• Tel: 858.663.9055
  • SeparatorEmail: info@nsjbio.com
  • Tel: 858.663.9055
  • Email: info@nsjbio.com
Home >> Antibodies >> Clathrin heavy chain Antibody / CLTC

Clathrin heavy chain Antibody / CLTC [clone ABDH-3] (RQ8261)

  Catalog No Formulation Size Price (USD)  
Image RQ8261 Antibody in PBS with 0.02% sodium azide, 50% glycerol and 0.4-0.5mg/ml BSA 100 ul 449
Microvalidated Rab Mono Image
Bulk quote request
Western blot testing of 1) human HeLa, 2) human 293T, 3) human K562, 4) human PC-3, 5) rat brain, 6) rat kidney, 7) mouse brain and 8) mouse kidney tissue lysate with Clathrin heavy chain antibody. Predicted molecular weight ~192 kDa.
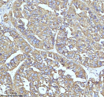
IHC staining of FFPE human lung cancer tissue with Clathrin heavy chain antibody. HIER: boil tissue sections in pH8 EDTA for 20 min and allow to cool before testing.
IHC staining of FFPE human lung cancer tissue with Clathrin heavy chain antibody. HIER: boil tissue sections in pH8 EDTA for 20 min and allow to cool before testing.
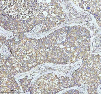
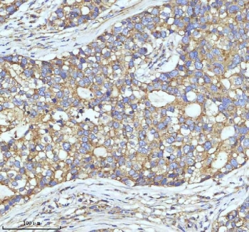
IHC staining of FFPE human liver cancer tissue with Clathrin heavy chain antibody. HIER: boil tissue sections in pH8 EDTA for 20 min and allow to cool before testing.
IHC staining of FFPE human liver cancer tissue with Clathrin heavy chain antibody. HIER: boil tissue sections in pH8 EDTA for 20 min and allow to cool before testing.
Immunofluorescent staining of FFPE human HeLa cells with Clathrin heavy chain antibody (green) and DAPI nuclear stain (blue). HIER: steam section in pH6 citrate buffer for 20 min.
Availability 1-3 business days
Species Reactivity Human, Mouse, Rat
Format Purified
Host Rabbit
Clonality Rabbit Monoclonal
Isotype Rabbit IgG
Clone Name ABDH-3
Purity Antigen affinity purified
UniProt Q00610
Localization Cytoplasmic
Applications Western Blot : 0.5-1ug/ml
Immunohistochemistry (FFPE) : 2-5ug/ml
Immunofluorescence : 5ug/ml
Limitations This Clathrin heavy chain antibody is available for research use only.
Review this product on BioCompare and get a $20 Amazon gift card

Related Products

Description

Clathrin heavy chain 1 is a protein that in humans is encoded by the CLTC gene. Clathrin is a major protein component of the cytoplasmic face of intracellular organelles, called coated vesicles and coated pits. These specialized organelles are involved in the intracellular trafficking of receptors and endocytosis of a variety of macromolecules. The basic subunit of the clathrin coat is composed of three heavy chains and three light chains.

Application Notes

Optimal dilution of the Clathrin heavy chain antibody should be determined by the researcher.

Immunogen

A peptide specific to the human protein was used as the immunogen for the Clathrin heavy chain antibody.

Storage

Store at -20oC.

Cross
Bulk Quote Request Form
Name*:
Organization*:
Email*:
Phone Number*:
Catalog No.*:
Comments and Specifics(amount, formulation, etc.)*:
Validation code: Captchapackage Image


Can't read the image? click here to refresh.
    *required field

Your bulk quote request has been submitted successfully!

Please contact us if you have any questions.