• Tel: 858.663.9055
  • SeparatorEmail: info@nsjbio.com
  • Tel: 858.663.9055
  • Email: info@nsjbio.com
Home >> Antibodies >> CK14 Antibody / Cytokeratin 14 / KRT14

CK14 Antibody / Cytokeratin 14 / KRT14 [clone rKRT14/7290] (V4480)

  Catalog No Formulation Size Price (USD)  
Image V4480-100UG 0.2 mg/ml in 1X PBS with 0.1 mg/ml BSA (US sourced), 0.05% sodium azide 100 ug 559
Image
V4480-20UG 0.2 mg/ml in 1X PBS with 0.1 mg/ml BSA (US sourced), 0.05% sodium azide 20 ug 259
Image
V4480SAF-100UG 1 mg/ml in 1X PBS; BSA free, sodium azide free 100 ug 559
Microvalidated Recmousemono
Bulk quote request
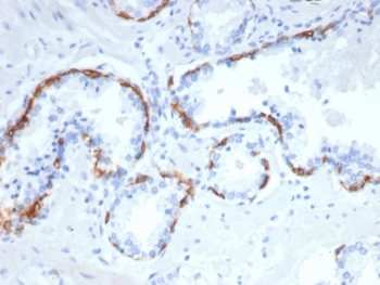
IHC staining of FFPE human prostate tissue with CK14 antibody (clone rKRT14/7290). HIER: boil tissue sections in pH 9 10mM Tris with 1mM EDTA for 20 min and allow to cool before testing.
SDS-PAGE analysis of purified, BSA-free CK14 antibody (clone rKRT14/7290) as confirmation of integrity and purity.
Availability 1-3 business days
Species Reactivity Human
Format Purified
Host Mouse
Clonality Recombinant Mouse Monoclonal
Isotype Mouse IgG1, kappa
Clone Name rKRT14/7290
Purity Protein A/G affinity
UniProt P02533
Localization Cytoplasm
Applications Immunohistochemistry (FFPE) : 1-2ug/ml for 30 minutes at RT
Limitations This CK14 antibody is available for research use only.
Review this product on BioCompare and get a $20 Amazon gift card

Related Products

Description

CK14 Antibody recognizes Cytokeratin 14, also known as Keratin 14 (KRT14), a type I intermediate filament protein that serves as a defining marker of basal cells in stratified squamous epithelia. Cytokeratin 14 is a cytoplasmic structural protein that forms obligate heterodimers with type II keratins, most notably Keratin 5, to assemble the intermediate filament network responsible for epithelial mechanical stability and basal cell integrity. CK14 Antibody is widely used in research settings to identify basal squamous epithelial cells and is frequently referred to in the literature as Cytokeratin 14 antibody or Keratin 14 antibody.

Cytokeratin 14 expression is characteristically restricted to the basal layer of stratified squamous epithelia, including epidermis, oral mucosa, esophagus, cervix, and other squamous-lined tissues. In these tissues, KRT14-positive basal cells represent the proliferative compartment that maintains epithelial renewal and gives rise to suprabasal differentiated cells expressing keratins such as Cytokeratin 13 or Cytokeratin 10. This distinct basal localization makes CK14 Antibody particularly useful for distinguishing basal progenitor cells from differentiated squamous epithelial populations.

Altered Cytokeratin 14 expression has been documented in a variety of pathological contexts. Expansion of KRT14 expression beyond the basal layer is commonly observed in epithelial hyperplasia, dysplasia, and squamous cell carcinoma, reflecting disrupted differentiation programs and abnormal epithelial architecture. Consequently, Cytokeratin 14 antibody staining patterns are frequently evaluated in studies of squamous lineage commitment, basal cell biology, and epithelial tumor progression.

At the cellular level, Cytokeratin 14 contributes to cytoskeletal organization and participates in anchoring basal epithelial cells to the basement membrane through interactions with desmosomes and hemidesmosomes. Its basal cell-restricted expression makes CK14 Antibody a valuable tool for studying epithelial stratification, basal cell dynamics, and squamous tissue organization. The CK14 Antibody (clone rKRT14/7290) is designed to detect Cytokeratin 14 expression in research applications requiring identification of basal squamous epithelial cells.

Application Notes

Optimal dilution of the CK14 antibody should be determined by the researcher.

Immunogen

A recombinant human KRT14 fragment (within amino acids 350-472) was used as the immunogen for the CK14 antibody.

Storage

Aliquot the CK14 antibody and store frozen at -20oC or colder. Avoid repeated freeze-thaw cycles.

Cross
Bulk Quote Request Form
Name*:
Organization*:
Email*:
Phone Number*:
Catalog No.*:
Comments and Specifics(amount, formulation, etc.)*:
Validation code: Captchapackage Image


Can't read the image? click here to refresh.
    *required field

Your bulk quote request has been submitted successfully!

Please contact us if you have any questions.