• Tel: 858.663.9055
  • SeparatorEmail: info@nsjbio.com
  • Tel: 858.663.9055
  • Email: info@nsjbio.com
Home >> Antibodies >> CLU Antibody / Clusterin

CLU Antibody / Clusterin [clone CLU/4737] (V5859)

  Catalog No Formulation Size Price (USD)  
Image V5859-100UG 0.2 mg/ml in 1X PBS with 0.05% BSA, 0.05% sodium azide 100 ug 559
Image
V5859-20UG 0.2 mg/ml in 1X PBS with 0.05% BSA, 0.05% sodium azide 20 ug 259
Image
V5859SAF-100UG 1 mg/ml in 1X PBS; BSA free, sodium azide free 100 ug 559
Microvalidated
Bulk quote request
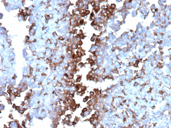
Immunohistochemistry analysis of formalin-fixed, paraffin-embedded human adrenal gland tissue using CLU/Clusterin antibody (clone CLU/4737). Predominantly cytoplasmic staining is observed in adrenal cortical cells, with variable intensity across cell populations and minimal background staining in surrounding stromal areas. Nuclei are counterstained in blue. Heat-induced antigen retrieval was performed by heating tissue sections in 10 mM Tris with 1 mM EDTA, pH 9.0, for 45 minutes at 95oC, followed by cooling at room temperature for 20 minutes.
Analysis of Protein Array containing more than 19,000 full-length human proteins using CLU/Clusterin antibody (clone CLU/4737).Z- and S- Score: The Z-score represents the strength of a signal that a monoclonal antibody (MAb) (in combination with a fluorescently-tagged anti-IgG secondary antibody) produces when binding to a particular protein on the HuProtTM array. Z-scores are described in units of standard deviations (SD's) above the mean value of all signals generated on that array. If targets on HuProtTM are arranged in descending order of the Z-score, the S-score is the difference (also in units of SD's) between the Z-score. S-score therefore represents the relative target specificity of a MAb to its intended target. A MAb is considered to specific to its intended target, if the MAb has an S-score of at least 2.5. For example, if a MAb binds to protein X with a Z-score of 43 and to protein Y with a Z-score of 14, then the S-score for the binding of that MAb to protein X is equal to 29.
SDS-PAGE analysis of purified, BSA-free CLU/Clusterin antibody (clone CLU/4737) as confirmation of integrity and purity.
Species Reactivity Human
Format Purified
Host Mouse
Clonality Monoclonal (mouse origin)
Isotype Mouse IgG2, kappa
Clone Name CLU/4737
UniProt P10909
Localization Cytoplasm, Secreted
Applications Immunohistochemistry (FFPE) : 1-2ug/ml
Limitations This CLU/Clusterin antibody is available for research use only.
Review this product on BioCompare and get a $20 Amazon gift card

Related Products

Description

CLU antibody targets Clusterin, a secreted and intracellular glycoprotein encoded by the CLU gene that is involved in protein quality control, lipid transport, and cellular stress responses. Clusterin is also widely known as apolipoprotein J and functions as a molecular chaperone that binds misfolded or aggregated proteins, facilitating their clearance and protecting cells from stress-induced damage. CLU is expressed in a broad range of tissues, including brain, kidney, liver, reproductive organs, and epithelial tissues, and can localize to the cytoplasm, nucleus, cell surface, or extracellular space depending on cellular context. CLU antibody is frequently used in research examining protein homeostasis, cellular stress pathways, and tissue injury responses.

Clusterin exists in multiple isoforms generated through alternative splicing and post-translational processing, resulting in both secreted and intracellular forms with distinct biological roles. The secreted form is associated with lipid transport and extracellular chaperone activity, while intracellular Clusterin has been implicated in apoptosis regulation, DNA damage responses, and cell survival signaling. In the nervous system, CLU expression has been linked to synaptic maintenance and neuroprotection, whereas in epithelial and glandular tissues it is often associated with differentiation and secretory activity. Clone CLU/4737 is designed to recognize Clusterin for research use in studies exploring CLU expression and subcellular distribution across diverse biological systems.

Altered Clusterin expression has been reported in a variety of pathological conditions, including neurodegenerative disorders, cardiovascular disease, inflammation, and cancer. In oncology research, CLU has been investigated for its association with tumor progression, therapy resistance, and cellular adaptation to stress. Changes in CLU expression have also been linked to tissue remodeling and injury responses in organs such as the kidney and brain. Because of its multifunctional roles in protein handling and cell survival, Clusterin remains an important research target in studies of disease mechanisms and stress-associated cellular processes. Clone CLU/4737 provides a tool for examining Clusterin expression and distribution in experimental systems relevant to tissue homeostasis and disease-associated stress responses.

Application Notes

Optimal dilution of the CLU/Clusterin antibody should be determined by the researcher.

Immunogen

A recombinant fragment (around amino acids 150-300) of human CLU protein (exact sequence is proprietary) was used as the immunogen for the CLU/Clusterin antibody.

Storage

CLU/Clusterin antibody with sodium azide - store at 2 to 8oC; antibody without sodium azide - store at -20 to -80oC.

Cross
Bulk Quote Request Form
Name*:
Organization*:
Email*:
Phone Number*:
Catalog No.*:
Comments and Specifics(amount, formulation, etc.)*:
Validation code: Captchapackage Image


Can't read the image? click here to refresh.
    *required field

Your bulk quote request has been submitted successfully!

Please contact us if you have any questions.