• Tel: 858.663.9055
  • SeparatorEmail: info@nsjbio.com
  • Tel: 858.663.9055
  • Email: info@nsjbio.com
Home >> Antibodies >> CDK4 Antibody

CDK4 Antibody [clone CDK4/8210R] (V4307)

  Catalog No Formulation Size Price (USD)  
Image V4307-100UG 0.2 mg/ml in 1X PBS with 0.1 mg/ml BSA (US sourced), 0.05% sodium azide 100 ug 559
Image
V4307-20UG 0.2 mg/ml in 1X PBS with 0.1 mg/ml BSA (US sourced), 0.05% sodium azide 20 ug 259
Image
V4307SAF-100UG 1 mg/ml in 1X PBS; BSA free, sodium azide free 100 ug 559
Microvalidated Recrabbitmono
Bulk quote request
CDK4 Antibody K-562 WB. Western blot analysis of Cyclin-dependent kinase 4 (CDK4) expression in K-562 cell lysate using CDK4 antibody clone CDK4/8210R. Lane 1: K-562 cell lysate. A band is detected at approximately 33-34 kDa, consistent with the predicted molecular weight of CDK4, a key regulator of G1 to S phase cell cycle progression. A faint lower-molecular-weight band is also observed below 20 kDa, which may represent proteolytic processing or non-specific reactivity.
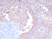
CDK4 Antibody Human Tonsil Tissue IHC. Immunohistochemistry staining of FFPE human tonsil tissue with CDK4 antibody (clone CDK4/8210R). Inset: PBS used in place of primary Ab (secondary Ab negative control). HIER: boil tissue sections in pH 9 10mM Tris with 1mM EDTA for 20 min and allow to cool before testing.
SDS-PAGE analysis of purified, BSA-free CDK4 antibody (CDK4/8210R) as confirmation of integrity and purity.
CDK4 Antibody Cell Line WB. Western blot analysis of Cyclin-dependent kinase 4 (CDK4) expression in cell lysates using CDK4 antibody. Lane 1: MCF7 cell lysate, Lane 2: HEK293T cell lysate. A band is detected at approximately 33–34 kDa, consistent with the predicted molecular weight of CDK4, a key regulator of G1 to S phase cell cycle progression. A lower-molecular-weight band is also observed at approximately 15–20 kDa, which may represent proteolytic processing or non-specific reactivity. The presence of CDK4 signal in both cell lines aligns with its known expression in proliferating cells.
Availability 1-3 business days
Species Reactivity Human
Format Purified
Host Rabbit
Clonality Recombinant Rabbit Monoclonal
Isotype Rabbit IgG, kappa
Clone Name CDK4/8210R
Purity Protein A/G affinity
UniProt P11802
Localization Nucleus, Cytoplasm
Applications Immunohistochemistry (FFPE) : 1-2ug/ml
Western Blot : 2-4ug/ml
Limitations This CDK4 antibody is available for research use only.
Review this product on BioCompare and get a $20 Amazon gift card

Related Products

  • Applications : IHC-P, WB
    Reactivity : Human
    Recrabbitmono
  • Applications : IHC-P
    Reactivity : Human
    Recrabbitmono
  • Applications : WB
    Reactivity : Human
  • Applications : WB
    Reactivity : Human
    Rab Mono Image
  • Applications : WB
    Reactivity : Human
    Rab Mono Image
  • Applications : IHC-P
    Reactivity : Human
  • Applications : IHC-P
    Reactivity : Human
  • Applications : WB, IF, FACS
    Reactivity : Human, Mouse, Rat
  • Applications : WB, ELISA
    Reactivity : Mouse
    Pred. Reactivity : Rat
  • Applications : FACS, IHC, WB, IF, ELISA
    Reactivity : Human
  • Applications : IHC, IF, ELISA
    Reactivity : Human, Rat
  • Applications : WB, IHC-P
    Reactivity : Human, Mouse, Rat

Description

Cyclin-dependent kinase-4 (CDK4) is a protein-serine kinase involved in the cell cycle. It is essential for the G1- to S-phase transition during the cell cycle and its expression is primarily controlled at the transcriptional level. CCND1- CDK4 axis is not only critical in glial tumor cells but also in stromal-derived cells in the surrounding tumor microenvironment that are vital to sustain tumor outgrowth. CDK4 is highly expressed in highly differentiated and dedifferentiated liposarcomas, but rarely expressed in other benign liposarcomas and other sarcomas. CDK4 and MDM2 combined to differentiate between highly differentiated liposarcoma (+), dedifferentiated liposarcoma (+) and myxoid liposarcoma, pleomorphic liposarcoma, spindle lipoma, pleomorphic lipoma and other high-grade sarcomas.

This antibody is part of a broader antibody panel offered by NSJ Bioreagents.

Application Notes

Optimal dilution of the CDK4 antibody should be determined by the researcher.

Immunogen

A recombinant fragment corresponding to the N-terminal of human CDK4 protein was used as the immunogen for the CDK4 antibody.

Storage

Aliquot the CDK4 antibody and store frozen at -20oC or colder. Avoid repeated freeze-thaw cycles.

Cross
Bulk Quote Request Form
Name*:
Organization*:
Email*:
Phone Number*:
Catalog No.*:
Comments and Specifics(amount, formulation, etc.)*:
Validation code: Captchapackage Image


Can't read the image? click here to refresh.
    *required field

Your bulk quote request has been submitted successfully!

Please contact us if you have any questions.