• Tel: 858.663.9055
  • SeparatorEmail: info@nsjbio.com
  • Tel: 858.663.9055
  • Email: info@nsjbio.com
Home >> Antibodies >> CDKN1B Antibody / Cyclin-dependent kinase inhibitor 1B / p27Kip1

CDKN1B Antibody / Cyclin-dependent kinase inhibitor 1B / p27Kip1 [clone r1B4] (V5850)

  Catalog No Formulation Size Price (USD)  
Image V5850-100UG 0.2 mg/ml in 1X PBS with 0.05% BSA, 0.05% sodium azide 100 ug 559
Image
V5850-20UG 0.2 mg/ml in 1X PBS with 0.05% BSA, 0.05% sodium azide 20 ug 259
Image
V5850SAF-100UG 1 mg/ml in 1X PBS; BSA free, sodium azide free 100 ug 559
Microvalidated Recmousemono
Bulk quote request
Western blot analysis of human brain and human spleen tissue lysates using CDKN1B/Cyclin-dependent kinase inhibitor 1B antibody (clone r1B4).
Western blot analysis of human SK-BR-3 cell lysates using CDKN1B/Cyclin-dependent kinase inhibitor 1B antibody (clone r1B4).
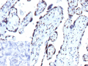
Immunohistochemical analysis of CDKN1B in FFPE human placenta using a CDKN1B/p27Kip1 antibody (clone r1B4). Distinct nuclear staining is observed in placental cells, consistent with Cyclin-dependent kinase inhibitor 1B localization. Staining of formalin-fixed tissues requires heating tissue sections in 10 mM Tris with 1 mM EDTA, pH 9.0, for 45 minutes at 95 C followed by cooling at room temperature for 20 minutes. Inset shows a negative control section processed in parallel using PBS in place of the primary antibody, demonstrating minimal background staining.
SDS-PAGE analysis of purified, BSA-free CDKN1B/p27Kip1 antibody (clone r1B4) as confirmation of integrity and purity.
Species Reactivity Human
Format Purified
Host Mouse
Clonality Recombinant Mouse Monoclonal
Isotype Mouse IgG2a, kappa
Clone Name r1B4
UniProt P46527
Localization Endosome, Nucleus
Applications Immunohistochemistry (FFPE) : 1-2ug/ml
Western Blot : 2-4ug/ml
Limitations This CDKN1B/Cyclin-dependent kinase inhibitor 1B antibody is available for research use only.
Review this product on BioCompare and get a $20 Amazon gift card

Related Products

Description

CDKN1B antibody targets Cyclin-dependent kinase inhibitor 1B, also called p27, KIP1 and p27Kip1, a key cell cycle regulatory protein encoded by the CDKN1B gene. Cyclin-dependent kinase inhibitor 1B is commonly known as p27 Kip1 and functions as a negative regulator of cyclin-CDK complexes, particularly those controlling the G1 to S phase transition. CDKN1B is predominantly localized to the nucleus, where it regulates cell cycle progression by inhibiting cyclin E-CDK2 and cyclin A-CDK2 activity.

As a member of the CIP/KIP family of cyclin-dependent kinase inhibitors, Cyclin-dependent kinase inhibitor 1B plays a critical role in maintaining cell cycle checkpoints and controlling cellular proliferation. CDKN1B antibody, also referred to as p27 Kip1 antibody in the literature, is widely used to study mechanisms of cell cycle arrest, differentiation, and quiescence. In addition to its nuclear functions, p27 Kip1 has been reported to exhibit cytoplasmic localization under certain biological conditions, where it may participate in cytoskeletal regulation and cell motility.

Expression of CDKN1B is tightly regulated at multiple levels, including transcription, phosphorylation, ubiquitin-mediated degradation, and subcellular localization. CDKN1B antibody is therefore useful for examining regulatory pathways that influence protein stability and intracellular distribution. Altered expression or mislocalization of Cyclin-dependent kinase inhibitor 1B has been associated with dysregulated cell proliferation and loss of growth control in disease-related research contexts.

In cancer biology, CDKN1B is frequently investigated as a tumor suppressor protein. Reduced nuclear expression of p27 Kip1 has been correlated with increased proliferative activity and adverse clinical features in multiple tumor types. CDKN1B antibody is commonly applied in studies focused on tumor classification, cell cycle dysregulation, and therapeutic response mechanisms.

This CDKN1B antibody, clone r1B4, is designed to recognize Cyclin-dependent kinase inhibitor 1B in research applications. Clone r1B4 supports detection of CDKN1B/p27Kip1 expression and localization and is suitable for studies examining cell cycle regulation, proliferation control, and CDK inhibitor signaling pathways.

Application Notes

1. Optimal dilution of the CDKN1B/Cyclin-dependent kinase inhibitor 1B antibody should be determined by the researcher.

2. This CDKN1B/Cyclin-dependent kinase inhibitor 1B antibody is recombinantly produced by expression in CHO cells.

Immunogen

Prokaryotic recombinant antigen corresponding to the full length p27 molecule was used as the immunogen for the CDKN1B/Cyclin-dependent kinase inhibitor 1B antibody.

Storage

CDKN1B/Cyclin-dependent kinase inhibitor 1B antibody with sodium azide - store at 2 to 8oC; antibody without sodium azide - store at -20 to -80oC.

Cross
Bulk Quote Request Form
Name*:
Organization*:
Email*:
Phone Number*:
Catalog No.*:
Comments and Specifics(amount, formulation, etc.)*:
Validation code: Captchapackage Image


Can't read the image? click here to refresh.
    *required field

Your bulk quote request has been submitted successfully!

Please contact us if you have any questions.