• Tel: 858.663.9055
  • SeparatorEmail: info@nsjbio.com
  • Tel: 858.663.9055
  • Email: info@nsjbio.com
Home >> Antibodies >> CLTB Antibody / Clathrin light chain B

CLTB Antibody / Clathrin light chain B (FY13138)

  Catalog No Formulation Size Price (USD)  
Image FY13138 Adding 0.2 ml of distilled water will yield a concentration of 500 ug/ml 100 ug 449
Bulk quote request
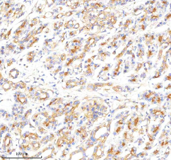
Immunohistochemical staining of CLTB using anti-CLTB antibody. CLTB was detected in a paraffin-embedded section of human pancreas cancer tissue. Heat mediated antigen retrieval was performed in EDTA buffer (pH 8.0, epitope retrieval solution). The tissue section was blocked with 10% goat serum. The tissue section was then incubated with 2 ug/ml rabbit anti-CLTB antibody overnight at 4oC. Peroxidase Conjugated Goat Anti-rabbit IgG was used as secondary antibody and incubated for 30 minutes at 37oC. The tissue section was developed using an HRP secondary and DAB substrate.
Western blot analysis of CLTB using anti-CLTB antibody. Lane 1: human PC-3 whole cell lysates, Lane 2: human MCF-7 whole cell lysates, Lane 3: human Hacat whole cell lysates, Lane 4: rat thymus tissue lysates, Lane 5: mouse thymus tissue lysates. After electrophoresis, proteins were transferred to a nitrocellulose membrane at 150 mA for 50-90 minutes. Blocked the membrane with 5% non-fat milk/TBS for 1.5 hour at RT. The membrane was incubated with rabbit anti-CLTB antibody at 0.5 ug/ml overnight at 4oC, then washed with TBS-0.1%Tween 3 times with 5 minutes each and probed with a goat anti-rabbit IgG-HRP secondary antibody at a dilution of 1:5000 for 1.5 hour at RT. The signal was developed using enhanced chemiluminescent. The expected molecular weight of CLTB is ~25 kDa.
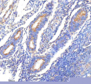
Immunohistochemical staining of CLTB using anti-CLTB antibody. CLTB was detected in a paraffin-embedded section of human endometrial cancer tissue. Heat mediated antigen retrieval was performed in EDTA buffer (pH 8.0, epitope retrieval solution). The tissue section was blocked with 10% goat serum. The tissue section was then incubated with 2 ug/ml rabbit anti-CLTB antibody overnight at 4oC. Peroxidase Conjugated Goat Anti-rabbit IgG was used as secondary antibody and incubated for 30 minutes at 37oC. The tissue section was developed using an HRP secondary and DAB substrate.
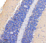
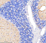
Immunohistochemical staining of CLTB using anti-CLTB antibody. CLTB was detected in a paraffin-embedded section of mouse cerebellum tissue. Heat mediated antigen retrieval was performed in EDTA buffer (pH 8.0, epitope retrieval solution). The tissue section was blocked with 10% goat serum. The tissue section was then incubated with 2 ug/ml rabbit anti-CLTB antibody overnight at 4oC. Peroxidase Conjugated Goat Anti-rabbit IgG was used as secondary antibody and incubated for 30 minutes at 37oC. The tissue section was developed using an HRP secondary and DAB substrate.
Immunohistochemical staining of CLTB using anti-CLTB antibody. CLTB was detected in a paraffin-embedded section of rat cerebellum tissue. Heat mediated antigen retrieval was performed in EDTA buffer (pH 8.0, epitope retrieval solution). The tissue section was blocked with 10% goat serum. The tissue section was then incubated with 2 ug/ml rabbit anti-CLTB antibody overnight at 4oC. Peroxidase Conjugated Goat Anti-rabbit IgG was used as secondary antibody and incubated for 30 minutes at 37oC. The tissue section was developed using an HRP secondary and DAB substrate.
Flow Cytometry analysis of cells using anti-CLTB antibody. Overlay histogram showing cells stained with (Blue line). To facilitate intracellular staining, cells were fixed with 4% paraformaldehyde and permeabilized with permeabilization buffer. The cells were blocked with 10% normal goat serum. And then incubated with rabbit anti-CLTB antibody (1 ug/million cells) for 30 min at 20oC. DyLight 488 conjugated goat anti-rabbit IgG (5-10 ug/million cells) was used as secondary antibody for 30 minutes at 20oC. Isotype control antibody (Green line) was rabbit IgG (1 ug/million cells) used under the same conditions. Unlabelled sample without incubation with primary antibody and secondary antibody (Red line) was used as a blank control.
Availability 1-2 days
Species Reactivity Human, Mouse, Rat
Format Lyophilized
Host Rabbit
Clonality Polyclonal (rabbit origin)
Isotype Rabbit IgG
Purity Immunogen affinity purified
Buffer Each vial contains 4 mg Trehalose, 0.9 mg NaCl, 0.2 mg Na2HPO4.
UniProt P09497
Localization Cytoplasm, plasma membrane
Applications Western Blot : 0.25-0.5ug/ml
Immunohistochemistry : 2-5ug/ml
Flow Cytometry : 1-3ug/million cells
Limitations This CLTB antibody is available for research use only.
Review this product on BioCompare and get a $20 Amazon gift card

