• Tel: 858.663.9055
  • SeparatorEmail: info@nsjbio.com
  • Tel: 858.663.9055
  • Email: info@nsjbio.com
Home >> Antibodies >> Clathrin Light Chain Antibody

Clathrin Light Chain Antibody [clone SPM174] (V3300)

  Catalog No Formulation Size Price (USD)  
Image V3300-100UG 0.2 mg/ml in 1X PBS with 0.1 mg/ml BSA (US sourced) and 0.05% sodium azide 100 ug 559
Image
V3300-20UG 0.2 mg/ml in 1X PBS with 0.1 mg/ml BSA (US sourced) and 0.05% sodium azide 20 ug 259
Image
V3300SAF-100UG 1 mg/ml in 1X PBS; BSA free, sodium azide free 100 ug 559
Bulk quote request
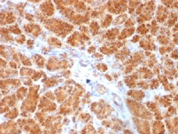
IHC testing of FFPE human pancreas with Clathrin Light Chain antibody (clone SPM174). Required HIER: boil tissue sections in pH 9 10mM Tris with 1mM EDTA for 10-20 min.
Availability 1-3 business days
Species Reactivity Human
Format Purified
Host Mouse
Clonality Monoclonal (mouse origin)
Isotype Mouse IgG2b, kappa
Clone Name SPM174
Purity Protein G affinity chromatography
UniProt P09496 , P09497
Localization Cytoplasmic
Applications Immunohistochemistry (FFPE) : 1-2ug/ml for 30 min at RT
Limitations This Clathrin Light Chain antibody is available for research use only.
Review this product on BioCompare and get a $20 Amazon gift card

Related Products

Description

Recognizes proteins of 31-44kDa, which are identified as Clathrin Light Chains (both A & B). Clathrin is composed of three heavy chains and three light chains, which associate non-covalently to form a triskelion structure. Clathrin light chain regulates the self-assembly of triskelions onto intracellular membranes. Clathrin light chain subunits (LCA and LCB) contribute to regulation of coated vesicle formation to sort proteins during receptor-mediated endocytosis and organelle biogenesis. LCA and LCB are encoded by two discrete genes. They share only 60% homology, and have certain features in common. Both LCA and LCB undergo alternative mRNA splicing, which results in the generation of tissue-specific isoforms.

Application Notes

Optimal dilution of the Clathrin Light Chain antibody should be determined by the researcher.

Immunogen

A recombinant N-terminal protein fragment from human Clathrin light chain was used as the immunogen for the Clathrin Light Chain antibody.

Storage

Store the Clathrin Light Chain antibody at 2-8oC (with azide) or aliquot and store at -20oC or colder (without azide).

Cross
Bulk Quote Request Form
Name*:
Organization*:
Email*:
Phone Number*:
Catalog No.*:
Comments and Specifics(amount, formulation, etc.)*:
Validation code: Captchapackage Image


Can't read the image? click here to refresh.
    *required field

Your bulk quote request has been submitted successfully!

Please contact us if you have any questions.