• Tel: 858.663.9055
  • SeparatorEmail: info@nsjbio.com
  • Tel: 858.663.9055
  • Email: info@nsjbio.com
Home >> Antibodies >> CISH Antibody

CISH Antibody (R30881)

  Catalog No Formulation Size Price (USD)  
Image R30881 0.5mg/ml if reconstituted with 0.2ml sterile DI water 100 ug 449
Bulk quote request
Immunofluorescent staining of FFPE human U-2 OS cells with CISH antibody (green) and DAPI nuclear stain (blue). HIER: steam section in pH6 citrate buffer for 20 min.
Immunofluorescent staining of FFPE human U-2 OS cells with CISH antibody (green) and DAPI nuclear stain (blue). HIER: steam section in pH6 citrate buffer for 20 min.
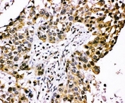
IHC staining of FFPE human lung cancer tissue with CISH antibody. HIER: boil tissue sections in pH8 EDTA for 20 min and allow to cool before testing.
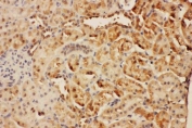
IHC staining of FFPE rat kidney tissue with CISH antibody. HIER: boil tissue sections in pH8 EDTA for 20 min and allow to cool before testing.
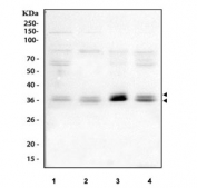
Western blot testing of human 1) MCF7, 2) HeLa, 3) COLO-320 and 4) Caco-2 cell lysate with CISH antibody. Predicted molecular weight: 29-31 kDa (multiple isoforms).
Availability 1-3 business days
Species Reactivity Human, Mouse, Rat
Format Antigen affinity purified
Host Rabbit
Clonality Polyclonal (rabbit origin)
Isotype Rabbit IgG
Purity Antigen affinity
Buffer Lyophilized from 1X PBS with 2.5% BSA and 0.025% sodium azide/thimerosal
UniProt Q9NSE2
Applications Western Blot : 0.5-1ug/ml
Immunohistochemistry (FFPE) : 2-5ug/ml
Immunofluorescence : 5ug/ml
Limitations This CISH antibody is available for research use only.
Review this product on BioCompare and get a $20 Amazon gift card

Description

Cytokine inducible SH2-containing protein, also called CIS, CIS-1, G18, SOCS, is an important negative regulator for inflammatory signaling and belongs to the suppressors of cytokine signaling (SOCS) family. CIS family members are known to be cytokine-inducible negative regulators of cytokine signaling. CISH controls interleukin-2 signaling, and variations of CISH with certain SNPs are associated with susceptibility to bacteremia, tuberculosis and malaria. The human gene is mapped to chromosome 3p21.3 by FISH. The mouse gene is tightly linked to the Gnai2 gene on chromosome 9, a region syntenic to human chromosome 3p21. CISH expression was upregulated by lipopolysaccharide (LPS) or Cryptosporidium parvum exposure, and this upregulation involved downregulation of MIR98 and LET7, which relieved MIR98- and LET7-mediated translational repression of CISH. Gain- and loss-of-function studies showed that CISH accelerated degradation of IKBA and enhanced NFKB activation in cholangiocytes in response to LPS stimulation or C parvum exposure.

Application Notes

The stated application concentrations are suggested starting amounts. Titration of the CISH antibody may be required due to differences in protocols and secondary/substrate sensitivity.

Immunogen

Amino acids 241-258 (LPLPRRMADYLRQYPFQL) were used as the immunogen for this CISH antibody (100% homologous in human, mouse and rat).

Storage

After reconstitution, the CISH antibody can be stored for up to one month at 4oC. For long-term, aliquot and store at -20oC. Avoid repeated freezing and thawing.

Cross
Bulk Quote Request Form
Name*:
Organization*:
Email*:
Phone Number*:
Catalog No.*:
Comments and Specifics(amount, formulation, etc.)*:
Validation code: Captchapackage Image


Can't read the image? click here to refresh.
    *required field

Your bulk quote request has been submitted successfully!

Please contact us if you have any questions.