• Tel: 858.663.9055
  • SeparatorEmail: info@nsjbio.com
  • Tel: 858.663.9055
  • Email: info@nsjbio.com
Home >> Antibodies >> CDH5 Antibody / VE Cadherin

CDH5 Antibody / VE Cadherin (RQ4111)

  Catalog No Formulation Size Price (USD)  
Image RQ4111 0.5mg/ml if reconstituted with 0.2ml sterile DI water 100 ug 449
Bulk quote request
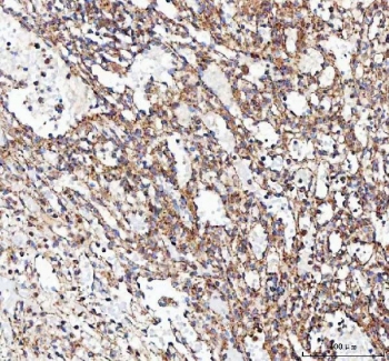
IHC staining of FFPE human lung adenocarcinoma tissue with CDH5 antibody. HIER: boil tissue sections in pH8 EDTA for 20 min and allow to cool before testing.
IHC staining of FFPE human spleen tissue with CDH5 antibody. HIER: boil tissue sections in pH8 EDTA for 20 min and allow to cool before testing.
IHC staining of FFPE human placental tissue with CDH5 antibody. HIER: boil tissue sections in pH8 EDTA for 20 min and allow to cool before testing.
Immunofluorescent staining of FFPE human lung cancer tissue with CDH5 antibody (red) and DAPI nuclear stain (blue). HIER: steam section in pH8 EDTA buffer for 20 min.
Western blot testing of human 1) HeLa and 2) 293T cell lysate with CDH5 antibody. Expected molecular weight: 90~140 kDa depending on glycosylation level.
Flow cytometry testing of fixed and permeabilized human HepG2 cells with CDH5 antibody at 1ug/million cells (blocked with goat sera); Red=cells alone, Green=isotype control, Blue= CDH5 antibody.
Availability 1-3 business days
Species Reactivity Human
Format Antigen affinity purified
Host Rabbit
Clonality Polyclonal (rabbit origin)
Isotype Rabbit IgG
Purity Antigen affinity purified
Buffer Lyophilized from 1X PBS with 2% Trehalose
UniProt P33151
Localization Cell membrane, cell junction
Applications Western Blot : 0.5-1ug/ml
Immunohistochemistry (FFPE) : 2-5ug/ml
Flow Cytometry : 1-3ug/million cells
Immunofluorescence : 5ug/ml
Direct ELISA : 0.1-0.5ug/ml
Limitations This CDH5 antibody is available for research use only.
Review this product on BioCompare and get a $20 Amazon gift card

Related Products

Description

CDH5 (Cadherin 5), also known as VE-cadherin, is a type of cadherin. It is encoded by the human gene CDH5. This gene is mapped to 16q22.1 using somatic cell hybrid panels. Functioning as a classic cadherin by imparting to cells the ability to adhere in a homophilic manner, the protein may play an important role in endothelial cell biology through control of the cohesion and organization of the intercellular junctions. Therefore it was concluded that VE-cadherin serves the purpose of maintaining newly formed vessels.

Application Notes

Optimal dilution of the CDH5 antibody should be determined by the researcher.

Immunogen

A recombinant human partial protein corresponding to amino acids D48-R272 was used as the immunogen for the CDH5 antibody.

Storage

After reconstitution, the CDH5 antibody can be stored for up to one month at 4oC. For long-term, aliquot and store at -20oC. Avoid repeated freezing and thawing.

Cross
Bulk Quote Request Form
Name*:
Organization*:
Email*:
Phone Number*:
Catalog No.*:
Comments and Specifics(amount, formulation, etc.)*:
Validation code: Captchapackage Image


Can't read the image? click here to refresh.
    *required field

Your bulk quote request has been submitted successfully!

Please contact us if you have any questions.