• Tel: 858.663.9055
  • SeparatorEmail: info@nsjbio.com
  • Tel: 858.663.9055
  • Email: info@nsjbio.com
Home >> Antibodies >> CKAP5 Antibody / Ch-TOG

CKAP5 Antibody / Ch-TOG (RQ6219)

  Catalog No Formulation Size Price (USD)  
Image RQ6219 0.5mg/ml if reconstituted with 0.2ml sterile DI water 100 ug 449
Bulk quote request
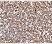
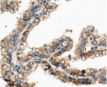
IHC staining of FFPE human renal cancer with CKAP5 antibody. HIER: boil tissue sections in pH8 EDTA for 20 min and allow to cool before testing.
IHC staining of FFPE human liver cancer with CKAP5 antibody. HIER: boil tissue sections in pH8 EDTA for 20 min and allow to cool before testing.
IHC staining of FFPE human rectal cancer with CKAP5 antibody. HIER: boil tissue sections in pH8 EDTA for 20 min and allow to cool before testing.
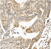
IHC staining of FFPE rat brain with CKAP5 antibody. HIER: boil tissue sections in pH8 EDTA for 20 min and allow to cool before testing.
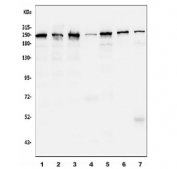
Western blot testing of human 1) U-87 MG, 2) COLO-320, 3) SW620, 4) HepG2, 5) Caco-2, 6) rat brain and 7) mouse brain lysate with CKAP5 antibody. Predicted molecular weight ~225 kDa.
Flow cytometry testing of human A549 cells with CKAP5 antibody at 1ug/million cells (blocked with goat sera); Red=cells alone, Green=isotype control, Blue= CKAP5 antibody.
Availability 1-3 business days
Species Reactivity Human, Mouse, Rat
Format Antigen affinity purified
Host Mouse
Clonality Monoclonal (mouse origin)
Isotype Mouse IgG2b
Purity Affinity purified
Buffer Lyophilized from 1X PBS with 2% Trehalose
UniProt Q14008
Localization Cytoplasmic
Applications Western Blot : 1-2ug/ml
Immunohistochemistry (FFPE) : 2-5ug/ml
Immunofluorescence : 5ug/ml
Flow Cytometry : 1-3ug/million cells
Limitations This CKAP5 antibody is available for research use only.
Review this product on BioCompare and get a $20 Amazon gift card

Related Products

  • Applications : WB, IHC-P, ICC/IF, Direct ELISA
    Reactivity : Human, Mouse, Rat

Description

Cytoskeleton-associated protein 5 is a microtubule-associated protein that in humans is encoded by the CKAP5 gene. It is mapped to 11p11.2. This gene encodes a cytoskeleton-associated protein which belongs to the TOG/XMAP215 family. The N-terminal half of this protein contains a microtubule-binding domain and the C-terminal half contains a KXGS motif for binding tubulin dimers. This protein has two distinct roles in spindle formation; it protects kinetochore microtubules from depolymerization and plays an essential role in centrosomal microtubule assembly. This protein may be necessary for the proper interaction of microtubules with the cell cortex for directional cell movement. It also plays a role in translation of the myelin basic protein (MBP) mRNA by interact ernatively spliced transcript variants encoding different isoforms have been identified.

Application Notes

Optimal dilution of the CKAP5 antibody should be determined by the researcher.

Immunogen

A human recombinant partial protein (amino acids M1-L221) was used as the immunogen for the CKAP5 antibody.

Storage

After reconstitution, the CKAP5 antibody can be stored for up to one month at 4oC. For long-term, aliquot and store at -20oC. Avoid repeated freezing and thawing.

Cross
Bulk Quote Request Form
Name*:
Organization*:
Email*:
Phone Number*:
Catalog No.*:
Comments and Specifics(amount, formulation, etc.)*:
Validation code: Captchapackage Image


Can't read the image? click here to refresh.
    *required field

Your bulk quote request has been submitted successfully!

Please contact us if you have any questions.