• Tel: 858.663.9055
  • SeparatorEmail: info@nsjbio.com
  • Tel: 858.663.9055
  • Email: info@nsjbio.com
Home >> Antibodies >> CELA3A Antibody / Chymotrypsin like elastase 3A

CELA3A Antibody / Chymotrypsin like elastase 3A [clone CELA3A/12553] (V5847)

  Catalog No Formulation Size Price (USD)  
Image V5847-100UG 0.2 mg/ml in 1X PBS with 0.05% BSA, 0.05% sodium azide 100 ug 559
Image
V5847-20UG 0.2 mg/ml in 1X PBS with 0.05% BSA, 0.05% sodium azide 20 ug 259
Image
V5847SAF-100UG 1 mg/ml in 1X PBS; BSA free, sodium azide free 100 ug 559
Bulk quote request
Western blot analysis of CELA3A expression. Human pancreas tissue lysate was analyzed by SDS-PAGE and immunoblotting using a CELA3A/Chymotrypsin like elastase 3A antibody (clone CELA3A/12553). A prominent band is detected at the predicted molecular weight (~29 kDa) corresponding to Chymotrypsin like elastase 3A, with an additional lower molecular weight band consistent with proteolytically processed forms commonly observed for pancreatic digestive enzymes.
SDS-PAGE Analysis of Purified CELA3A/Chymotrypsin like elastase 3A Antibody (CELA3A/12553). Confirmation of Purity and Integrity of Antibody.
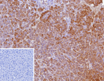
Immunohistochemistry analysis of CELA3A expression. CELA3A/Chymotrypsin like elastase 3A antibody (clone CELA3A/12553) staining was performed on formalin-fixed, paraffin-embedded human pancreas tissue, showing strong DAB-positive cytoplasmic staining in pancreatic acinar cells, with hematoxylin counterstaining. The inset shows a negative control processed in parallel using PBS in place of the primary antibody, demonstrating minimal background signal with secondary antibody only.
Species Reactivity Human
Format Purified
Host Mouse
Clonality Monoclonal (mouse origin)
Isotype Mouse IgG1, kappa
Clone Name CELA3A/12553
UniProt P09093
Localization Cytoplasm, Extracellular space
Applications Immunohistochemistry (FFPE) : 1-2ug/ml
Western Blot : 2-4ug/ml
Limitations This CELA3A/Chymotrypsin like elastase 3A antibody is available for research use only.
Review this product on BioCompare and get a $20 Amazon gift card

Related Products

Description

CELA3A antibody targets Chymotrypsin like elastase 3A, a digestive serine protease encoded by the CELA3A gene and primarily produced by pancreatic acinar cells. Chymotrypsin like elastase 3A is synthesized as an inactive zymogen and stored in secretory granules, then released into the intestinal lumen where it participates in protein digestion. CELA3A is predominantly localized to the cytoplasmic secretory compartment of pancreatic acinar cells and is a well-established marker of exocrine pancreatic tissue.

Functionally, Chymotrypsin like elastase 3A catalyzes the cleavage of peptide bonds in dietary proteins, contributing to efficient digestion and nutrient absorption. A short functional summary is that CELA3A supports normal digestive enzyme activity in the gastrointestinal tract as part of the pancreatic elastase family. Through its proteolytic activity, CELA3A plays an essential role in exocrine pancreatic function and digestive physiology.

At the molecular level, CELA3A belongs to the trypsin-like serine protease family and contains the conserved catalytic triad required for protease activity. Activation occurs through proteolytic processing in the intestinal environment. CELA3A antibody reagents are therefore useful for studying pancreatic enzyme expression, acinar cell differentiation, and regulation of digestive protease production. Clone CELA3A/12553 is designed to recognize Chymotrypsin like elastase 3A and supports consistent detection of CELA3A expression in research applications.

From a biological and disease relevance perspective, CELA3A expression is commonly used as a marker of pancreatic acinar cell identity and exocrine differentiation. Altered expression of Chymotrypsin like elastase 3A has been examined in pancreatic injury, pancreatitis, and pancreatic cancer, where loss of acinar markers may reflect cellular dedifferentiation or disease progression. CELA3A antibody tools are valuable for distinguishing acinar-derived cells from ductal or endocrine cell populations in pancreatic tissue studies.

Developmentally, CELA3A expression increases with maturation of the exocrine pancreas and acquisition of digestive function. Clone CELA3A/12553 provides a reliable reagent for detecting Chymotrypsin like elastase 3A in studies of pancreatic biology, digestive enzyme regulation, and gastrointestinal disease. CELA3A antibodies from NSJ Bioreagents are supplied for research use to support investigations in pancreatic physiology and pathology.

Application Notes

Optimal dilution of the CELA3A/Chymotrypsin like elastase 3A antibody should be determined by the researcher.

Immunogen

A recombinant fragment (around amino acids 50-250) of human CELA3A protein (exact sequence is proprietary) was used as the immunogen for the CELA3A/Chymotrypsin like elastase 3A antibody.

Storage

CELA3A/Chymotrypsin like elastase 3A antibody with sodium azide - store at 2 to 8oC; antibody without sodium azide - store at -20 to -80oC.

Cross
Bulk Quote Request Form
Name*:
Organization*:
Email*:
Phone Number*:
Catalog No.*:
Comments and Specifics(amount, formulation, etc.)*:
Validation code: Captchapackage Image


Can't read the image? click here to refresh.
    *required field

Your bulk quote request has been submitted successfully!

Please contact us if you have any questions.