• Tel: 858.663.9055
  • SeparatorEmail: info@nsjbio.com
  • Tel: 858.663.9055
  • Email: info@nsjbio.com
Home >> Antibodies >> CEA Antibody / CEACAM5

CEA Antibody / CEACAM5 (F49646)

  Catalog No Formulation Size Price (USD)  
Image F49646-0.4ML In 1X PBS, pH 7.4, with 0.09% sodium azide 0.4 ml 439
Image
F49646-0.08ML In 1X PBS, pH 7.4, with 0.09% sodium azide 0.08 ml 205
Bulk quote request
Western blot analysis of CEA antibody and 293 lysate. Expected molecular weight: 80~200 kDa depending on glycosylation level.
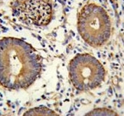
CEA antibody immunohistochemistry analysis in formalin fixed and paraffin embedded human colon carcinoma.
CEA antibody flow cytometric analysis of 293 cells (right histogram) compared to a negative control (left histogram). FITC-conjugated goat-anti-rabbit secondary Ab was used for the analysis.
Availability 1-3 business days
Species Reactivity Human
Format Purified
Host Rabbit
Clonality Polyclonal (rabbit origin)
Isotype Rabbit Ig
Purity Purified
UniProt P06731
Applications Western Blot : 1:1000
IHC (Paraffin) : 1:50-1:100
Flow Cytometry : 1:10-1:50
Limitations This CEA antibody is available for research use only.
Review this product on BioCompare and get a $20 Amazon gift card

Related Products

Description

CEA is a cell surface glycoprotein that plays a role in cell adhesion and in intracellular signaling. It is a receptor for E.coli Dr adhesins.

Application Notes

Titration of the CEA antibody may be required due to differences in protocols and secondary/substrate sensitivity.

Immunogen

A portion of amino acids 400-429 from the human protein was used as the immunogen for this CEA antibody.

Storage

Aliquot the CEA antibody and store frozen at -20oC or colder. Avoid repeated freeze-thaw cycles.

Cross
Bulk Quote Request Form
Name*:
Organization*:
Email*:
Phone Number*:
Catalog No.*:
Comments and Specifics(amount, formulation, etc.)*:
Validation code: Captchapackage Image


Can't read the image? click here to refresh.
    *required field

Your bulk quote request has been submitted successfully!

Please contact us if you have any questions.