• Tel: 858.663.9055
  • SeparatorEmail: info@nsjbio.com
  • Tel: 858.663.9055
  • Email: info@nsjbio.com
Home >> Antibodies >> Claudin 2 Antibody (CLDN2)

Claudin 2 Antibody (CLDN2) (F49580)

  Catalog No Formulation Size Price (USD)  
Image F49580-0.4ML In 1X PBS, pH 7.4, with 0.09% sodium azide 0.4 ml 439
Image
F49580-0.08ML In 1X PBS, pH 7.4, with 0.09% sodium azide 0.08 ml 205
Bulk quote request
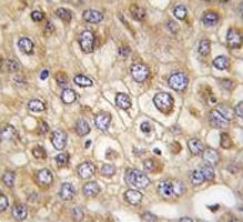
IHC analysis of FFPE human hepatocarcinoma tissue stained with Claudin 2 antibody
Western blot analysis of CLDN2 / Claudin 2 antibody and mouse heart tissue lysate
Availability 1-3 business days
Species Reactivity Human
Predicted Reactivity Bovine, Mouse
Format Antigen affinity purified
Host Rabbit
Clonality Polyclonal (rabbit origin)
Isotype Rabbit Ig
Purity Antigen affinity
UniProt P57739
Applications Western Blot : 1:1000
IHC (Paraffin) : 1:10-1:50
Limitations This Claudin 2 antibody is available for research use only.
Review this product on BioCompare and get a $20 Amazon gift card

Related Products

Description

Claudin-2 is expressed in cation-leaky epithelia such as that of the kidney proximal tubule. Mice that are deficient in the protein have reduced reabsorption of Na+ in the proximal tubule, consistent with a role in paracellular transport. Similar results have been obtained with cultured cells, as overexpression in CLDN2 lacking cells leads to increase of permeability for small cations. Furthermore, CLDN2 has been shown to form paracellular channels for water. [Wiki]

Application Notes

Titration of the Claudin 2 antibody may be required due to differences in protocols and secondary/substrate sensitivity.

Immunogen

A portion of amino acids 135-164 from the human protein was used as the immunogen for this Claudin 2 antibody.

Storage

Aliquot the Claudin 2 antibody and store frozen at -20oC or colder. Avoid repeated freeze-thaw cycles.

Cross
Bulk Quote Request Form
Name*:
Organization*:
Email*:
Phone Number*:
Catalog No.*:
Comments and Specifics(amount, formulation, etc.)*:
Validation code: Captchapackage Image


Can't read the image? click here to refresh.
    *required field

Your bulk quote request has been submitted successfully!

Please contact us if you have any questions.