• Tel: 858.663.9055
  • SeparatorEmail: info@nsjbio.com
  • Tel: 858.663.9055
  • Email: info@nsjbio.com
Home >> Antibodies >> CETP Antibody

CETP Antibody (RQ5582)

  Catalog No Formulation Size Price (USD)  
Image RQ5582 0.5mg/ml if reconstituted with 0.2ml sterile DI water 100 ug 449
Bulk quote request
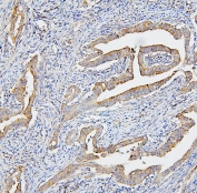
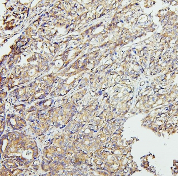
IHC staining of FFPE human stomach cancer with CETP antibody. HIER: boil tissue sections in pH6, 10mM citrate buffer, for 20 min and allow to cool before testing.
IHC staining of FFPE human intestinal cancer with CETP antibody. HIER: boil tissue sections in pH6, 10mM citrate buffer, for 20 min and allow to cool before testing.
IHC staining of FFPE human breast cancer with CETP antibody. HIER: boil tissue sections in pH6, 10mM citrate buffer, for 20 min and allow to cool before testing.
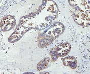
IHC staining of FFPE human placenta with CETP antibody. HIER: boil tissue sections in pH6, 10mM citrate buffer, for 20 min and allow to cool before testing.
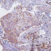
IHC staining of FFPE human ovarian cancer with CETP antibody. HIER: boil tissue sections in pH6, 10mM citrate buffer, for 20 min and allow to cool before testing.
IHC staining of FFPE human appendicitis tissue with CETP antibody. HIER: boil tissue sections in pH6, 10mM citrate buffer, for 20 min and allow to cool before testing.
Western blot testing of 1) rat liver, 2) human ThP-1, 3) human Raji, 4) human U-87 MG and 5) mouse RAW246.7 lysate with CETP antibody. Expected molecular weight: 66-74 kDa depending on glycosylation level.
Flow cytometry testing of human HepG2 cells with CETP antibody at 1ug/million cells (blocked with goat sera); Red=cells alone, Green=isotype control, Blue= CETP antibody.
Availability 1-3 business days
Species Reactivity Human, Mouse, Rat
Format Antigen affinity purified
Host Rabbit
Clonality Polyclonal (rabbit origin)
Isotype Rabbit IgG
Purity Affinity purified
Buffer Lyophilized from 1X PBS with 2% Trehalose and 0.025% sodium azide
UniProt P11597
Applications Western Blot : 0.25-0.5ug/ml
Immunohistochemistry (FFPE) : 1-2ug/ml
Flow Cytometry : 1-3ug/million cells
Direct ELISA : 0.1-0.5ug/ml
Limitations This CETP antibody is available for research use only.
Review this product on BioCompare and get a $20 Amazon gift card

Related Products

Description

CETP (Cholesteryl Ester Transfer Protein Plasma), is a plasma protein that facilitates the transport of cholesteryl esters and triglycerides between the lipoproteins. CETP is also known as lipid transfer protein I (Day et al., 1994). Sparkes et al. (1987) used a CETP probe against DNA from a human/mouse somatic cell hybrid panel to assign the CETP gene to chromosome 16. Because the role of CETP in atherosclerosis remained unclear, Okamoto et al. (2000) attempted to develop a potent, specific CETP inhibitor. One inhibitor, JTT-705, forms a disulfide bond with CETP and increases high density lipoprotein (HDL) cholesterol, decreases non-HDL cholesterol, and inhibits the progression of atherosclerosis in rabbits.

Application Notes

Optimal dilution of the CETP antibody should be determined by the researcher.

Immunogen

A human recombinant protein (amino acids H77-K353) was used as the immunogen for the CETP antibody.

Storage

After reconstitution, the CETP antibody can be stored for up to one month at 4oC. For long-term, aliquot and store at -20oC. Avoid repeated freezing and thawing.

Cross
Bulk Quote Request Form
Name*:
Organization*:
Email*:
Phone Number*:
Catalog No.*:
Comments and Specifics(amount, formulation, etc.)*:
Validation code: Captchapackage Image


Can't read the image? click here to refresh.
    *required field

Your bulk quote request has been submitted successfully!

Please contact us if you have any questions.