• Tel: 858.663.9055
  • SeparatorEmail: info@nsjbio.com
  • Tel: 858.663.9055
  • Email: info@nsjbio.com
Home >> Antibodies >> CEP63 Antibody / Centrosomal protein of 63 kDa

CEP63 Antibody / Centrosomal protein of 63 kDa (FY13342)

  Catalog No Formulation Size Price (USD)  
Image FY13342 Adding 0.2 ml of distilled water will yield a concentration of 500 ug/ml 100 ug 449
Bulk quote request
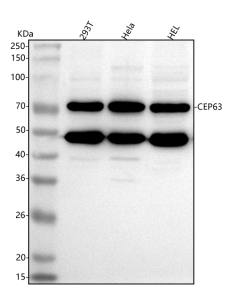
Western blot analysis of CEP63 using anti-CEP63 antibody. Lane 1: human 293T whole cell lysates, Lane 2: human Hela whole cell lysates, Lane 3: human HEL whole cell lysates. After electrophoresis, proteins were transferred to a nitrocellulose membrane at 150 mA for 50-90 minutes. Blocked the membrane with 5% non-fat milk/TBS for 1.5 hour at RT. The membrane was incubated with rabbit anti-CEP63 antibody at 0.5 ug/ml overnight at 4oC, then washed with TBS-0.1%Tween 3 times with 5 minutes each and probed with a goat anti-rabbit IgG-HRP secondary antibody at a dilution of 1:5000 for 1.5 hour at RT. The signal was developed using enhanced chemiluminescent. Strong bands are detected at approximately 70 kDa and 49 kDa, consistent with the major endogenous CEP63 isoform (617 aa, ~71 kDa) and a known smaller isoform or proteolytic fragment. The predicted ~81 kDa full-length isoform is weak or absent, a pattern commonly reported for CEP63 due to low abundance and centrosomal processing.
Availability 1-2 days
Species Reactivity Human
Format Lyophilized
Host Rabbit
Clonality Polyclonal (rabbit origin)
Isotype Rabbit IgG
Purity Immunogen affinity purified
Buffer Each vial contains 4 mg Trehalose, 0.9 mg NaCl, 0.2 mg Na2HPO4.
UniProt Q96MT8
Applications Western Blot : 0.25-0.5ug/ml
ELISA : 0.1-0.5ug/ml
Limitations This CEP63 antibody is available for research use only.
Review this product on BioCompare and get a $20 Amazon gift card

Description

CEP63 antibody detects Centrosomal protein of 63 kDa, a centrosome-associated structural protein encoded by the CEP63 gene on chromosome 3q22.2. CEP63 is a critical regulator of centrosome duplication and spindle organization during cell division. The protein localizes to the pericentriolar material of centrosomes, where it functions as a scaffold to recruit additional centrosomal components required for centriole biogenesis. CEP63 is highly expressed in proliferating tissues such as bone marrow, testis, and developing neural cells, reflecting its key role in maintaining mitotic fidelity and genomic stability.

CEP63 forms a complex with CEP152 to initiate centriole duplication by recruiting the kinase PLK4 to the mother centriole. This complex establishes a platform for procentriole assembly, ensuring that centrosomes duplicate only once per cell cycle. CEP63 also interacts with proteins such as CDK5RAP2, CEP192, and CENPJ, contributing to microtubule anchoring and spindle pole organization. Co-localization studies show CEP63 associating with centriolar satellites and the mitotic spindle, underlining its importance in centrosomal integrity and mitosis.

Structurally, CEP63 contains coiled-coil domains that mediate dimerization and interactions with other centrosomal proteins. It belongs to the CEP protein family, which includes more than 30 structural and regulatory components of the centrosome. CEP63 acts as a scaffolding factor, stabilizing protein complexes essential for centriole duplication and spindle assembly. It also participates in DNA damage signaling by localizing to damaged chromatin and facilitating checkpoint activation in collaboration with ATM and MDC1.

Functionally, CEP63 links centrosome duplication to cell cycle progression and DNA repair. It ensures accurate chromosome segregation and prevents aneuploidy. In developing neurons, CEP63 supports centriole cohesion and ciliogenesis, highlighting its role in neurodevelopment. During embryogenesis, CEP63 expression coincides with periods of rapid cell proliferation. Tissue-specific studies show that CEP63 supports germ cell division and early brain morphogenesis by maintaining centrosome integrity.

Dysregulation or loss of CEP63 function has been associated with microcephaly and primary immunodeficiency disorders. Mutations in CEP63 disrupt centriole duplication, leading to mitotic defects, centrosome amplification, and genomic instability. In cancer, CEP63 overexpression has been observed in glioblastoma and breast carcinoma, where it contributes to uncontrolled proliferation. Pathway involvement includes cell cycle regulation, centrosome duplication, and DNA damage checkpoint signaling.

Immunohistochemical staining using CEP63 antibody reveals pericentriolar and spindle pole localization during mitosis. The CEP63 antibody from NSJ Bioreagents is an excellent reagent for studying centrosome biology, mitotic regulation, and neurodevelopmental disease mechanisms.

Application Notes

Optimal dilution of the CEP63 antibody should be determined by the researcher.

Immunogen

E.coli-derived human CEP63 recombinant protein (Position: Q294-D628) was used as the immunogen for the CEP63 antibody.

Storage

After reconstitution, the CEP63 antibody can be stored for up to one month at 4oC. For long-term, aliquot and store at -20oC. Avoid repeated freezing and thawing.

Cross
Bulk Quote Request Form
Name*:
Organization*:
Email*:
Phone Number*:
Catalog No.*:
Comments and Specifics(amount, formulation, etc.)*:
Validation code: Captchapackage Image


Can't read the image? click here to refresh.
    *required field

Your bulk quote request has been submitted successfully!

Please contact us if you have any questions.