• Tel: 858.663.9055
  • SeparatorEmail: info@nsjbio.com
  • Tel: 858.663.9055
  • Email: info@nsjbio.com
Home >> Antibodies >> CDH17 Antibody / Cadherin 17

CDH17 Antibody / Cadherin 17 [clone CDH17/2613] (V5848)

  Catalog No Formulation Size Price (USD)  
Image V5848-100UG 0.2 mg/ml in 1X PBS with 0.05% BSA, 0.05% sodium azide 100 ug 559
Image
V5848-20UG 0.2 mg/ml in 1X PBS with 0.05% BSA, 0.05% sodium azide 20 ug 259
Image
V5848SAF-100UG 1 mg/ml in 1X PBS; BSA free, sodium azide free 100 ug 559
Bulk quote request
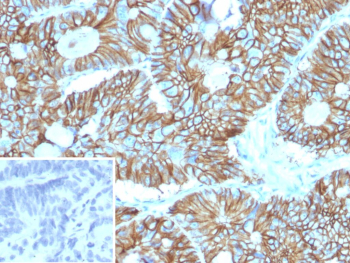
Immunohistochemical analysis of CDH17 in FFPE human colon adenocarcinoma using a CDH17 / Cadherin 17 antibody (clone CDH17/2613). Brown chromogenic staining is observed along epithelial cell membranes within tumor glands, consistent with Cadherin 17 localization in intestinal-type epithelium. Staining of formalin-fixed tissues requires heating tissue sections in 10 mM Tris with 1 mM EDTA, pH 9.0, for 45 minutes at 95 C followed by cooling at room temperature for 20 minutes. Inset shows a negative control section processed in parallel using PBS in place of the primary antibody, demonstrating minimal background staining.
Immunohistochemical analysis of CDH17 in FFPE human colon adenocarcinoma using a CDH17 / Cadherin 17 antibody (clone CDH17/2613). Strong membranous staining is observed in tumor epithelial cells forming glandular structures, consistent with Cadherin 17 expression in intestinal-type epithelium. Staining of formalin-fixed tissues requires heating tissue sections in 10 mM Tris with 1 mM EDTA, pH 9.0, for 45 minutes at 95 C followed by cooling at room temperature for 20 minutes. Inset shows a negative control section processed in parallel using PBS in place of the primary antibody, demonstrating minimal background staining.
Western blot analysis of human small intestine tissue lysate using CDH17/Cadherin 17 antibody (clone CDH17/2613). Predicted molecular weight ~92 kDa but may be observed at higher molecular weights due to glycosylation.
Species Reactivity Human
Format Purified
Host Mouse
Clonality Monoclonal (mouse origin)
Isotype Mouse IgG2b, kappa
Clone Name CDH17/2613
UniProt Q12864
Localization Cell membrane
Applications Immunohistochemistry (FFPE) : 1-2ug/ml
Western Blot : 2-4ug/ml
Limitations This CDH17/Cadherin 17 antibody is available for research use only.
Review this product on BioCompare and get a $20 Amazon gift card

Related Products

Description

CDH17 antibody targets Cadherin 17, also referred to as Liver-intestine cadherin, a calcium-dependent cell adhesion protein that belongs to the cadherin superfamily. Cadherin 17 is encoded by the CDH17 gene and is primarily localized to the cell membrane of epithelial cells within the gastrointestinal tract. Structurally, Cadherin 17 is a non-classical cadherin containing seven extracellular cadherin repeats and a short cytoplasmic tail that lacks a catenin-binding domain, distinguishing it from classical cadherins such as E-cadherin and N-cadherin.

Cadherin 17 plays an important role in epithelial organization and maintenance of tissue architecture in the intestine. CDH17 antibody is commonly used to examine adhesion-related processes in gastrointestinal epithelial cells, where Liver-intestine cadherin contributes to cell polarity and epithelial integrity. Unlike classical cadherins, Cadherin 17-mediated adhesion is less dependent on cytoskeletal anchoring, suggesting a more dynamic role in epithelial remodeling and turnover.

Expression of Cadherin 17 is highest in the small intestine and colon, with limited expression in most non-epithelial tissues. CDH17 antibody is therefore a useful reagent for studying gastrointestinal epithelial differentiation and lineage specificity. Liver-intestine cadherin expression patterns have been widely characterized in both normal intestinal mucosa and disease-associated contexts, making Cadherin 17 a well-established epithelial marker.

In cancer research, CDH17 antibody is frequently used as a diagnostic and classification marker for gastrointestinal-derived malignancies. Cadherin 17 expression is commonly retained in colorectal adenocarcinoma and other intestinal-type tumors, where it can assist in distinguishing gastrointestinal origin in metastatic disease. Altered expression of Liver-intestine cadherin has also been reported in tumor progression and invasion, supporting ongoing interest in Cadherin 17 biology.

This CDH17 antibody, clone CDH17/2613, is designed to recognize Cadherin 17 protein in research applications. Clone CDH17/2613 supports detection of membrane-associated CDH17 expression and is suitable for studies focused on epithelial adhesion, gastrointestinal biology, and tumor characterization.

Application Notes

Optimal dilution of the CDH17/Cadherin 17 antibody should be determined by the researcher.

Immunogen

A recombinant fragment (around amino acids 200-450) of human Cadherin 17 protein (CDH17) (exact sequence is proprietary) was used as the immunogen for the CDH17/Cadherin 17 antibody.

Storage

CDH17/Cadherin 17 antibody with sodium azide - store at 2 to 8oC; antibody without sodium azide - store at -20 to -80oC.

Cross
Bulk Quote Request Form
Name*:
Organization*:
Email*:
Phone Number*:
Catalog No.*:
Comments and Specifics(amount, formulation, etc.)*:
Validation code: Captchapackage Image


Can't read the image? click here to refresh.
    *required field

Your bulk quote request has been submitted successfully!

Please contact us if you have any questions.