• Tel: 858.663.9055
  • SeparatorEmail: info@nsjbio.com
  • Tel: 858.663.9055
  • Email: info@nsjbio.com
Home >> Antibodies >> CEBPB Antibody

CEBPB Antibody (F49889)

  Catalog No Formulation Size Price (USD)  
Image F49889-0.4ML In 1X PBS, pH 7.4, with 0.09% sodium azide 0.4 ml 439
Image
F49889-0.08ML In 1X PBS, pH 7.4, with 0.09% sodium azide 0.08 ml 205
Bulk quote request
Western blot analysis of CEBPB antibody and 293 cell lysate either nontransfected (Lane 1) or transiently transfected with the CEBPB gene (2). Expected molecular weight: 36-41 kDa.
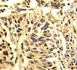
IHC analysis of FFPE human lung carcinoma stained with CEBPB antibody
CEBPB antibody flow cytometric analysis of 293 cells (green) compared to a negative control (blue). FITC-conjugated goat-anti-rabbit secondary Ab was used for the analysis.
Availability 1-3 business days
Species Reactivity Human
Predicted Reactivity Mouse, Rat, Bovine, Chicken
Format Purified
Host Rabbit
Clonality Polyclonal (rabbit origin)
Isotype Rabbit Ig
Purity Purified
UniProt P17676
Applications Western Blot : 1:1000
IHC (Paraffin) : 1:50-1:100
Flow Cytometry : 1:10-1:50
Limitations This CEBPB antibody is available for research use only.
Review this product on BioCompare and get a $20 Amazon gift card

Related Products

  • Applications : WB, IF
    Reactivity : Human, Mouse, Rat
    Recrabbitmono
  • Applications : WB, IHC-P, IF, FACS
    Reactivity : Human
  • Applications : WB, ELISA
    Reactivity : Rat
  • Applications : WB, ELISA (peptide)
    Reactivity : Human, Mouse, Rat, Pig
    Pred. Reactivity : Dog, Cow

Description

CEBPB is a bZIP transcription factor which can bind as a homodimer to certain DNA regulatory regions. It can also form heterodimers with the related proteins CEBP-alpha, CEBP-delta, and CEBP-gamma. This protein is important in the regulation of genes involved in immune and inflammatory responses and has been shown to bind to the IL-1 response element in the IL-6 gene, as well as to regulatory regions of several acute-phase and cytokine genes. In addition, It can bind the promoter and upstream element and stimulate the expression of the collagen type I gene.

Application Notes

Titration of the CEBPB antibody may be required due to differences in protocols and secondary/substrate sensitivity.

Immunogen

A portion of amino acids 271-298 from the human protein was used as the immunogen for this CEBPB antibody.

Storage

Aliquot the CEBPB antibody and store frozen at -20oC or colder. Avoid repeated freeze-thaw cycles.

Cross
Bulk Quote Request Form
Name*:
Organization*:
Email*:
Phone Number*:
Catalog No.*:
Comments and Specifics(amount, formulation, etc.)*:
Validation code: Captchapackage Image


Can't read the image? click here to refresh.
    *required field

Your bulk quote request has been submitted successfully!

Please contact us if you have any questions.