• Tel: 858.663.9055
  • SeparatorEmail: info@nsjbio.com
  • Tel: 858.663.9055
  • Email: info@nsjbio.com
Home >> Antibodies >> CDH11 Antibody

CDH11 Antibody (R33226)

  Catalog No Formulation Size Price (USD)  
Image R33226-100UG 0.5 mg/ml in 1X TBS, pH7.3, with 0.5% BSA (US sourced) and 0.02% sodium azide 100 ug 475
Bulk quote request
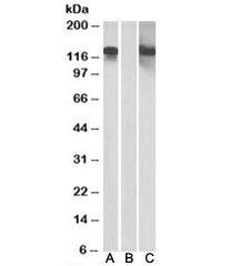
Western blot testing of HEK293 lysate overexpressing CDH11-MYC with CDH11 antibody [1ug/ml] in Lane A and with anti-MYC [1/1000] in lane C. Mock-transfected probed with anti-CDH11 [1ug/ml] in Lane B. Predicted molecular weight: ~88kDa but can be observed at 120-130kDa.
Availability 1-3 business days
Species Reactivity Human
Predicted Reactivity Rat, Dog, Cow
Format Antigen affinity purified
Host Goat
Clonality Polyclonal (goat origin)
Isotype Goat Ig
Purity Antigen affinity
Gene ID 1009
Applications Western Blot : 1-3ug/ml
ELISA (peptide) LOD : 1:8000
Limitations This CDH11 antibody is available for research use only.
Review this product on BioCompare and get a $20 Amazon gift card

Related Products

  • Applications : WB (transfected), ELISA (peptide)
    Reactivity : Human
    Pred. Reactivity : Mouse, Rat, Dog, Cow
  • Applications : WB, IHC-P, FACS, Direct ELISA
    Reactivity : Human, Mouse, Rat

Description

Additional name(s) for this target protein: Cadherin 11; Osteoblast cadherin

Application Notes

Optimal dilution of the CDH11 antibody should be determined by the researcher.

Immunogen

Amino acids CESDQTKPLSNQP were used as the immunogen for this CDH11 antibody.

Storage

Aliquot and store the CDH11 antibody at -20oC.

Cross
Bulk Quote Request Form
Name*:
Organization*:
Email*:
Phone Number*:
Catalog No.*:
Comments and Specifics(amount, formulation, etc.)*:
Validation code: Captchapackage Image


Can't read the image? click here to refresh.
    *required field

Your bulk quote request has been submitted successfully!

Please contact us if you have any questions.