• Tel: 858.663.9055
  • SeparatorEmail: info@nsjbio.com
  • Tel: 858.663.9055
  • Email: info@nsjbio.com
Home >> Antibodies >> Cdh1 Antibody / E-cadherin

Cdh1 Antibody / E-cadherin (FY13118)

  Catalog No Formulation Size Price (USD)  
Image FY13118 Adding 0.2 ml of distilled water will yield a concentration of 500 ug/ml 100 ug 449
Bulk quote request
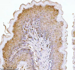
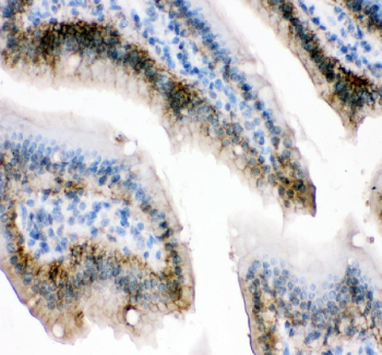
Cdh1 Antibody Mouse Colon IHC. Immunohistochemical staining of E-Cadherin/Cdh1 using anti-Cdh1 antibody. E-Cadherin/Cdh1 was detected in a paraffin-embedded section of mouse colon tissue. Heat mediated antigen retrieval was performed in EDTA buffer (pH 8.0, epitope retrieval solution). The tissue section was blocked with 10% goat serum. The tissue section was then incubated with 2 ug/ml rabbit anti-Cdh1 antibody overnight at 4oC. Peroxidase Conjugated Goat Anti-rabbit IgG was used as secondary antibody and incubated for 30 minutes at 37oC. The tissue section was developed using an HRP secondary and DAB substrate.
Cdh1 Antibdoy Mouse Testis and Stomach Western blot analysis of E-Cadherin/Cdh1 using anti-Cdh1 antibody. Lane 1: mouse testis tissue lysates, Lane 2: mouse stomach tissue lysates. After electrophoresis, proteins were transferred to a nitrocellulose membrane at 150 mA for 50-90 minutes. Blocked the membrane with 5% non-fat milk/TBS for 1.5 hour at RT. The membrane was incubated with rabbit anti-Cdh1 antibody at 0.5 ug/ml overnight at 4oC, then washed with TBS-0.1%Tween 3 times with 5 minutes each and probed with a goat anti-rabbit IgG-HRP secondary antibody at a dilution of 1:5000 for 1.5 hour at RT. The signal was developed using enhanced chemiluminescent. Cdh1/E-cadherin antibody detects a strong doublet at ~120-130 kDa in mouse testis and stomach, consistent with mature and pro/variably glycosylated E-cadherin. Additional bands near ~90–95 kDa likely represent immature or partially deglycosylated species and may include proteolytic products.
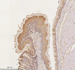
Cdh1 Antibody Rat Colon IHC. Immunohistochemical staining of E-Cadherin/Cdh1 using anti-Cdh1 antibody. E-Cadherin/Cdh1 was detected in a paraffin-embedded section of rat colon tissue. Heat mediated antigen retrieval was performed in EDTA buffer (pH 8.0, epitope retrieval solution). The tissue section was blocked with 10% goat serum. The tissue section was then incubated with 2 ug/ml rabbit anti-Cdh1 antibody overnight at 4oC. Peroxidase Conjugated Goat Anti-rabbit IgG was used as secondary antibody and incubated for 30 minutes at 37oC. The tissue section was developed using an HRP secondary and DAB substrate.
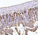
Cdh1 Antibody Rat Stomach IHC. Immunohistochemical staining of E-Cadherin/Cdh1 using anti-Cdh1 antibody. E-Cadherin/Cdh1 was detected in a paraffin-embedded section of rat stomach tissue. Heat mediated antigen retrieval was performed in EDTA buffer (pH 8.0, epitope retrieval solution). The tissue section was blocked with 10% goat serum. The tissue section was then incubated with 2 ug/ml rabbit anti-Cdh1 antibody overnight at 4oC. Peroxidase Conjugated Goat Anti-rabbit IgG was used as secondary antibody and incubated for 30 minutes at 37oC. The tissue section was developed using an HRP secondary and DAB substrate.
