• Tel: 858.663.9055
  • SeparatorEmail: info@nsjbio.com
  • Tel: 858.663.9055
  • Email: info@nsjbio.com
Home >> Antibodies >> CEA Antibody / CEACAM5

CEA Antibody / CEACAM5 [clone C66/1260] (V2444)

  Catalog No Formulation Size Price (USD)  
Image V2444-100UG 0.2 mg/ml in 1X PBS with 0.1 mg/ml BSA (US sourced) and 0.05% sodium azide 100 ug 559
Image
V2444-20UG 0.2 mg/ml in 1X PBS with 0.1 mg/ml BSA (US sourced) and 0.05% sodium azide 20 ug 259
Image
V2444SAF-100UG 1 mg/ml in 1X PBS; BSA free, sodium azide free 100 ug 559
Image
V2444IHC-7ML Prediluted in 1X PBS with 0.1 mg/ml BSA (US sourced) and 0.05% sodium azide; *For IHC use only* 7 ml 559
Bulk quote request
CEA Antibody Intestine WB. Western blot analysis of CEA / CEACAM5 expression in human intestine tissue lysate using CEA antibody, clone C66/1260. Lane 1: human intestine tissue lysate. A prominent band is detected at approximately 180-200 kDa, consistent with the predicted molecular weight of CEACAM5, with higher apparent migration reflecting extensive glycosylation characteristic of this cell surface adhesion glycoprotein.
SDS-PAGE Analysis of Purified, BSA-Free CEA Antibody (clone C66/1260). Confirmation of Integrity and Purity of the Antibody.
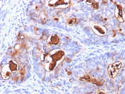
CEA Antibody Colon Carcinoma IHC. Immunohistochemistry staining of formalin-fixed, paraffin-embedded human colon carcinoma with CEA antibody (clone C66/1260).
Availability 1-3 business days
Species Reactivity Human
Format Purified
Host Mouse
Clonality Monoclonal (mouse origin)
Isotype Mouse IgG2b, kappa
Clone Name C66/1260
Purity Protein G affinity chromatography
UniProt P06731
Localization Cytoplasmic and luminal surface
Applications Immunohistochemistry (FFPE) : 0.25-0.5ug/ml for 30 min at RT (1) (2)
Western Blot : 2-4ug/ml
Limitations This CEA antibody is available for research use only.
Review this product on BioCompare and get a $20 Amazon gift card

Related Products

Description

CEA Antibody recognizes proteins of 80-200kDa, identified as different members of CEA family. CEA is synthesized during development in the fetal gut and is re-expressed in increased amounts in intestinal carcinomas and several other tumors. This mAb reacts with nonspecific cross-reacting antigen (NCA). It shows no reaction with a variety of normal tissues and is suitable for staining of formalin/paraffin tissues. CEA is not found in benign glands, stroma, or malignant prostatic cells. Antibody to CEA is useful in detecting early foci of gastric carcinoma and in distinguishing pulmonary adenocarcinomas (60-70% are CEA+) from pleural mesotheliomas (rarely or weakly CEA+). Anti-CEA positivity is seen in adenocarcinomas from the lung, colon, stomach, esophagus, pancreas, gallbadder, urachus, salivary gland, ovary, and endocervix.

This CEA antibody is part of a broader CEA antibody panel offered by NSJ Bioreagents.

Application Notes

Optimal dilution of the CEA antibody to be determined by the researcher.

1. Staining of formalin-fixed tissues requires boiling tissue sections in pH 9 10mM Tris with 1mM EDTA for 10-20 min followed by cooling at RT for 20 min
2. The prediluted format is supplied in a dropper bottle and is optimized for use in IHC. After epitope retrieval step (if required), drip mAb solution onto the tissue section and incubate at RT for 30 min.

Immunogen

Purified human protein was used as the immunogen for the CEA antibody.

Storage

Store the CEA antibody at 2-8oC (with azide) or aliquot and store at -20oC or colder (without azide).

Cross
Bulk Quote Request Form
Name*:
Organization*:
Email*:
Phone Number*:
Catalog No.*:
Comments and Specifics(amount, formulation, etc.)*:
Validation code: Captchapackage Image


Can't read the image? click here to refresh.
    *required field

Your bulk quote request has been submitted successfully!

Please contact us if you have any questions.