• Tel: 858.663.9055
  • SeparatorEmail: info@nsjbio.com
  • Tel: 858.663.9055
  • Email: info@nsjbio.com
Home >> Antibodies >> CENPA Antibody

CENPA Antibody (R32115)

  Catalog No Formulation Size Price (USD)  
Image R32115 0.5mg/ml if reconstituted with 0.2ml sterile DI water 100 ug 449
Bulk quote request
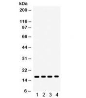
Western blot testing of 1) rat liver, 2) rat lung, 3) rat pancreas, 4) human HeLa lysate with CENPA antibody. Predicted/observed molecular weight ~16 kDa.
Availability 1-3 business days
Species Reactivity Human, Rat
Format Antigen affinity purified
Host Rabbit
Clonality Polyclonal (rabbit origin)
Isotype Rabbit IgG
Purity Antigen affinity
Buffer Lyophilized from 1X PBS with 2.5% BSA and 0.025% sodium azide
UniProt P49450
Applications Western Blot : 0.1-0.5ug/ml
Limitations This CENPA antibody is available for research use only.
Review this product on BioCompare and get a $20 Amazon gift card

Description

Centromeres are the differentiated chromosomal domains that specify the mitotic behavior of chromosomes. CENPA encodes a centromere protein which contains a histone H3 related histone fold domain that is required for targeting to the centromere. And CENPA is proposed to be a component of a modified nucleosome or nucleosome-like structure in which it replaces 1 or both copies of conventional histone H3 in the (H3-H4)2 tetrameric core of the nucleosome particle. Alternative splicing results in multiple transcript variants encoding distinct isoforms. In higher eukaryotes, the recruitment of CENP-A nucleosomes to existing centromeres is an epigenetic process, independent of the underlying DNA sequence. In S.pombe, de novo recruitment of the CENP-A to the centromere is believed to be controlled by centromeric heterochromatin surrounding the centromere, and by an RNAi mechanism. The RNAi is cut to form siRNA; this complexes with the protein Chp1, which then binds the centromeric heterochromatin. This helps recruit other proteins, ultimately resulting in a protein complex that forms cohesin between two sister chromatids at the centromeric heterochromatin. This cohesin is believed to be essential in replacing the centromere H3 with CENP-A. CENP-A is one of the epigenetic changes that is believed to distinguish centromeric DNA from other DNA. Once the CENP-A has been added, the centromere becomes self-propagating, and the surrounding heterochromatin/RNAi mechanism is no longer necessary.

Application Notes

Optimal dilution of the CENPA antibody should be determined by the researcher.

Immunogen

Amino acids 1-140 of human CENPA were used as the immunogen for the CENPA antibody.

Storage

After reconstitution, the CENPA antibody can be stored for up to one month at 4oC. For long-term, aliquot and store at -20oC. Avoid repeated freezing and thawing.

Cross
Bulk Quote Request Form
Name*:
Organization*:
Email*:
Phone Number*:
Catalog No.*:
Comments and Specifics(amount, formulation, etc.)*:
Validation code: Captchapackage Image


Can't read the image? click here to refresh.
    *required field

Your bulk quote request has been submitted successfully!

Please contact us if you have any questions.