• Tel: 858.663.9055
  • SeparatorEmail: info@nsjbio.com
  • Tel: 858.663.9055
  • Email: info@nsjbio.com
Home >> Antibodies >> CGB3 Antibody / Choriogonadotropin subunit beta 3

CGB3 Antibody / Choriogonadotropin subunit beta 3 [clone HCGb/7512R] (V5855)

  Catalog No Formulation Size Price (USD)  
Image V5855-100UG 0.2 mg/ml in 1X PBS with 0.05% BSA, 0.05% sodium azide 100 ug 559
Image
V5855-20UG 0.2 mg/ml in 1X PBS with 0.05% BSA, 0.05% sodium azide 20 ug 259
Image
V5855SAF-100UG 1 mg/ml in 1X PBS; BSA free, sodium azide free 100 ug 559
Microvalidated Recrabbitmono
Bulk quote request
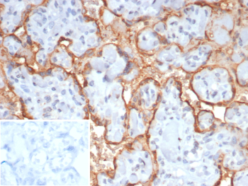
Immunohistochemistry analysis of formalin-fixed, paraffin-embedded human placenta tissue using CGB3 antibody (clone HCGb/7512R). Prominent membranous and pericellular staining is observed in trophoblastic cells, with signal outlining villous structures and minimal background staining in surrounding stromal areas. Nuclei are counterstained in blue. Inset shows PBS substituted for the primary antibody as a secondary-only negative control. Heat-induced antigen retrieval was performed by heating tissue sections in 10 mM Tris with 1 mM EDTA, pH 9.0, for 45 minutes at 95oC, followed by cooling at room temperature for 20 minutes.
SDS-PAGE Analysis of Purified CGB3/Choriogonadotropin subunit beta 3 antibody (clone HCGb/7512R). Confirmation of Purity and Integrity of Antibody.
Species Reactivity Human
Format Purified
Host Rabbit
Clonality Recombinant Rabbit Monoclonal
Isotype Rabbit IgG, kappa
Clone Name HCGb/7512R
Purity Protein A affinity
UniProt P01233
Localization Secreted
Applications Immunohistochemistry (FFPE) : 1-2ug/ml
Limitations This CGB3/Choriogonadotropin subunit beta 3 antibody is available for research use only.
Review this product on BioCompare and get a $20 Amazon gift card

Related Products

Description

CGB3 Antibody targets Choriogonadotropin subunit beta 3, a glycoprotein hormone subunit that forms part of human chorionic gonadotropin (hCG), a key regulator of early pregnancy and trophoblast biology. Choriogonadotropin subunit beta 3 is encoded by the CGB3 gene, one of several closely related beta subunit genes clustered on chromosome 19 that contribute to hCG production. The beta subunit confers biological specificity to the hormone and distinguishes hCG from other glycoprotein hormones such as luteinizing hormone, follicle-stimulating hormone, and thyroid-stimulating hormone, which share a common alpha subunit.

Choriogonadotropin subunit beta 3 is primarily synthesized and secreted by placental syncytiotrophoblasts, where it plays an essential role in maintaining the corpus luteum, supporting progesterone production, and promoting uterine receptivity during early gestation. In addition to its endocrine role, hCG beta subunits have been implicated in trophoblast differentiation, angiogenesis, and immune modulation at the maternal-fetal interface. Expression of CGB3 is tightly regulated during normal pregnancy, with highest levels observed during the first trimester, followed by a gradual decline as placental endocrine function matures.

Beyond normal placental physiology, aberrant expression of Choriogonadotropin subunit beta 3 has been documented in a variety of pathological contexts. Elevated or ectopic expression of hCG beta subunits, including CGB3, has been reported in gestational trophoblastic disease and several non-trophoblastic malignancies, where expression may reflect dedifferentiation or hormone-driven signaling pathways. In these settings, CGB3 antibody reagents are widely used to examine hormone production, tumor-associated antigen expression, and diagnostic marker distribution in tissue sections and cell-based models.

At the cellular level, Choriogonadotropin subunit beta 3 is synthesized in the endoplasmic reticulum, undergoes glycosylation within the Golgi apparatus, and is secreted into the extracellular space as part of the intact hCG heterodimer. The protein belongs to the glycoprotein hormone beta subunit family and contains conserved cysteine residues that form disulfide bonds critical for proper folding and receptor interaction. Due to extensive glycosylation, hCG beta subunits often display higher apparent molecular weights than predicted by primary amino acid sequence alone when analyzed by SDS-PAGE.

CGB3 Antibody is a valuable tool for studying placental development, reproductive endocrinology, and hormone-associated tumor biology. Detection of Choriogonadotropin subunit beta 3 expression supports investigations into trophoblast function, endocrine signaling, and disease-associated dysregulation of hCG-related pathways.

Choriogonadotropin subunit beta 3 is a glycoprotein hormone subunit encoded by the CGB3 gene and belongs to the chorionic gonadotropin beta family, which plays an essential role in placental development and endocrine signaling during pregnancy. Expression of CGB3 contributes to the biological activity of human chorionic gonadotropin and is tightly regulated in trophoblastic tissues and other hormone-associated biological systems. Clone HCGb/7512R is designed to recognize Choriogonadotropin subunit beta 3 for research use in molecular and cellular studies.

CGB3 Antibody is intended for research applications involving analysis of Choriogonadotropin subunit beta 3 expression in placental biology and hormone-associated systems. In addition to physiological expression, dysregulated expression of beta subunits of chorionic gonadotropin, including CGB3, has been reported in a range of hormone-related pathological contexts, supporting continued investigation of this protein in both normal and disease-associated settings. Clone HCGb/7512R provides a tool for researchers examining CGB3 expression and distribution in relevant experimental models.

Application Notes

1. Optimal dilution of the CGB3/Choriogonadotropin subunit beta 3 antibody should be determined by the researcher.

2. This CGB3/Choriogonadotropin subunit beta 3 antibody is recombinantly produced by expression in human HEK293 cells.

Immunogen

Recombinant full-length human CGB protein was used as the immunogen for the CGB3/Choriogonadotropin subunit beta 3 antibody.

Storage

CGB3/Choriogonadotropin subunit beta 3 antibody with sodium azide - store at 2 to 8oC; antibody without sodium azide - store at -20 to -80oC.

Cross
Bulk Quote Request Form
Name*:
Organization*:
Email*:
Phone Number*:
Catalog No.*:
Comments and Specifics(amount, formulation, etc.)*:
Validation code: Captchapackage Image


Can't read the image? click here to refresh.
    *required field

Your bulk quote request has been submitted successfully!

Please contact us if you have any questions.