- Tel: 858.663.9055
- 
									 Email: info@nsjbio.com Email: info@nsjbio.com
- Tel: 858.663.9055
- Email: info@nsjbio.com
 Email: info@nsjbio.com
Email: info@nsjbio.com
								Related Products
| 
 | 
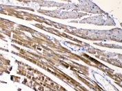
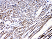
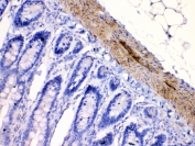
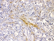
Neuronal acetylcholine receptor subunit alpha-5 is a protein that in humans is encoded by the CHRNA5 gene. It is mapped to 15q25.1. The protein encoded by this gene is a nicotinic acetylcholine receptor subunit and a member of a superfamily of ligand-gated ion channels that mediate fast signal transmission at synapses. These receptors are thought to be heteropentamers composed of separate but similar subunits. Defects in this gene have been linked to susceptibility to lung cancer type 2 (LNCR2).
Optimal dilution of the CHRNA5 antibody should be determined by the researcher.
Amino acids 44-76 (AKHEDSLLKDLFQDYERWVRPVEHLNDKIKIKF) from the human protein were used as the immunogen for the CHRNA5 antibody.
After reconstitution, the CHRNA5 antibody can be stored for up to one month at 4oC. For long-term, aliquot and store at -20oC. Avoid repeated freezing and thawing.
 
Your bulk quote request has been submitted successfully!
Please contact us if you have any questions.