• Tel: 858.663.9055
  • SeparatorEmail: info@nsjbio.com
  • Tel: 858.663.9055
  • Email: info@nsjbio.com
Home >> Antibodies >> Cdk6 Antibody

Cdk6 Antibody (R32480)

  Catalog No Formulation Size Price (USD)  
Image R32480 0.5mg/ml if reconstituted with 0.2ml sterile DI water 100 ug 449
Bulk quote request
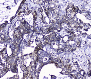
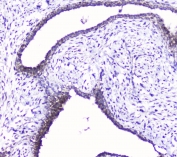
IHC staining of FFPE human intestinal cancer with Cdk6 antibody at 1ug/ml. HIER: boil tissue sections in pH6, 10mM citrate buffer, for 10-20 min followed by cooling at RT for 20 min.
IHC staining of FFPE human breast cancer with Cdk6 antibody at 1ug/ml. HIER: boil tissue sections in pH6, 10mM citrate buffer, for 10-20 min followed by cooling at RT for 20 min.
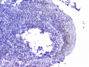
IHC staining of FFPE human tonsil tissue with Cdk6 antibody at 1ug/ml. HIER: boil tissue sections in pH6, 10mM citrate buffer, for 10-20 min followed by cooling at RT for 20 min.
Availability 1-3 business days
Species Reactivity Human, Rat
Format Antigen affinity purified
Host Rabbit
Clonality Polyclonal (rabbit origin)
Isotype Rabbit IgG
Purity Antigen affinity
Buffer Lyophilized from 1X PBS with 2.5% BSA and 0.025% sodium azide
UniProt Q00534
Localization Nuclear, cytoplasmic
Applications Western Blot : 0.5-1ug/ml
IHC (FFPE) : 1-2ug/ml
Limitations This Cdk6 antibody is available for research use only.
Review this product on BioCompare and get a $20 Amazon gift card

Related Products

  • Applications : WB
    Reactivity : Human, Rat, Mouse
  • Applications : WB, IHC-P, ELISA
    Reactivity : Human, Mouse

Description

Cell division protein kinase 6, also called Plstire, is an enzyme that in humans is encoded by the CDK6 gene. The protein encoded by this gene is a member of the cyclin-dependent protein kinase (CDK) family. Radiation hybrid analysis and inclusion within a mapped clone place the CDK6 gene at 7q21. Serine/threonine-protein kinase involved in the control of the cell cycle and differentiation and promotes G1/S transition. This gene also involved in initiation and maintenance of cell cycle exit during cell differentiation. It prevents cell proliferation and regulates negatively cell differentiation, but is required for the proliferation of specific cell types. In addition, CDK6 plays a role in promoting the proliferation of beta-cells in pancreatic islets of Langerhans.

Application Notes

Optimal dilution of the Cdk6 antibody should be determined by the researcher.

Immunogen

Amino acids TETIKDMMFQLLRGLDFLHSHRVVHRDLKPQN from the human protein were used as the immunogen for the Cdk6 antibody.

Storage

Prior to reconstitution, store at 4oC. After reconstitution, the Cdk6 antibody can be stored for up to one month at 4oC. For long-term, aliquot and store at -20oC. Avoid repeated freezing and thawing.

Cross
Bulk Quote Request Form
Name*:
Organization*:
Email*:
Phone Number*:
Catalog No.*:
Comments and Specifics(amount, formulation, etc.)*:
Validation code: Captchapackage Image


Can't read the image? click here to refresh.
    *required field

Your bulk quote request has been submitted successfully!

Please contact us if you have any questions.