Description

CLTB antibody detects Clathrin light chain B, a component of clathrin-coated vesicles essential for endocytosis and intracellular trafficking. The UniProt recommended name is Clathrin light chain B (CLTB). This cytoplasmic protein associates with clathrin heavy chains to form triskelion structures that assemble into coated pits and vesicles mediating membrane transport.

Functionally, CLTB antibody identifies a 248-amino-acid protein that stabilizes clathrin triskelia and regulates their disassembly during vesicle recycling. CLTB modulates the curvature and dynamics of the clathrin coat, influencing receptor-mediated endocytosis, synaptic vesicle turnover, and Golgi trafficking. It acts in concert with accessory proteins such as Hsc70 and auxilin during clathrin uncoating.

The CLTB gene is located on chromosome 5q35.3 and is ubiquitously expressed, with high levels in neuronal and endocrine tissues. CLTB's co-expression with Clathrin light chain A (CLTA) allows tissue-specific modulation of vesicular transport efficiency and kinetics. It contributes to receptor internalization and synaptic function.

Pathologically, altered CLTB expression has been linked to neurodegenerative and metabolic disorders. Variants affecting clathrin assembly disrupt synaptic vesicle trafficking, leading to impaired neurotransmission. Research using CLTB antibody supports studies in endocytosis, membrane dynamics, and intracellular transport mechanisms.

CLTB antibody is validated for western blotting, immunohistochemistry, and immunofluorescence to detect clathrin complex proteins. NSJ Bioreagents provides CLTB antibody reagents optimized for cell biology, neuroscience, and membrane trafficking studies.

Structurally, Clathrin light chain B binds to the proximal leg of clathrin heavy chains through its N-terminal domain and regulates triskelion assembly via its flexible C-terminal tail. This antibody enables analysis of CLTB's structural and regulatory roles in clathrin-mediated vesicle formation.

Application Notes

Optimal dilution of the CLTB antibody should be determined by the researcher.

Immunogen

A synthetic peptide corresponding to a sequence in the middle region of human CLTB was used as the immunogen for the CLTB antibody.

Storage

After reconstitution, the CLTB antibody can be stored for up to one month at 4oC. For long-term, aliquot and store at -20oC. Avoid repeated freezing and thawing.

Cross
Bulk Quote Request Form
Name*:
Organization*:
Email*:
Phone Number*:
Catalog No.*:
Comments and Specifics(amount, formulation, etc.)*:
Validation code: Captchapackage Image


Can't read the image? click here to refresh.
    *required field

Your bulk quote request has been submitted successfully!

Please contact us if you have any questions.