• Tel: 858.663.9055
  • SeparatorEmail: info@nsjbio.com
  • Tel: 858.663.9055
  • Email: info@nsjbio.com
Home >> Antibodies >> CHAT Antibody / Choline O-acetyltransferase

CHAT Antibody / Choline O-acetyltransferase [clone r38B12] (V5856)

  Catalog No Formulation Size Price (USD)  
Image V5856-100UG 0.2 mg/ml in 1X PBS with 0.05% BSA, 0.05% sodium azide 100 ug 559
Image
V5856-20UG 0.2 mg/ml in 1X PBS with 0.05% BSA, 0.05% sodium azide 20 ug 259
Image
V5856SAF-100UG 1 mg/ml in 1X PBS; BSA free, sodium azide free 100 ug 559
Microvalidated Recmousemono
Bulk quote request
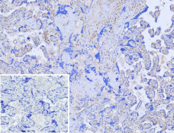
Immunohistochemistry analysis of formalin-fixed, paraffin-embedded human placenta tissue using CHAT antibody (clone r38B12). Weak to moderate cytoplasmic staining is observed in scattered placental cells, with minimal background signal in surrounding stromal regions. Nuclei are counterstained in blue. Inset shows PBS substituted for the primary antibody as a secondary-only negative control. Heat-induced antigen retrieval was performed by heating tissue sections in 10 mM Tris with 1 mM EDTA, pH 9.0, for 45 minutes at 95oC, followed by cooling at room temperature for 20 minutes.
SDS-PAGE Analysis of Purified CHAT/Choline O-acetyltransferase antibody (clone r38B12). Confirmation of Purity and Integrity of Antibody.
Species Reactivity Human
Format Purified
Host Mouse
Clonality Recombinant Mouse Monoclonal
Isotype Mouse IgG1, kappa
Clone Name r38B12
UniProt P28329
Localization Cytoplasm, Nucleus, Synapse
Applications Immunohistochemistry (FFPE) : 1-2ug/ml
Limitations This CHAT/Choline O-acetyltransferase antibody is available for research use only.
Review this product on BioCompare and get a $20 Amazon gift card

Related Products

Description

CHAT antibody targets Choline O-acetyltransferase, a cytoplasmic enzyme encoded by the CHAT gene that catalyzes the biosynthesis of the neurotransmitter acetylcholine from choline and acetyl-CoA. Choline O-acetyltransferase is the defining molecular marker of cholinergic neurons and plays a central role in cholinergic neurotransmission throughout the central and peripheral nervous systems. Expression of CHAT is tightly associated with neuronal populations involved in motor control, autonomic regulation, and cognitive processing, including basal forebrain neurons, brainstem nuclei, spinal motor neurons, and autonomic ganglia. As a result, CHAT antibody is widely used in research focused on identifying cholinergic cell populations and mapping acetylcholine-related signaling pathways.

Choline O-acetyltransferase is localized primarily in the cytoplasm, where it associates with synaptic vesicle transport and acetylcholine synthesis machinery. The enzyme belongs to the ChAT family and exhibits conserved structural domains required for acetyl-CoA binding and catalytic activity. In addition to classical neuronal expression, Choline O-acetyltransferase has been reported in non-neuronal cell types, including epithelial cells, immune cells, and certain endocrine tissues, supporting the concept of non-neuronal acetylcholine production. These findings have expanded interest in CHAT expression beyond the nervous system, particularly in studies of cell communication, epithelial biology, and immune modulation. Clone r38B12 is designed to recognize Choline O-acetyltransferase for research use in studies examining cholinergic identity and acetylcholine biosynthesis.

Altered expression or activity of Choline O-acetyltransferase has been implicated in a range of neurological and neuromuscular disorders. Reduced CHAT expression is a hallmark feature observed in neurodegenerative diseases such as Alzheimer disease and amyotrophic lateral sclerosis, while changes in cholinergic signaling have also been linked to Parkinson disease and cognitive impairment. In developmental contexts, CHAT expression is critical for proper neuromuscular junction formation and motor neuron maturation. Beyond neurological disease, dysregulated cholinergic signaling has been explored in inflammation, cancer biology, and tissue homeostasis, reflecting the diverse roles of acetylcholine as a signaling molecule. Clone r38B12 provides a research tool for investigating Choline O-acetyltransferase expression and distribution in experimental systems relevant to neuronal function, development, and disease-associated cholinergic pathways.

Application Notes

1. Optimal dilution of the CHAT/Choline O-acetyltransferase antibody should be determined by the researcher.

2. This CHAT/Choline O-acetyltransferase antibody is recombinantly produced by expression in CHO cells.

Immunogen

Prokaryotic recombinant protein corresponding to the C-terminal region of the human ChAT molecule was used as the immunogen for the CHAT/Choline O-acetyltransferase antibody.

Storage

CHAT/Choline O-acetyltransferase antibody with sodium azide - store at 2 to 8oC; antibody without sodium azide - store at -20 to -80oC.

Cross
Bulk Quote Request Form
Name*:
Organization*:
Email*:
Phone Number*:
Catalog No.*:
Comments and Specifics(amount, formulation, etc.)*:
Validation code: Captchapackage Image


Can't read the image? click here to refresh.
    *required field

Your bulk quote request has been submitted successfully!

Please contact us if you have any questions.