers. The expression level of the protein correlates with tumoral phenotype, possibly interacting upstream of the Insulin Growth Factor - 1 Receptor (IGF-1R). The gene encoding the NudCD1 protein consists of 12 exons that can be alternative spliced, leading to the expression of three different isoforms. These isoforms possess a common region of 492 amino acids in their C-terminus region and have an isoform specific N-terminus.

Application Notes

Optimal dilution of the CML66 antibody should be determined by the researcher.

Immunogen

An E.coli-derived human recombinant protein (Q72-K578) was used as the immunogen for the CML66 antibody.

Storage

After reconstitution, the CML66 antibody can be stored for up to one month at 4oC. For long-term, aliquot and store at -20oC. Avoid repeated freezing and thawing.

Cross
Bulk Quote Request Form
Name*:
Organization*:
Email*:
Phone Number*:
Catalog No.*:
Comments and Specifics(amount, formulation, etc.)*:
Validation code: Captchapackage Image


Can't read the image? click here to refresh.
    *required field

Your bulk quote request has been submitted successfully!

Please contact us if you have any questions.