• Tel: 858.663.9055
  • SeparatorEmail: info@nsjbio.com
  • Tel: 858.663.9055
  • Email: info@nsjbio.com
Home >> Antibodies >> CDH17 Antibody Rabbit Monoclonal / Cadherin 17

CDH17 Antibody Rabbit Monoclonal / Cadherin 17 [clone CDH17/8515R] (V5260)

  Catalog No Formulation Size Price (USD)  
Image V5260-100UG 0.2 mg/ml in 1X PBS with 0.1 mg/ml BSA (US sourced), 0.05% sodium azide 100 ug 559
Image
V5260-20UG 0.2 mg/ml in 1X PBS with 0.1 mg/ml BSA (US sourced), 0.05% sodium azide 20 ug 259
Image
V5260SAF-100UG 1 mg/ml in 1X PBS; BSA free, sodium azide free 100 ug 559
Microvalidated Recrabbitmono
Bulk quote request
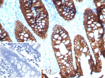
CDH17 Antibody Colon IHC. Immunohistochemical analysis of CDH17 in FFPE human colon tissue using a CDH17 / Cadherin 17 antibody rabbit monoclonal (clone CDH17/8515R). Strong membranous staining is observed in intestinal epithelial cells lining colonic glands, consistent with Cadherin 17 expression in gastrointestinal epithelium. Heat-induced epitope retrieval was performed by boiling tissue sections in 10 mM Tris with 1 mM EDTA, pH 9, for 20 minutes followed by cooling prior to staining. Inset shows a negative control section processed in parallel using PBS in place of the primary antibody, demonstrating minimal background staining.
SDS-PAGE analysis of purified, BSA-free CDH17 antibody (clone CDH17/8515R) as confirmation of integrity and purity.
CDH17 Antibody Small Intestine WB. Western blot testing of human small intestine lysate with CDH17 antibody rabbit monoclonal (clone CDH17/8515R). Predicted molecular weight ~92 kDa but may be observed at higher molecular weights due to glycosylation.
CDH17 Antibody Human Intestine WB. Western blot analysis of Cadherin-17 / CDH17, also known as Liver-intestine cadherin (LI-cadherin), expression in human intestine tissue lysate using rabbit monoclonal CDH17 antibody clone CDH17/8515R. Lane 1: human intestine lysate. A band is detected at approximately 110–130 kDa, consistent with the predicted molecular weight of CDH17, with the slightly higher apparent migration reflecting glycosylation of this intestinal epithelial adhesion protein. The strong signal in intestine lysate aligns with the known tissue-restricted expression of CDH17 in gastrointestinal epithelium.
Availability 1-3 business days
Species Reactivity Human
Format Purified
Host Rabbit
Clonality Recombinant Rabbit Monoclonal
Isotype Rabbit IgG, kappa
Clone Name CDH17/8515R
Purity Protein A affinity
UniProt Q12864
Localization Cell Surface, Cytoplasm
Applications Immunohistochemistry (FFPE) : 1-2ug/ml for 30 min at RT
Western Blot : 2-4ug/ml
Limitations This CDH17 antibody is available for research use only.
Review this product on BioCompare and get a $20 Amazon gift card

Related Products

Description

CDH17 antibody targets Cadherin 17, also referred to as Liver-intestine cadherin, a calcium-dependent cell adhesion protein encoded by the CDH17 gene. Cadherin 17 is a non-classical member of the cadherin superfamily and is predominantly localized to the cell membrane of epithelial cells lining the gastrointestinal tract. Structurally, Cadherin 17 contains seven extracellular cadherin repeats and a short cytoplasmic domain that lacks a catenin-binding region, distinguishing it from classical cadherins such as E-cadherin.

Cadherin 17 plays an important role in epithelial organization, cell polarity, and maintenance of intestinal tissue architecture. CDH17 antibody, also commonly referred to as LI-cadherin antibody in the literature, is frequently used to investigate adhesion mechanisms in gastrointestinal epithelial cells. The calcium-dependent adhesive properties of Liver-intestine cadherin support stable epithelial cell-cell contacts while allowing dynamic tissue remodeling.

Expression of Cadherin 17 is highest in the small intestine and colon, with limited expression in most non-intestinal tissues. CDH17 antibody is therefore a valuable reagent for studying gastrointestinal epithelial differentiation and lineage specificity. Liver-intestine cadherin expression is well characterized in normal intestinal mucosa and is commonly retained in intestinal-type epithelial tumors, reinforcing its utility as a tissue-specific epithelial marker.

In cancer-related research, altered expression of Cadherin 17 has been associated with tumor progression and metastatic behavior in gastrointestinal malignancies. CDH17 antibody is widely applied as a diagnostic and classification marker for identifying tumors of intestinal origin and for distinguishing gastrointestinal-derived carcinomas from non-intestinal epithelial tumors.

This CDH17 antibody, clone CDH17/8515R, is designed to recognize Cadherin 17 protein in research applications. Clone CDH17/8515R supports detection of membrane-associated CDH17 expression and is suitable for studies focused on epithelial adhesion, gastrointestinal biology, and tumor characterization.

This antibody is part of a broader antibody panel offered by NSJ Bioreagents.

Application Notes

Optimal dilution of the CDH17 antibody rabbit monoclonal should be determined by the researcher.

Immunogen

A recombinant partial protein sequence (within amino acids 242-418) from the human protein was used as the immunogen for the CDH17 antibody rabbit monoclonal.

Storage

Aliquot the CDH17 antibody and store frozen at -20oC or colder. Avoid repeated freeze-thaw cycles.

Cross
Bulk Quote Request Form
Name*:
Organization*:
Email*:
Phone Number*:
Catalog No.*:
Comments and Specifics(amount, formulation, etc.)*:
Validation code: Captchapackage Image


Can't read the image? click here to refresh.
    *required field

Your bulk quote request has been submitted successfully!

Please contact us if you have any questions.