• Tel: 858.663.9055
  • SeparatorEmail: info@nsjbio.com
  • Tel: 858.663.9055
  • Email: info@nsjbio.com
Home >> Antibodies >> Claudin18.2 Antibody / Gastrointestinal Cancer Marker

Claudin18.2 Antibody / Gastrointestinal Cancer Marker [clone CLDN18.2/8559R] (V5010)

  Catalog No Formulation Size Price (USD)  
Image V5010-100UG 0.2 mg/ml in 1X PBS with 0.1 mg/ml BSA (US sourced), 0.05% sodium azide 100 ug 559
Image
V5010-20UG 0.2 mg/ml in 1X PBS with 0.1 mg/ml BSA (US sourced), 0.05% sodium azide 20 ug 259
Image
V5010SAF-100UG 1 mg/ml in 1X PBS; BSA free, sodium azide free 100 ug 559
Microvalidated Recrabbitmono
Bulk quote request
Claudin18.2 Antibody Pancreas Tissue WB. Western blot analysis of human pancreas tissue lysate using Claudin18.2 Antibody / Gastrointestinal Cancer Marker clone CLDN18.2/8559R. A major band is detected near approximately 30-35 kDa, consistent with the expected molecular weight range of Claudin18.2, a tight junction-associated transmembrane protein expressed in gastrointestinal epithelial tissues. An additional higher molecular weight band near approximately 45 kDa may represent modified, partially oligomerized, or alternatively processed Claudin18.2-associated species commonly observed with membrane-associated junctional proteins.
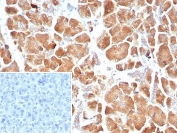
Claudin18.2 Antibody Pancreas IHC. Immunohistochemistry analysis of FFPE human pancreas tissue stained with Claudin18.2 Antibody / Gastrointestinal Cancer Marker clone CLDN18.2/8559R. Strong membranous and cytoplasmic HRP-DAB brown staining is observed in pancreatic epithelial cells, consistent with the tight junction-associated localization expected for Claudin18.2/CLDN18.2 in gastrointestinal epithelial tissues and pancreatic cancer-associated biology. The inset image shows a PBS-only negative control processed without primary antibody, confirming minimal non-specific background staining. Sections underwent HIER using 10mM Tris with 1mM EDTA buffer, pH 9, prior to immunostaining.
Claudin18.2 Antibody A431 and A549 WB. Western blot analysis of human A431 and A549 cell lysates using Claudin18.2 Antibody / Gastrointestinal Cancer Marker clone CLDN18.2/8559R. A distinct band is detected at approximately 27-28 kDa, consistent with the predicted molecular weight of Claudin18.2, a tight junction-associated transmembrane protein implicated in gastric and pancreatic cancer biology.
Availability 1-3 business days
Species Reactivity Human
Format Purified
Host Rabbit
Clonality Recombinant Rabbit Monoclonal
Isotype Rabbit IgG, kappa
Clone Name CLDN18.2/8559R
Purity Protein A/G affinity
UniProt P56856
Localization Cell junction, Cell membrane
Applications Immunohistochemistry (FFPE) : 1-2ug/ml for 30 min at RT
Western Blot : 2-4ug/ml
Limitations This Claudin18.2 Antibody / Gastrointestinal Cancer Marker is available for research use only.
Review this product on BioCompare and get a $20 Amazon gift card

Related Products

Description

Claudin18.2 (CLDN18.2) is a tight junction-associated transmembrane protein involved in epithelial barrier formation, cell-cell adhesion, and gastrointestinal epithelial differentiation. Claudin18.2 Antibody / Gastrointestinal Cancer Marker is suitable for investigations involving gastric cancer biology, pancreatic tumor signaling, epithelial junction proteins, and therapeutic target-associated oncology pathways. Claudin18.2 represents a stomach-restricted splice variant of the Claudin18 gene that becomes aberrantly exposed or overexpressed in several gastrointestinal malignancies, making it an important biomarker and emerging therapeutic target in cancer research.

Claudin18.2 antibody, also referred to as CLDN18.2 antibody, Claudin 18 isoform 2 antibody, Tight junction protein Claudin18.2 antibody, and Claudin18 gastric cancer marker antibody in the literature, recognizes a membrane-associated junctional protein belonging to the claudin family of tight junction regulators. Claudins are critical structural components of epithelial tight junctions that regulate paracellular permeability and epithelial polarity. Claudin18.2 is normally enriched within differentiated gastric mucosal epithelial cells, where it contributes to maintenance of epithelial barrier integrity and tissue compartmentalization.

In malignant tissues, disruption of epithelial polarity and junctional organization can expose Claudin18.2 epitopes that are otherwise restricted within tightly organized junctional complexes. This altered accessibility has made Claudin18.2 a major focus in gastrointestinal oncology and targeted therapeutic development. Increased Claudin18.2 expression has been reported in gastric adenocarcinoma, gastroesophageal carcinoma, pancreatic adenocarcinoma, and additional epithelial-derived malignancies. Because of its relatively restricted normal tissue distribution combined with tumor-associated exposure, Claudin18.2 has emerged as a clinically important biomarker in precision oncology research.

Claudin18.2-targeted therapeutic strategies, including monoclonal antibody-based approaches, are under active investigation for treatment of gastrointestinal cancers. Interest in Claudin18.2 biology has expanded substantially with development of therapeutic antibodies such as zolbetuximab directed against extracellular domains of the protein. As a result, Claudin18.2 is increasingly studied in translational oncology, tumor stratification, and epithelial differentiation-associated cancer signaling pathways.

Immunohistochemistry and western blot analyses support detection of Claudin18.2/CLDN18.2 expression in epithelial-associated samples, consistent with the expected localization of this tight junction transmembrane protein in gastrointestinal tissues and tumor-associated epithelial populations. The available validation data support use of clone CLDN18.2/8559R for investigations involving epithelial differentiation, gastrointestinal cancer biology, membrane-associated junctional proteins, and therapeutic target-associated oncology research.

An antibody targeting Claudin18.2 can therefore support studies involving gastrointestinal tumor biomarkers, epithelial tight junction proteins, gastric and pancreatic cancer signaling, therapeutic target validation, and epithelial differentiation-associated membrane protein biology.

Claudin18.2 is a tight junction-associated epithelial marker widely studied in gastric and pancreatic cancer biology; explore related tumor-associated targets on our Cancer Antibodies landing page.

Application Notes

Optimal dilution of the Claudin18.2 Antibody / Gastrointestinal Cancer Marker should be determined by the researcher.

Immunogen

A recombinant partial protein sequence (within amino acids 1-100) from the human protein was used as the immunogen for the Claudin18.2 antibody.

Storage

Store the Claudin18.2 antibody at 2-8oC (with azide) or aliquot and store at -20oC or colder (without azide).

Alternate Names

Claudin18.2 antibody, CLDN18.2 antibody, Claudin 18 isoform A2 antibody, Tight junction protein Claudin18.2 antibody, Gastrointestinal cancer marker antibody, Gastric cancer marker antibody

Cross
Bulk Quote Request Form
Name*:
Organization*:
Email*:
Phone Number*:
Catalog No.*:
Comments and Specifics(amount, formulation, etc.)*:
Validation code: Captchapackage Image


Can't read the image? click here to refresh.
    *required field

Your bulk quote request has been submitted successfully!

Please contact us if you have any questions.