• Tel: 858.663.9055
  • SeparatorEmail: info@nsjbio.com
  • Tel: 858.663.9055
  • Email: info@nsjbio.com
Home >> Antibodies >> CIITA Antibody

CIITA Antibody (R32481)

  Catalog No Formulation Size Price (USD)  
Image R32481 0.5mg/ml if reconstituted with 0.2ml sterile DI water 100 ug 449
Bulk quote request
Western blot testing of 1) rat thymus, 2) mouse thymus and 3) MCF7 lysate with CIITA antibody at 0.5ug/ml. Predicted/observed molecular weight ~123 kDa.
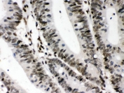
IHC testing of FFPE human intestine cancer tissue with CIITA antibody at 1ug/ml. HIER: steam in pH6 citrate buffer and allow to cool prior to staining.
IHC testing of FFPE mouse spleen with CIITA antibody at 1ug/ml. HIER: steam in pH6 citrate buffer and allow to cool prior to staining.
IHC testing of FFPE rat spleen with CIITA antibody at 1ug/ml. HIER: steam in pH6 citrate buffer and allow to cool prior to staining.
Availability 1-3 business days
Species Reactivity Human, Mouse, Rat
Format Antigen affinity purified
Host Rabbit
Clonality Polyclonal (rabbit origin)
Isotype Rabbit IgG
Purity Antigen affinity
Buffer Lyophilized from 1X PBS with 2.5% BSA and 0.025% sodium azide
UniProt P33076
Localization Nuclear
Applications Western Blot : 0.5-1ug/ml
Immunohistochemistry (FFPE) : 1-2ug/ml
Limitations This CIITA antibody is available for research use only.
Review this product on BioCompare and get a $20 Amazon gift card

Related Products

  • Applications : WB, FACS, Direct ELISA
    Reactivity : Human, Mouse, Rat

Description

CIITA is a human gene which is mapped to 16p13. This gene encodes a protein with an acidic transcriptional activation domain, 4 LRRs (leucine-rich repeats) and a GTP binding domain. The protein is located in the nucleus and acts as a positive regulator of class II major histocompatibility complex gene transcription, and is referred to as the master control factor for the expression of these genes. Also, the protein binds GTP and uses GTP binding to facilitate its own transport into the nucleus. Once in the nucleus it does not bind DNA but rather uses an intrinsic acetyltransferase (AT) activity to act in a coactivator-like fashion. Mutations in this gene have been associated with bare lymphocyte syndrome type II (also known as hereditary MHC class II deficiency or HLA class II-deficient combined immunodeficiency), increased susceptibility to rheumatoid arthritis, multiple sclerosis, and possibly myocardial infarction. Several transcript variants encoding different isoforms have been found for this gene.

Application Notes

Optimal dilution of the CIITA antibody should be determined by the researcher.

Immunogen

Amino acids E945-R1130 from the human protein were used as the immunogen for the CIITA antibody.

Storage

Prior to reconstitution, store at 4oC. After reconstitution, the CIITA antibody can be stored for up to one month at 4oC. For long-term, aliquot and store at -20oC. Avoid repeated freezing and thawing.

Cross
Bulk Quote Request Form
Name*:
Organization*:
Email*:
Phone Number*:
Catalog No.*:
Comments and Specifics(amount, formulation, etc.)*:
Validation code: Captchapackage Image


Can't read the image? click here to refresh.
    *required field

Your bulk quote request has been submitted successfully!

Please contact us if you have any questions.