• Tel: 858.663.9055
  • SeparatorEmail: info@nsjbio.com
  • Tel: 858.663.9055
  • Email: info@nsjbio.com
Home >> Antibodies >> Claudin 7 Antibody / Tight Junction Protein Antibody

Claudin 7 Antibody / Tight Junction Protein Antibody (RQ6250)

  Catalog No Formulation Size Price (USD)  
Image RQ6250 0.5mg/ml if reconstituted with 0.2ml sterile DI water 100 ug 449
Bulk quote request
Claudin 7 Antibody Rectal Cancer Tissue IF. Immunofluorescence analysis of FFPE human rectal cancer stained with Claudin 7 Antibody (green) demonstrates prominent membranous localization in tumor epithelial cells consistent with tight junction distribution, while nuclei are counterstained with DAPI (blue); heat-induced epitope retrieval was performed in pH 8 EDTA buffer.
Claudin 7 Antibody MCF7 Cells IF. Immunofluorescence analysis of human MCF7 cells stained with Claudin 7 Antibody (green) demonstrates distinct membranous localization at cell-cell junctions consistent with tight junction organization, while nuclei are counterstained with DAPI (blue); heat-induced epitope retrieval was performed in pH 8 EDTA buffer.
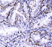
Claudin 7 Antibody Renal Clear Cell Carcinoma Tissue IHC. Immunohistochemistry analysis of FFPE human renal clear cell carcinoma stained with Claudin 7 Antibody demonstrates HRP-DAB brown membranous staining outlining tumor epithelial cells, consistent with tight junction-associated localization, with weaker cytoplasmic signal and minimal background in surrounding stromal elements; antigen retrieval was performed in pH 8 EDTA buffer.
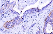
Claudin 7 Antibody Rectal Cancer Tissue IHC. Immunohistochemistry analysis of FFPE human rectal cancer stained with Claudin 7 Antibody demonstrates strong HRP-DAB brown membranous staining in tumor epithelial cells consistent with tight junction distribution, with mild cytoplasmic signal and low background in adjacent stromal tissue; antigen retrieval was performed in pH 8 EDTA buffer.
Claudin 7 Antibody Gallbladder Adenocarcinoma Tissue IHC. Immunohistochemistry analysis of FFPE human gallbladder adenocarcinoma stained with Claudin 7 Antibody demonstrates HRP-DAB brown membranous staining in tumor epithelial cells consistent with tight junction localization, with focal cytoplasmic signal and low background in surrounding stromal tissue; antigen retrieval was performed in pH 8 EDTA buffer.
Claudin 7 Antibody Caco-2 WB. Western blot analysis of human Caco-2 cell lysate using Claudin 7 Antibody detects a band at approximately 20-25 kDa, consistent with the predicted molecular weight of Claudin 7, along with an additional band near ~35-40 kDa, which may reflect dimerization, post-translational modification, or SDS-resistant oligomeric forms commonly observed for tight junction proteins.
Claudin 7 Antibody Caco-2 Cell FACS. Flow cytometry testing of human Caco-2 cells with Claudin 7 antibody at 1ug/million cells (blocked with goat sera); Red=cells alone, Green=isotype control, Blue= Claudin 7 antibody.
Availability 1-3 business days
Species Reactivity Human
Format Antigen affinity purified
Host Rabbit
Clonality Polyclonal (rabbit origin)
Isotype Rabbit IgG
Purity Affinity purified
Buffer Lyophilized from 1X PBS with 2% Trehalose
UniProt O95471
Applications Western Blot : 1-2ug/ml
Immunohistochemistry (FFPE) : 2-5ug/ml
Immunofluorescence (FFPE) : 5ug/ml
Flow Cytometry : 1-3ug/million cells
Direct ELISA : 0.1-0.5ug/ml
Limitations This Claudin 7 Antibody / Tight Junction Protein Antibody is available for research use only.
Review this product on BioCompare and get a $20 Amazon gift card

Related Products

Description

Claudin 7 (CLDN7) is a member of the claudin family of tight junction proteins that regulate paracellular permeability and maintain epithelial barrier integrity. Claudin 7 antibody, also referred to as CLDN7 antibody and Claudin-7 antibody in the literature, detects a membrane-associated protein localized primarily at cell-cell junctions in epithelial tissues.

Claudin 7 is a tetraspan transmembrane protein that contributes to the formation and maintenance of tight junction complexes. These structures are essential for controlling the passage of ions and small molecules between adjacent cells, thereby preserving tissue homeostasis. In addition to its structural role, Claudin 7 participates in signaling processes that influence cell polarity, adhesion, and differentiation.

Expression of Claudin 7 is widely observed in epithelial tissues, including gastrointestinal tract, lung, and genitourinary epithelium, where it demonstrates characteristic membranous localization. In tumor biology, altered Claudin 7 expression has been reported in a variety of epithelial-derived cancers, including colorectal, breast, and gastric carcinomas. Changes in expression levels or localization may reflect disruption of tight junction architecture and contribute to tumor progression, invasion, and metastasis.

Immunohistochemistry and immunofluorescence analysis typically reveal strong membranous staining in epithelial tumor cells, consistent with tight junction distribution. In some contexts, additional cytoplasmic staining may be observed, reflecting protein trafficking or altered junctional organization in transformed cells. These patterns support the use of Claudin 7 detection in studies of epithelial differentiation and tumor microenvironment organization.

Western blot analysis of Claudin 7 commonly identifies a band at approximately 20-25 kDa, consistent with the predicted molecular weight of the protein. Higher molecular weight bands may also be observed, which are frequently attributed to dimerization or SDS-resistant oligomeric forms characteristic of tight junction proteins. These biochemical features reflect the structural organization of claudin family members within membrane complexes.

Claudin 7 functions alongside other tight junction proteins, including occludin and ZO family members, to coordinate epithelial barrier formation and maintenance. Disruption of these interactions can lead to altered permeability and contribute to disease states, including cancer and inflammatory conditions.

This antibody supports detection of Claudin 7 expression in studies of epithelial biology, barrier function, and tumor progression, providing insight into tight junction organization and cellular architecture.

This antibody is part of a broader antibody panel offered by NSJ Bioreagents.

Application Notes

Optimal dilution of the Claudin 7 Antibody / Tight Junction Protein Antibody should be determined by the researcher.

Immunogen

A human recombinant partial protein (amino acids F92-V211) was used as the immunogen for the Claudin 7 antibody.

Storage

After reconstitution, the Claudin 7 antibody can be stored for up to one month at 4oC. For long-term, aliquot and store at -20oC. Avoid repeated freezing and thawing.

Alternate Names

Claudin-7 antibody, CLDN7 antibody, tight junction Claudin 7 antibody, epithelial junction protein antibody, Claudin 7 membrane protein antibody

Cross
Bulk Quote Request Form
Name*:
Organization*:
Email*:
Phone Number*:
Catalog No.*:
Comments and Specifics(amount, formulation, etc.)*:
Validation code: Captchapackage Image


Can't read the image? click here to refresh.
    *required field

Your bulk quote request has been submitted successfully!

Please contact us if you have any questions.