• Tel: 858.663.9055
  • SeparatorEmail: info@nsjbio.com
  • Tel: 858.663.9055
  • Email: info@nsjbio.com
Home >> Antibodies >> CMG-1 Antibody / Capillary morphogenesis gene 1 / IFT74

CMG-1 Antibody / Capillary morphogenesis gene 1 / IFT74 (RQ8595)

  Catalog No Formulation Size Price (USD)  
Image RQ8595 0.5mg/ml if reconstituted with 0.2ml sterile DI water 100 ug 449
Bulk quote request
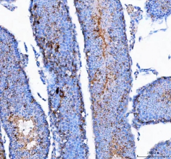
IHC staining of FFPE mouse testis tissue with CMG-1 antibody. HIER: boil tissue sections in pH8 EDTA for 20 min and allow to cool before testing.
IHC staining of FFPE rat testis tissue with CMG-1 antibody. HIER: boil tissue sections in pH8 EDTA for 20 min and allow to cool before testing.
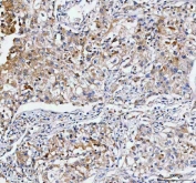
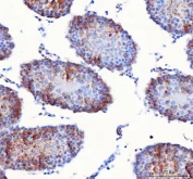
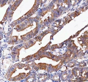
IHC staining of FFPE human esophageal squamous carcinoma tissue with CMG-1 antibody. HIER: boil tissue sections in pH8 EDTA for 20 min and allow to cool before testing.
IHC staining of FFPE human lung cancer tissue with CMG-1 antibody. HIER: boil tissue sections in pH8 EDTA for 20 min and allow to cool before testing.
IHC staining of FFPE human rectum adenocarcinoma tissue with CMG-1 antibody. HIER: boil tissue sections in pH8 EDTA for 20 min and allow to cool before testing.
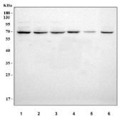
Western blot testing of 1) human 293T, 2) human Jurkat, 3) human Raji, 4) monkey COS-7, 5) rat thymus and 6) mouse thymus tissue lysate with CMG-1 antibody. Predicted molecular weight ~69 kDa.
Flow cytometry testing of fixed and permeabilized human JK cells with CMG-1 antibody at 1ug/million cells (blocked with goat sera); Red=cells alone, Green=isotype control, Blue= CMG-1 antibody.
Availability 1-3 days
Species Reactivity Human, Mouse, Rat, Monkey
Format Antigen affinity purified
Host Rabbit
Clonality Polyclonal (rabbit origin)
Isotype Rabbit IgG
Purity Antigen affinity purified
Buffer Lyophilized from 1X PBS with 2% Trehalose
UniProt Q96LB3
Applications Western Blot : 0.5-1ug/ml
Immunohistochemistry (FFPE) : 2-5ug/ml
Flow Cytometry : 1-3ug/million cells
ELISA : 0.1-0.5ug/ml
Limitations This CMG-1 antibody is available for research use only.
Review this product on BioCompare and get a $20 Amazon gift card

Related Products

  • Applications : WB, IHC, IF, ELISA (peptide)
    Reactivity : Human, Rat

Description

Intraflagellar transport protein 74 homolog (IFT74), also known as coiled-coil domain-containing protein 2 (CCDC2) and capillary morphogenesis gene 1 protein (CMG1), is a protein that in humans is encoded by the IFT74 gene. This gene encodes a core intraflagellar transport (IFT) protein which belongs to a multi-protein complex involved in the transport of ciliary proteins along axonemal microtubules. IFT proteins are found at the base of the cilium as well as inside the cilium, where they assemble into long arrays between the ciliary base and tip. This protein, together with intraflagellar transport protein 81, binds and transports tubulin within cilia and is required for ciliogenesis. Naturally occurring mutations in this gene are associated with amyotrophic lateral sclerosis--frontotemporal dementia and Bardet-Biedl Syndrome.

Application Notes

Optimal dilution of the CMG-1 antibody should be determined by the researcher.

Immunogen

An E.coli-derived human recombinant protein (amino acids I28-H502) was used as the immunogen for the CMG-1 antibody.

Storage

After reconstitution, the CMG-1 antibody can be stored for up to one month at 4oC. For long-term, aliquot and store at -20oC. Avoid repeated freezing and thawing.

Cross
Bulk Quote Request Form
Name*:
Organization*:
Email*:
Phone Number*:
Catalog No.*:
Comments and Specifics(amount, formulation, etc.)*:
Validation code: Captchapackage Image


Can't read the image? click here to refresh.
    *required field

Your bulk quote request has been submitted successfully!

Please contact us if you have any questions.