• Tel: 858.663.9055
  • SeparatorEmail: info@nsjbio.com
  • Tel: 858.663.9055
  • Email: info@nsjbio.com
Home >> Antibodies >> CLCN3 Antibody / Chloride channel protein 3

CLCN3 Antibody / Chloride channel protein 3 (FY12125)

  Catalog No Formulation Size Price (USD)  
Image FY12125 Adding 0.2 ml of distilled water will yield a concentration of 500 ug/ml 100 ug 449
Bulk quote request
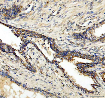
IHC analysis of CLCN3 using anti-CLCN3 antibody. CLCN3 was detected in a paraffin-embedded section of human prostatic cancer tissue. Heat mediated antigen retrieval was performed in EDTA buffer (pH 8.0, epitope retrieval solution). The tissue section was blocked with 10% goat serum. The tissue section was then incubated with 2 ug/ml rabbit anti-CLCN3 antibody overnight at 4oC. Peroxidase Conjugated Goat Anti-rabbit IgG was used as secondary antibody and incubated for 30 minutes at 37oC. The tissue section was developed using an HRP secondary and DAB substrate.
Western blot analysis of CLCN3 using anti-CLCN3 antibody. Lane 1: human Jurkat whole cell lysates, Lane 2: human U-87MG whole cell lysates, Lane 3: human SH-SY6Y whole cell lysates, Lane 4: human MCF-7 whole cell lysates, Lane 5: human whole cell lysates, Lane 6: human Hela whole cell lysates, Lane 7: human K562 whole cell lysates. After electrophoresis, proteins were transferred to a nitrocellulose membrane at 150 mA for 50-90 minutes. Blocked the membrane with 5% non-fat milk/TBS for 1.5 hour at RT. The membrane was incubated with rabbit anti-CLCN3 antibody at 0.5 ug/ml overnight at 4oC, then washed with TBS-0.1%Tween 3 times with 5 minutes each and probed with a goat anti-rabbit IgG-HRP secondary antibody at a dilution of 1:5000 for 1.5 hour at RT. The signal was developed using enhanced chemiluminescent. The expected band size for CLCN3 is at 91 kDa but the protein is N-glycosylated and forms homodimers of ~170 kDa.
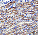
IHC analysis of CLCN3 using anti-CLCN3 antibody. CLCN3 was detected in a paraffin-embedded section of rat kidney tissue. Heat mediated antigen retrieval was performed in EDTA buffer (pH 8.0, epitope retrieval solution). The tissue section was blocked with 10% goat serum. The tissue section was then incubated with 2 ug/ml rabbit anti-CLCN3 antibody overnight at 4oC. Peroxidase Conjugated Goat Anti-rabbit IgG was used as secondary antibody and incubated for 30 minutes at 37oC. The tissue section was developed using an HRP secondary and DAB substrate.
IF analysis of CLCN3 using anti-CLCN3 antibody (green). CLCN3 was detected in an immunocytochemical section of SiHa cells. Enzyme antigen retrieval was performed using IHC enzyme antigen retrieval reagent for 15 mins. The cells were blocked with 10% goat serum. And then incubated with 5 ug/ml rabbit anti-CLCN3 antibody overnight at 4oC. DyLight 488 Conjugated Goat Anti-Rabbit IgG was used as secondary antibody at 1:500 dilution and incubated for 30 minutes at 37oC. The section was counterstained with DAPI (blue). Visualize using a fluorescence microscope and filter sets appropriate for the label used.
Flow Cytometry analysis of JK cells using anti-AXIN1 antibody. Overlay histogram showing JK cells stained with (Blue line). To facilitate intracellular staining, cells were fixed with 4% paraformaldehyde and permeabilized with permeabilization buffer. The cells were blocked with 10% normal goat serum. And then incubated with rabbit anti-AXIN1 antibody (1 ug/million cells) for 30 min at 20oC. DyLight 488 conjugated goat anti-rabbit IgG (5-10 ug/million cells) was used as secondary antibody for 30 minutes at 20oC. Isotype control antibody (Green line) was rabbit IgG (1 ug/million cells) used under the same conditions. Unlabelled sample without incubation with primary antibody and secondary antibody (Red line) was used as a blank control.
Availability 1-2 days
Species Reactivity Human, Rat
Format Lyophilized
Host Rabbit
Clonality Polyclonal (rabbit origin)
Isotype Rabbit IgG
Purity Immunogen affinity purified
Buffer Each vial contains 4 mg Trehalose, 0.9 mg NaCl, 0.2 mg Na2HPO4.
UniProt P51790
Applications Western Blot : 0.25-0.5ug/ml
Immunohistochemistry : 2-5ug/ml
Immunocytochemistry : 5ug/ml
Immunofluorescence : 5ug/ml
Flow Cytometry : 1-3ug/million cells
ELISA : 0.1-0.5ug/ml
Limitations This CLCN3 antibody is available for research use only.
Review this product on BioCompare and get a $20 Amazon gift card

