• Tel: 858.663.9055
  • SeparatorEmail: info@nsjbio.com
  • Tel: 858.663.9055
  • Email: info@nsjbio.com
Home >> Antibodies >> CK-BB Antibody / Creatine Phosphokinase-B / CKB

CK-BB Antibody / Creatine Phosphokinase-B / CKB [clone CKBB/6871] (V5467)

  Catalog No Formulation Size Price (USD)  
Image V5467-100UG 0.2 mg/ml in 1X PBS with 0.1 mg/ml BSA (US sourced), 0.05% sodium azide 100 ug 559
Image
V5467-20UG 0.2 mg/ml in 1X PBS with 0.1 mg/ml BSA (US sourced), 0.05% sodium azide 20 ug 259
Image
V5467SAF-100UG 1 mg/ml in 1X PBS; BSA free, sodium azide free 100 ug 559
Bulk quote request
CK-BB Antibody Multi-Species Brain WB. Western blot analysis of Human Brain, Mouse Brain, Rat Brain, Hamster Brain and Guinea pig Brain tissue lysates using CK-BB antibody (clone CKBB/6871). Predicted molecular weight ~43 kDa.
SDS-PAGE analysis of purified, BSA-free CK-BB antibody (clone CKBB/6871) as confirmation of integrity and purity.
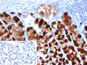
CK-BB Antibody Human Stomach Tissue IHC. Immunohistochemistry staining of FFPE human stomach tissue with CK-BB antibody (clone CKBB/6871). Inset: PBS used in place of primary Ab (secondary Ab negative control). HIER: boil tissue sections in pH 9 10mM Tris with 1mM EDTA for 20 min and allow to cool before testing.
Availability 1-3 business days
Species Reactivity Human, Mouse, Rat, Hamster, Guinea pig
Format Purified
Host Mouse
Clonality Monoclonal (mouse origin)
Isotype Mouse IgG2b, kappa
Clone Name CKBB/6871
Purity Protein A/G affinity
UniProt P12277
Localization Cytoplasm
Applications Immunohistochemistry (FFPE) : 1-2ug/ml
Western Blot : 2-4ug/ml
Limitations This CK-BB antibody is available for research use only.
Review this product on BioCompare and get a $20 Amazon gift card

Related Products

Description

CK-BB antibody detects Creatine phosphokinase-B, also known as Creatine kinase B-type or CKB, a cytosolic enzyme responsible for maintaining ATP stability through rapid phosphate transfer between creatine and ATP. The UniProt recommended name is Creatine kinase B-type (CKB). This enzyme is a core component of the phosphocreatine energy system that buffers and delivers high-energy phosphate bonds in cells with elevated and variable energy requirements, including neurons, retina, and smooth muscle.

Functionally, CK-BB antibody identifies a 43 kDa homodimeric enzyme that catalyzes the reversible reaction of ATP and creatine to form phosphocreatine and ADP. This reaction allows cells to store and mobilize energy quickly in response to fluctuations in ATP demand. In neural tissues, CKBB localizes near Na+/K+-ATPase pumps, synaptic vesicles, and cytoskeletal structures, providing localized ATP regeneration for neurotransmission, ion transport, and synaptic recovery. Through its role in the phosphocreatine shuttle, CKB bridges mitochondrial ATP production and cytosolic energy consumption.

The CKB gene is located on chromosome 14q32.33 and encodes a 381-amino-acid enzyme that shares significant structural similarity with the muscle isoform CKM. Each CKB subunit contains conserved binding sites for ATP and creatine, and magnesium acts as a required cofactor for catalytic activity. Expression is particularly strong in brain and neural crest-derived tissues but also occurs in kidney, testis, and placenta. Elevated CKBB concentrations in cerebrospinal fluid or serum indicate neuronal injury, ischemia, or neurodegenerative disease. In addition, CKB overexpression in certain tumors, such as small-cell lung carcinoma and colorectal cancer, supports energy metabolism and cell motility, contributing to tumor aggressiveness.

CK-BB antibody is used extensively in immunohistochemistry, western blotting, and ELISA to analyze CKB expression and distribution. Its applications extend across neurobiology, oncology, and metabolism research. CKB is central to maintaining energetic homeostasis by coupling ATP generation to sites of energy use, ensuring efficient cellular function even under stress. Experimental deletion or inhibition of Ckb disrupts energy buffering, leading to impaired synaptic activity and increased vulnerability to metabolic stress.

Beyond its neural functions, CKB supports energy-demanding processes such as sperm motility, retinal signaling, and smooth muscle contraction. The enzyme’s activity is regulated by redox balance, phosphorylation, and pH changes, allowing it to adapt to cellular conditions. By targeting this enzyme, CK-BB antibody helps researchers explore energy dynamics, mitochondrial communication, and metabolic adaptation in health and disease. NSJ Bioreagents provides validated antibodies designed for research use in bioenergetics, neurological function, and cellular metabolism studies.

This antibody is part of a broader antibody panel offered by NSJ Bioreagents.

Application Notes

Optimal dilution of the CK-BB antibody should be determined by the researcher.

Immunogen

Recombinant human full-length CKB protein was used as the immunogen for the CKB antibody.

Storage

Aliquot the CK-BB antibody and store frozen at -20oC or colder. Avoid repeated freeze-thaw cycles.

Cross
Bulk Quote Request Form
Name*:
Organization*:
Email*:
Phone Number*:
Catalog No.*:
Comments and Specifics(amount, formulation, etc.)*:
Validation code: Captchapackage Image


Can't read the image? click here to refresh.
    *required field

Your bulk quote request has been submitted successfully!

Please contact us if you have any questions.