• Tel: 858.663.9055
  • SeparatorEmail: info@nsjbio.com
  • Tel: 858.663.9055
  • Email: info@nsjbio.com
Home >> Antibodies >> CDKN2A Antibody Recombinant Mouse MAb / Cyclin-dependent kinase inhibitor 2A

CDKN2A Antibody Recombinant Mouse MAb / Cyclin-dependent kinase inhibitor 2A [clone rCDKN2A/13303] (V5851)

  Catalog No Formulation Size Price (USD)  
Image V5851-100UG 0.2 mg/ml in 1X PBS with 0.05% BSA, 0.05% sodium azide 100 ug 559
Image
V5851-20UG 0.2 mg/ml in 1X PBS with 0.05% BSA, 0.05% sodium azide 20 ug 259
Image
V5851SAF-100UG 1 mg/ml in 1X PBS; BSA free, sodium azide free 100 ug 559
Microvalidated Recmousemono
Bulk quote request
Western blot analysis of human HeLa cell lysate using CDKN2A antibody recombinant mouse mAb (clone rCDKN2A/13303).
Western blot analysis of CDKN2A in human HEK293T cell lysate using a CDKN2A/Cyclin-dependent kinase inhibitor 2A antibody (clone rCDKN2A/13303). An immunoreactive signal is detected in the ~16 kDa region, appearing as a closely spaced doublet consistent with the predicted molecular weight of Cyclin-dependent kinase inhibitor 2A. The presence of a doublet may reflect heterogeneity in electrophoretic migration commonly observed for small regulatory proteins. Proteins were resolved by SDS-PAGE under reducing conditions and transferred to a membrane prior to antibody incubation. Signal detection was performed using an HRP-conjugated secondary antibody and chemiluminescent substrate.
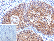
Immunohistochemical analysis of CDKN2A in FFPE human cervix tissue using CDKN2A antibody recombinant mouse mAb (clone rCDKN2A/13303). Strong nuclear and cytoplasmic staining is observed in epithelial cells within the cervical tissue, consistent with Cyclin-dependent kinase inhibitor 2A localization. Inset shows a negative control section processed in parallel using PBS in place of the primary antibody, demonstrating minimal background staining.
SDS-PAGE analysis of purified, BSA-free CDKN2A/Cyclin-dependent kinase inhibitor 2A antibody (clone rCDKN2A/13303) as confirmation of integrity and purity.
Species Reactivity Human
Format Purified
Host Mouse
Clonality Recombinant Mouse Monoclonal
Isotype Mouse IgG2a, lambda
Clone Name rCDKN2A/13303
UniProt P42771
Localization Cytoplasm, Nucleus
Applications Immunohistochemistry (FFPE) : 1-2ug/ml
Western Blot : 2-4ug/ml
Limitations This CDKN2A/Cyclin-dependent kinase inhibitor 2A antibody is available for research use only.
Review this product on BioCompare and get a $20 Amazon gift card

Related Products

Description

CDKN2A antibody recombinant mouse mAb targets Cyclin-dependent kinase inhibitor 2A, a critical cell cycle regulatory protein encoded by the CDKN2A gene. Cyclin-dependent kinase inhibitor 2A is best known as p16 INK4a and functions as a negative regulator of cyclin-dependent kinases CDK4 and CDK6, thereby controlling progression through the G1 phase of the cell cycle. CDKN2A is predominantly localized to the nucleus, where it enforces cell cycle arrest by preventing phosphorylation of the retinoblastoma protein.

As a member of the INK4 family of cyclin-dependent kinase inhibitors, Cyclin-dependent kinase inhibitor 2A plays a central role in cellular senescence, stress responses, and proliferation control. CDKN2A antibody, also commonly referred to as p16 INK4a antibody in the literature, is widely used to study mechanisms of cell cycle regulation and checkpoint integrity. In addition to nuclear localization, p16 INK4a may also be detected in the cytoplasm under certain biological conditions, reflecting changes in regulatory state or cellular context.

Expression of CDKN2A is tightly regulated and influenced by oncogenic signaling, aging, and epigenetic modifications. CDKN2A antibody is therefore useful for examining pathways associated with senescence, cell cycle arrest, and tumor suppressor activity. Loss, overexpression, or mislocalization of Cyclin-dependent kinase inhibitor 2A has been widely investigated in disease-related research settings, particularly in studies focused on dysregulated cell proliferation.

In cancer biology, CDKN2A is one of the most frequently studied tumor suppressor genes. Altered p16 INK4a expression is associated with abnormal cell cycle control and is commonly evaluated in tumor classification and mechanistic cancer research. CDKN2A antibody is routinely applied in studies examining cell cycle dysregulation, oncogenic transformation, and therapeutic response pathways.

This CDKN2A antibody, clone rCDKN2A/13303, is designed to recognize Cyclin-dependent kinase inhibitor 2A in research applications. Recombinant mouse mAb clone rCDKN2A/13303 supports detection of CDKN2A expression and localization and is suitable for studies focused on cell cycle regulation, tumor suppressor signaling, and CDK pathway biology.

Application Notes

1. Optimal dilution of the CDKN2A/Cyclin-dependent kinase inhibitor 2A antibody should be determined by the researcher.

2. This CDKN2A antibody recombinant mouse mAb is recombinantly produced by expression in CHO cells.

Immunogen

Recombinant full-length human CDKN2A protein (exact sequence is proprietary) was used as the immunogen for the CDKN2A antibody recombinant mouse mAb.

Storage

CDKN2A/Cyclin-dependent kinase inhibitor 2A antibody with sodium azide - store at 2 to 8oC; antibody without sodium azide - store at -20 to -80oC.

Cross
Bulk Quote Request Form
Name*:
Organization*:
Email*:
Phone Number*:
Catalog No.*:
Comments and Specifics(amount, formulation, etc.)*:
Validation code: Captchapackage Image


Can't read the image? click here to refresh.
    *required field

Your bulk quote request has been submitted successfully!

Please contact us if you have any questions.