• Tel: 858.663.9055
  • SeparatorEmail: info@nsjbio.com
  • Tel: 858.663.9055
  • Email: info@nsjbio.com
Home >> Antibodies >> CHTOP Antibody / Chromatin target of PRMT1 protein / C1orf77

CHTOP Antibody / Chromatin target of PRMT1 protein / C1orf77 (RQ7159)

  Catalog No Formulation Size Price (USD)  
Image RQ7159 0.5mg/ml if reconstituted with 0.2ml sterile DI water 100 ug 449
Bulk quote request
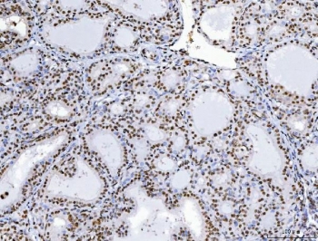
IHC staining of FFPE human thyroid cancer tissue with CHTOP antibody. HIER: boil tissue sections in pH8 EDTA for 20 min and allow to cool before testing.
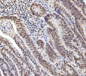
IHC staining of FFPE human colorectal adenocarcinoma tissue with CHTOP antibody. HIER: boil tissue sections in pH8 EDTA for 20 min and allow to cool before testing.
IHC staining of FFPE human breast cancer tissue with CHTOP antibody. HIER: boil tissue sections in pH8 EDTA for 20 min and allow to cool before testing.
IHC staining of FFPE human spleen tissue with CHTOP antibody. HIER: boil tissue sections in pH8 EDTA for 20 min and allow to cool before testing.
IHC staining of FFPE human laryngeal squamous cell carcinoma tissue with CHTOP antibody. HIER: boil tissue sections in pH8 EDTA for 20 min and allow to cool before testing.
IHC staining of FFPE human placental tissue with CHTOP antibody. HIER: boil tissue sections in pH8 EDTA for 20 min and allow to cool before testing.
Western blot testing of 1) human HeLa, 2) monkey COS-7, 3) human ThP-1, 4) human MOLT-4, 5) human RT4, 6) human HL-60, 7) human MCF-7, 8) rat brain, 9) rat PC-12, 10) mouse spleen, 11) mouse brain, 12) mouse lung and 12) mouse L929 cell lysate with CHTOP antibody. Predicted molecular weight ~26 kDa.
Flow cytometry testing of human ThP-1 cells with CHTOP antibody at 1ug/million cells (blocked with goat sera); Red=cells alone, Green=isotype control, Blue= CHTOP antibody.
Flow cytometry testing of rat RH35 cells with CHTOP antibody at 1ug/million cells (blocked with goat sera); Red=cells alone, Green=isotype control, Blue= CHTOP antibody.
Availability 1-3 business days
Species Reactivity Human, Mouse, Rat, Monkey
Format Antigen affinity purified
Host Rabbit
Clonality Polyclonal (rabbit origin)
Isotype Rabbit IgG
Purity Antigen affinity purified
Buffer Lyophilized from 1X PBS with 2% Trehalose
UniProt Q9Y3Y2
Localization Nuclear
Applications Western Blot : 0.5-1ug/ml
Immunohistochemistry (FFPE) : 2-5ug/ml
Flow Cytometry : 1-3ug/million cells
Limitations This CHTOP antibody is available for research use only.
Review this product on BioCompare and get a $20 Amazon gift card

Description

This gene encodes a small nuclear protein that is characterized by an arginine and glycine rich region. This protein may have an important role in the regulation of fetal globin gene expression and in the activation of estrogen-responsive genes. A recent study reported that this protein binds 5-hydroxymethylcytosine (5hmC) and associates with an arginine methyltransferase complex (methylosome), which promotes methylation of arginine 3 of histone H4 (H4R3) and activation of genes involved in glioblastomagenesis. Alternatively spliced transcript variants encoding different isoforms have been described for this gene.

Application Notes

Optimal dilution of the CHTOP antibody should be determined by the researcher.

Immunogen

Amino acids AAQSAPKVVLKSTTKMSLNERFTNMLKNKQ were used as the immunogen for the CHTOP antibody.

Storage

After reconstitution, the CHTOP antibody can be stored for up to one month at 4oC. For long-term, aliquot and store at -20oC. Avoid repeated freezing and thawing.

Cross
Bulk Quote Request Form
Name*:
Organization*:
Email*:
Phone Number*:
Catalog No.*:
Comments and Specifics(amount, formulation, etc.)*:
Validation code: Captchapackage Image


Can't read the image? click here to refresh.
    *required field

Your bulk quote request has been submitted successfully!

Please contact us if you have any questions.