• Tel: 858.663.9055
  • SeparatorEmail: info@nsjbio.com
  • Tel: 858.663.9055
  • Email: info@nsjbio.com
Home >> Antibodies >> CLPB Antibody / Caseinolytic peptidase B protein

CLPB Antibody / Caseinolytic peptidase B protein (RQ5877)

  Catalog No Formulation Size Price (USD)  
Image RQ5877 0.5mg/ml if reconstituted with 0.2ml sterile DI water 100 ug 449
Bulk quote request
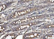
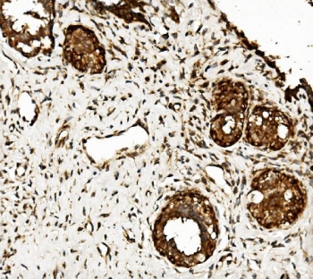
IHC staining of FFPE human breast cancer with CLPB antibody. HIER: boil tissue sections in pH8 EDTA for 20 min and allow to cool before testing.
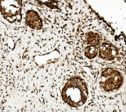
IHC staining of FFPE human rectal cancer with CLPB antibody. HIER: boil tissue sections in pH8 EDTA for 20 min and allow to cool before testing.
Immunofluorescent staining of FFPE human A549 cells with CLPB antibody (green) and DAPI nuclear stain (blue). HIER: steam section in pH6 citrate buffer for 20 min.
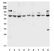
Western blot testing of human 1) HEK293, 2) SW620, 3) 22RV1, 4) ThP-1, 5) SGC-7901, 6) monkey COS-7, 7) rat kidney, 8) mouse heart and 9) mouse HEPA1-6 lysate with CLPB antibody. Expected molecular weight: 72-79 (multiple isoforms).
Flow cytometry testing of human K562 cells with CLPB antibody at 1ug/million cells (blocked with goat sera); Red=cells alone, Green=isotype control, Blue= CLPB antibody.
Availability 1-3 business days
Species Reactivity Human, Mouse, Rat
Format Antigen affinity purified
Host Rabbit
Clonality Polyclonal (rabbit origin)
Isotype Rabbit IgG
Purity Affinity purified
Buffer Lyophilized from 1X PBS with 2% Trehalose and 0.025% sodium azide
UniProt Q9H078
Localization Cytoplasmic
Applications Western Blot : 0.5-1ug/ml
Immunohistochemistry : 1-2ug/ml
Immunofluorescence : 2-4ug/ml
Flow Cytometry : 1-3ug/million cells
Direct ELISA : 0.1-0.5ug/ml
Limitations This CLPB antibody is available for research use only.
Review this product on BioCompare and get a $20 Amazon gift card

Description

This gene belongs to the ATP-ases associated with diverse cellular activities (AAA+) superfamily. Members of this superfamily form ring-shaped homo-hexamers and have highly conserved ATPase domains that are involved in various processes including DNA replication, protein degradation and reactivation of misfolded proteins. All members of this family hydrolyze ATP through their AAA+ domains and use the energy generated through ATP hydrolysis to exert mechanical force on their substrates. In addition to an AAA+ domain, the protein encoded by this gene contains a C-terminal D2 domain, which is characteristic of the AAA+ subfamily of Caseinolytic peptidases to which this protein belongs. It cooperates with Hsp70 in the disaggregation of protein aggregates. Allelic variants of this gene are associated with 3-methylglutaconic aciduria, which causes cataracts and neutropenia. Alternative splicing results in multiple transcript variants.

Application Notes

Optimal dilution of the CLPB antibody should be determined by the researcher.

Immunogen

Recombinant human protein (amino acids Q438-I707) was used as the immunogen for the CLPB antibody.

Storage

After reconstitution, the CLPB antibody can be stored for up to one month at 4oC. For long-term, aliquot and store at -20oC. Avoid repeated freezing and thawing.

Cross
Bulk Quote Request Form
Name*:
Organization*:
Email*:
Phone Number*:
Catalog No.*:
Comments and Specifics(amount, formulation, etc.)*:
Validation code: Captchapackage Image


Can't read the image? click here to refresh.
    *required field

Your bulk quote request has been submitted successfully!

Please contact us if you have any questions.