Description

CLCN3 antibody detects Chloride channel protein 3, encoded by the CLCN3 gene on chromosome 4q33. CLCN3 belongs to the CLC family of voltage-gated chloride channels and chloride/proton exchangers, which regulate membrane potential, cell volume, and ion homeostasis. CLCN3 is widely expressed across tissues but is most abundant in the nervous system, kidney, and muscle, where it supports vesicular acidification, endosomal trafficking, and chloride transport across membranes. It plays a vital role in maintaining neuronal excitability, synaptic transmission, and endolysosomal homeostasis.

Structurally, CLCN3 is a dimeric integral membrane protein with each subunit containing its own independent pore. It functions primarily as a Cl?/H+ antiporter rather than a pure chloride channel, coupling chloride efflux to proton influx. This electrogenic exchange contributes to acidification of endosomes and synaptic vesicles, processes essential for neurotransmitter storage and recycling. Mutations or dysregulation of CLCN3 impair endosomal acidification and lead to defective receptor trafficking, altered synaptic vesicle dynamics, and changes in neuronal function.

In the nervous system, CLCN3 contributes to synaptic vesicle function by facilitating neurotransmitter loading and release. Knockout mice lacking CLCN3 display severe neurodegeneration, retinal degeneration, and defects in hippocampal synaptic plasticity. These phenotypes underscore its importance in brain development and function. Additionally, CLCN3 supports cell volume regulation under osmotic stress, protecting neurons and glial cells from swelling-induced injury.

Pathologically, alterations in CLCN3 have been linked to epilepsy, intellectual disability, and neurodegenerative conditions. Some cancer studies have shown that CLCN3 expression is upregulated in gliomas and contributes to tumor growth and invasiveness by regulating intracellular chloride levels and endosomal signaling. As such, CLCN3 has been proposed as a potential therapeutic target in oncology and neurology. Researchers rely on CLCN3 antibody to study its role in these diverse processes, enabling insights into ion channel biology, synaptic function, and disease progression.

Experimentally, CLCN3 antibody has been applied in western blotting to detect the expected ~97 kDa band, in immunofluorescence microscopy to visualize endosomal and vesicular localization, and in immunohistochemistry to track expression in brain and kidney tissue. Co-immunoprecipitation studies using CLCN3 antibody have identified interacting partners including clathrin, synaptophysin, and vesicular proton ATPases, highlighting its integration in vesicular trafficking networks. Functional assays combining CLCN3 antibody with electrophysiological studies allow researchers to correlate protein abundance with transport activity. NSJ Bioreagents provides CLCN3 antibody to support neuroscience, physiology, and cancer research by ensuring reliable detection of this critical ion transporter.

Application Notes

Optimal dilution of the CLCN3 antibody should be determined by the researcher.

Immunogen

E.coli-derived human CLCN3 recombinant protein (Position: G293-R752) was used as the immunogen for the CLCN3 antibody.

Storage

After reconstitution, the CLCN3 antibody can be stored for up to one month at 4oC. For long-term, aliquot and store at -20oC. Avoid repeated freezing and thawing.

Cross
Bulk Quote Request Form
Name*:
Organization*:
Email*:
Phone Number*:
Catalog No.*:
Comments and Specifics(amount, formulation, etc.)*:
Validation code: Captchapackage Image


Can't read the image? click here to refresh.
    *required field

Your bulk quote request has been submitted successfully!

Please contact us if you have any questions.