• Tel: 858.663.9055
  • SeparatorEmail: info@nsjbio.com
  • Tel: 858.663.9055
  • Email: info@nsjbio.com
Home >> Antibodies >> CHM Antibody / Choroideremia protein

CHM Antibody / Choroideremia protein (RQ4899)

  Catalog No Formulation Size Price (USD)  
Image RQ4899 0.5mg/ml if reconstituted with 0.2ml sterile DI water 100 ug 449
Bulk quote request
IHC staining of FFPE human thyroid cancer tissue with CHM antibody. HIER: boil tissue sections in pH8 EDTA for 20 min and allow to cool before testing.
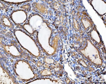
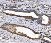
IHC staining of FFPE human prostate cancer tissue with CHM antibody. HIER: boil tissue sections in pH8 EDTA for 20 min and allow to cool before testing.
IHC staining of FFPE human tonsil tissue with CHM antibody. HIER: boil tissue sections in pH8 EDTA for 20 min and allow to cool before testing.
Immunofluorescent staining of FFPE human SiHa cells with CHM antibody (green) and DAPI nuclear stain (blue). HIER: steam section in pH6 citrate buffer for 20 min.
Western blot testing of human 1) HeLa, 2) placenta, 3) 293T, 4) A431, 5) Caco-2 and 6) SiHa cell lysate with CHM antibody. Predicted molecular weight ~73 kDa.
Flow cytometry testing of human U937 cells with CHM antibody at 1ug/10^6 cells (blocked with goat sera); Red=cells alone, Green=isotype control, Blue= CHM antibody.
Availability 1-3 business days
Species Reactivity Human
Format Antigen affinity purified
Host Rabbit
Clonality Polyclonal (rabbit origin)
Isotype Rabbit IgG
Purity Antigen affinity purified
Buffer Lyophilized from 1X PBS with 2% Trehalose
UniProt P24386
Localization Cytoplasmic
Applications Western Blot : 0.5-1ug/ml
Immunohistochemistry (FFPE) : 2-5ug/ml
Immunofluorescence : 5ug/ml
Flow Cytometry : 1-3ug/10^6 cells
Limitations This CHM antibody is available for research use only.
Review this product on BioCompare and get a $20 Amazon gift card

Related Products

Description

Rab escort protein 1 (REP1) also known as Rab proteins geranylgeranyltransferase component A 1, and Choroideremia protein, is an enzyme that in humans is encoded by the CHM gene. It is mapped to Xq21.2. This gene encodes component A of the RAB geranylgeranyl transferase holoenzyme. In the dimeric holoenzyme, this subunit binds unprenylated Rab GTPases and then presents them to the catalytic Rab GGTase subunit for the geranylgeranyl transfer reaction. Rab GTPases need to be geranylgeranyled on either one or two cysteine residues in their C-terminus to localize to the correct intracellular membrane. Mutations in this gene are a cause of choroideremia; also known as tapetochoroidal dystrophy (TCD). This X-linked disease is characterized by progressive dystrophy of the choroid, retinal pigment epithelium and retina. Alternatively spliced transcript variants have been found for this gene.

Application Notes

Optimal dilution of the CHM antibody should be determined by the researcher.

Immunogen

Amino acids QDQILENEEAIALSRKDKTIQHVEVFCYASQDLHED from the human protein were used as the immunogen for the CHM antibody.

Storage

After reconstitution, the CHM antibody can be stored for up to one month at 4oC. For long-term, aliquot and store at -20oC. Avoid repeated freezing and thawing.

Cross
Bulk Quote Request Form
Name*:
Organization*:
Email*:
Phone Number*:
Catalog No.*:
Comments and Specifics(amount, formulation, etc.)*:
Validation code: Captchapackage Image


Can't read the image? click here to refresh.
    *required field

Your bulk quote request has been submitted successfully!

Please contact us if you have any questions.