• Tel: 858.663.9055
  • SeparatorEmail: info@nsjbio.com
  • Tel: 858.663.9055
  • Email: info@nsjbio.com
Home >> Antibodies >> CGA Antibody Rabbit Polyclonal / Choriogonadotropin alpha

CGA Antibody Rabbit Polyclonal / Choriogonadotropin alpha (FY12208)

  Catalog No Formulation Size Price (USD)  
Image FY12208 Adding 0.2 ml of distilled water will yield a concentration of 500 ug/ml 100 ug 449
Bulk quote request
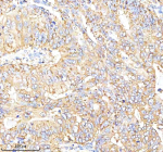
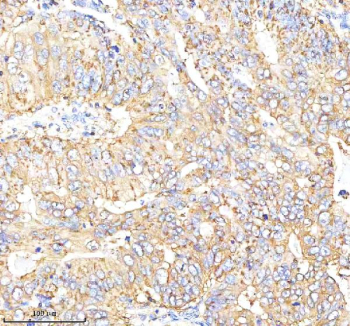
CGA Antibody Rabbit Polyclonal Stomach Cancer IHC. Immunohistochemical staining of Choriogonadotropin alpha/CGA using anti-CGA antibody rabbit polyclonal. Choriogonadotropin alpha/CGA was detected in a paraffin-embedded section of human stomach cancer tissue. Heat mediated antigen retrieval was performed in EDTA buffer (pH 8.0, epitope retrieval solution). The tissue section was blocked with 10% goat serum. The tissue section was then incubated with 2 ug/ml rabbit anti-CGA antibody overnight at 4oC. Peroxidase Conjugated Goat Anti-rabbit IgG was used as secondary antibody and incubated for 30 minutes at 37oC. The tissue section was developed using an HRP secondary and DAB substrate.
CGA Antibody Rabbit Polyclonal WB. Western blot analysis of Choriogonadotropin alpha/CGA using anti-CGA antibody rabbit polyclonal. Lane 1: human Caco-2 whole cell lysates, Lane 2: human Hela whole cell lysates, Lane 3: human MCF-7 whole cell lysates, Lane 4: human 293T whole cell lysates, Lane 5: rat brain tissue lysates, Lane 6: rat C6 whole cell lysates, Lane 7: mouse brain tissue lysates, Lane 8: mouse Neuro-2a whole cell lysates. After electrophoresis, proteins were transferred to a nitrocellulose membrane at 150 mA for 50-90 minutes. Blocked the membrane with 5% non-fat milk/TBS for 1.5 hour at RT. The membrane was incubated with rabbit anti-CGA antibody at 0.5 ug/ml overnight at 4oC, then washed with TBS-0.1%Tween 3 times with 5 minutes each and probed with a goat anti-rabbit IgG-HRP secondary antibody at a dilution of 1:5000 for 1.5 hour at RT. The signal was developed using enhanced chemiluminescent. The expected band size for CGA is at 13 kDa but may be observed at higher molecular weights due to glycosylation.
CGA Antibody Rabbit Polyclonal FACS. Flow Cytometry analysis of 293T cells using anti-Choriogonadotropin alpha/CGA antibody rabbit polyclonal. Overlay histogram showing 293T cells stained with (Blue line). The cells were fixed with 4% paraformaldehyde and blocked with 10% normal goat serum. And then incubated with rabbit anti-CGA antibody (1 ug/million cells) for 30 min at 20oC. DyLight 488 conjugated goat anti-rabbit IgG (5-10 ug/million cells) was used as secondary antibody for 30 minutes at 20oC. Isotype control antibody (Green line) was rabbit IgG (1 ug/million cells) used under the same conditions. Unlabelled sample without incubation with primary antibody and secondary antibody (Red line) was used as a blank control.
Availability 1-2 days
Species Reactivity Human, Mouse, Rat
Format Lyophilized
Host Rabbit
Clonality Polyclonal (rabbit origin)
Isotype Rabbit IgG
Purity Immunogen affinity purified
Buffer Each vial contains 4 mg Trehalose, 0.9 mg NaCl, 0.2 mg Na2HPO4.
UniProt P01215
Applications Western Blot : 0.25-0.5ug/ml
Immunohistochemistry : 2-5ug/ml
Flow Cytometry : 1-3ug/million cells
Limitations This CGA Antibody Rabbit Polyclonal is available for research use only.
Review this product on BioCompare and get a $20 Amazon gift card

Related Products

Description

CGA Antibody Rabbit Polyclonal detects Choriogonadotropin alpha, a glycoprotein hormone subunit that forms the alpha component of several pituitary and placental hormones. The UniProt recommended name is Glycoprotein hormones alpha chain (CGA). This protein combines with distinct beta subunits to create functional heterodimeric hormones, including luteinizing hormone (LH), follicle-stimulating hormone (FSH), thyroid-stimulating hormone (TSH), and human chorionic gonadotropin (hCG). These hormones regulate key reproductive and endocrine processes such as ovulation, pregnancy maintenance, and thyroid function.

Functionally, CGA antibody identifies a 92-amino-acid secreted glycoprotein synthesized in the anterior pituitary gland and placenta. The alpha subunit provides a conserved structural framework that enables pairing with hormone-specific beta subunits, which determine receptor specificity and biological activity. CGA is heavily glycosylated, and its carbohydrate chains are essential for stability, secretion, and receptor binding. It plays a crucial role in endocrine signaling, coordinating hormonal responses across reproductive and metabolic systems.

The CGA gene is located on chromosome 6q12-q21 and is expressed in trophoblastic tissue, pituitary gonadotrophs, and thyrotrophs. In the placenta, it combines with the hCG beta subunit to form human chorionic gonadotropin, a hormone vital for sustaining early pregnancy by maintaining progesterone production. CGA expression is hormonally regulated and responsive to gonadotropin-releasing hormone (GnRH), thyroid-stimulating hormone-releasing factor, and estrogen signaling.

Clinically, altered CGA levels or misfolding can affect reproductive function and thyroid regulation. Elevated circulating hCG, which includes the CGA subunit, is a diagnostic marker for pregnancy and certain trophoblastic or germ cell tumors. Overexpression of free alpha subunit is also observed in some pituitary adenomas and endocrine malignancies. Research using CGA antibody supports studies in reproductive biology, placental development, and hormonal regulation.

CGA antibody is validated for use in relevant research applications to detect the alpha subunit of glycoprotein hormones and study its role in endocrine signaling. NSJ Bioreagents provides CGA antibody rabbit polyclonal reagents optimized for reproductive, endocrine, and diagnostic hormone research.

For a well-established Chromogranin A antibody widely used for consistent detection of CHGA in neuroendocrine tissues, see our Chromogranin A Antibody / Clone LK2H10.

Application Notes

Optimal dilution of the CGA Antibody Rabbit Polyclonal should be determined by the researcher.

Immunogen

A synthetic peptide corresponding to a sequence at the N-terminus of human Choriogonadotropin alpha was used as the immunogen for the CGA antibody rabbit polyclonal.

Storage

After reconstitution, the CGA antibody can be stored for up to one month at 4oC. For long-term, aliquot and store at -20oC. Avoid repeated freezing and thawing.

Cross
Bulk Quote Request Form
Name*:
Organization*:
Email*:
Phone Number*:
Catalog No.*:
Comments and Specifics(amount, formulation, etc.)*:
Validation code: Captchapackage Image


Can't read the image? click here to refresh.
    *required field

Your bulk quote request has been submitted successfully!

Please contact us if you have any questions.