• Tel: 858.663.9055
  • SeparatorEmail: info@nsjbio.com
  • Tel: 858.663.9055
  • Email: info@nsjbio.com
Home >> Antibodies >> CEACAM1 Antibody / BGP-1 / CD66a

CEACAM1 Antibody / BGP-1 / CD66a [clone CEACAM1/12659] (V5792)

  Catalog No Formulation Size Price (USD)  
Image V5792-100UG 0.2 mg/ml in 1X PBS with 0.1 mg/ml BSA (US sourced), 0.05% sodium azide 100 ug 559
Image
V5792-20UG 0.2 mg/ml in 1X PBS with 0.1 mg/ml BSA (US sourced), 0.05% sodium azide 20 ug 259
Image
V5792SAF-100UG 1 mg/ml in 1X PBS; BSA free, sodium azide free 100 ug 559
Bulk quote request
Western blot analysis of CEACAM1 antibody in human SK-MEL-28 cell lysate. A strong high molecular weight band and broad signal are observed well above the predicted molecular weight of 58 kDa. In some experimental settings, a lighter band may be detected near the predicted molecular weight, representing less glycosylated forms of CEACAM1. The predicted molecular weight of CEACAM1, also known as BGP-1, is approximately 58 kDa based on amino acid sequence; however, CEACAM1 is a heavily N-glycosylated type I membrane glycoprotein. Extensive N-linked glycosylation, heterogeneous glycoform distribution, and potential dimerization can result in markedly slower SDS-PAGE migration and apparent molecular weights substantially higher than the sequence-predicted size. The prominent high molecular weight signal observed here is therefore consistent with glycosylated CEACAM1 species in melanoma-derived cells.
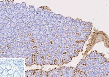
Immunohistochemistry analysis of CEACAM1 antibody in human colon tissue. FFPE human colon sections show membranous and apical HRP-DAB brown staining in glandular epithelial cells, consistent with CEACAM1 expression at the luminal surface. Stromal elements show minimal staining. The inset negative control, in which PBS was used in place of primary antibody, shows no specific brown chromogenic signal. Heat induced epitope retrieval was performed by boiling tissue sections in pH 9 10 mM Tris with 1 mM EDTA for 20 minutes followed by cooling prior to staining.
SDS-PAGE analysis of purified, BSA-free CEACAM1 antibody (clone CEACAM1/12659) as confirmation of integrity and purity.
Availability 1-3 business days
Species Reactivity Human
Format Purified
Host Mouse
Clonality Monoclonal (mouse origin)
Isotype Mouse IgG1, kappa
Clone Name CEACAM1/12659
Purity Protein G affinity
UniProt P13688
Localization Secreted, Cell membrane
Applications Western Blot : 2-4ug/ml
Immunohistochemistry (FFPE) : 1-2ug/ml
Limitations This CEACAM1 antibody is available for research use only.
Review this product on BioCompare and get a $20 Amazon gift card

Related Products

Description

CEACAM1 antibody, also known as Carcinoembryonic antigen-related cell adhesion molecule 1 antibody, recognizes a type I transmembrane glycoprotein commonly referred to as BGP-1, Biliary glycoprotein 1, and CD66a. Encoded by the CEACAM1 gene, this immunoglobulin superfamily member is predominantly localized to the plasma membrane of epithelial and immune cells, where it mediates cell-cell adhesion and intracellular signaling. CEACAM1 is highly expressed in liver, biliary epithelium, intestine, prostate, and mammary gland, as well as in subsets of activated T cells, B cells, and natural killer cells, supporting both structural integrity and immune modulation.

CEACAM1 antibody detects a protein that facilitates homophilic and heterophilic adhesion through extracellular immunoglobulin-like domains. In polarized epithelial tissues, BGP-1 is enriched at apical and lateral membranes, contributing to maintenance of epithelial barrier function and organization of glandular structures. The cytoplasmic tail of CEACAM1 exists in alternatively spliced long and short isoforms. Long isoforms contain immunoreceptor tyrosine-based inhibitory motifs that recruit phosphatases and regulate downstream pathways controlling proliferation, differentiation, and apoptosis, whereas short isoforms lack these motifs and exhibit altered signaling capacity.

Functionally, CEACAM1 integrates adhesion and signaling roles. In immune cells, it acts as a co-inhibitory receptor that modulates T cell activation, tolerance, and inflammatory responses, linking CD66a biology with immune checkpoint-like mechanisms. Through its regulatory functions, CEACAM1 participates in immune homeostasis and may influence tumor-immune interactions within the microenvironment. In addition, several bacterial and viral pathogens exploit CEACAM family members as entry receptors, highlighting the importance of BGP-1 in studies of host-pathogen interactions and mucosal defense.

Altered expression of CEACAM1 has been observed in colorectal carcinoma, hepatocellular carcinoma, breast cancer, melanoma, and prostate cancer. In certain epithelial tumors, reduced CEACAM1 expression correlates with decreased adhesion and increased invasiveness, while in other malignancies, elevated expression is associated with tumor progression and immune evasion. These context-dependent roles underscore the relevance of CEACAM1 in cancer biology and tissue remodeling.

The CEACAM1 antibody clone CEACAM1/12659 is suitable for detecting BGP-1 expression in research applications. This BGP-1 antibody supports investigations into epithelial differentiation, immune regulation, and tumor-associated changes in adhesion molecule expression.

Application Notes

Optimal dilution of the CEACAM1 antibody should be determined by the researcher.

Immunogen

A portion of amino acids 50-250 from human CEACAM1 protein was used as the immunogen for the CEACAM1 antibody.

Storage

Aliquot the CEACAM1 antibody and store frozen at -20oC or colder. Avoid repeated freeze-thaw cycles.

Cross
Bulk Quote Request Form
Name*:
Organization*:
Email*:
Phone Number*:
Catalog No.*:
Comments and Specifics(amount, formulation, etc.)*:
Validation code: Captchapackage Image


Can't read the image? click here to refresh.
    *required field

Your bulk quote request has been submitted successfully!

Please contact us if you have any questions.