Immunohistochemical staining of E-Cadherin/Cdh1 using anti-Cdh1 antibody. E-Cadherin/Cdh1 was detected in a paraffin-embedded section of rat stomach tissue. Heat mediated antigen retrieval was performed in EDTA buffer (pH 8.0, epitope retrieval solution). The tissue section was blocked with 10% goat serum. The tissue section was then incubated with 2 ug/ml rabbit anti-Cdh1 antibody overnight at 4oC. Peroxidase Conjugated Goat Anti-rabbit IgG was used as secondary antibody and incubated for 30 minutes at 37oC. The tissue section was developed using an HRP secondary and DAB substrate.
Flow Cytometry analysis of NIH/3T3 cells using anti-Cdh1 antibody. Overlay histogram showing NIH/3T3 cells stained with (Blue line). The cells were fixed with 4% paraformaldehyde and blocked with 10% normal goat serum. And then incubated with rabbit anti-Cdh1 antibody (1 ug/million cells) for 30 min at 20oC. DyLight 488 conjugated goat anti-rabbit IgG (5-10 ug/million cells) was used as secondary antibody for 30 minutes at 20oC. Isotype control antibody (Green line) was rabbit IgG (1 ug/million cells) used under the same conditions. Unlabelled sample (Red line) was also used as a control.
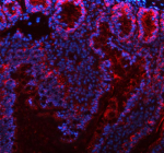
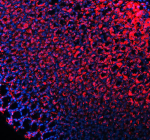
Cdh1 Antibody Mouse Stomach IF. Immunofluorescent staining of E-Cadherin/Cdh1 using anti-Cdh1 antibody (red). E-Cadherin/Cdh1 was detected in a paraffin-embedded section of mouse stomach tissue. Heat mediated antigen retrieval was performed in EDTA buffer (pH 8.0, epitope retrieval solution). The tissue section was blocked with 10% goat serum. The tissue section was then incubated with 5 ug/ml rabbit anti-Cdh1 antibody overnight at 4oC. DyLight 594 Conjugated Goat Anti-Rabbit IgG was used as secondary antibody at 1:500 dilution and incubated for 30 minutes at 37oC. The section was counterstained with DAPI nuclear stain (blue). Visualize using a fluorescence microscope and filter sets appropriate for the label used.
Cdh1 Antibody Rat Colon IHC. Immunofluorescent staining of E-Cadherin/Cdh1 using anti-Cdh1 antibody (red). E-Cadherin/Cdh1 was detected in a paraffin-embedded section of rat colon tissue. Heat mediated antigen retrieval was performed in EDTA buffer (pH 8.0, epitope retrieval solution). The tissue section was blocked with 10% goat serum. The tissue section was then incubated with 5 ug/ml rabbit anti-Cdh1 antibody overnight at 4oC. DyLight 594 Conjugated Goat Anti-Rabbit IgG was used as secondary antibody at 1:500 dilution and incubated for 30 minutes at 37oC. The section was counterstained with DAPI nuclear stain (blue). Visualize using a fluorescence microscope and filter sets appropriate for the label used.
Cdh1 Antibody Rat Stomach IHC. Immunofluorescent staining of E-Cadherin/Cdh1 using anti-Cdh1 antibody (red). E-Cadherin/Cdh1 was detected in a paraffin-embedded section of rat stomach tissue. Heat mediated antigen retrieval was performed in EDTA buffer (pH 8.0, epitope retrieval solution). The tissue section was blocked with 10% goat serum. The tissue section was then incubated with 5 ug/ml rabbit anti-Cdh1 antibody overnight at 4oC. DyLight 594 Conjugated Goat Anti-Rabbit IgG was used as secondary antibody at 1:500 dilution and incubated for 30 minutes at 37oC. The section was counterstained with DAPI nuclear stain (blue). Visualize using a fluorescence microscope and filter sets appropriate for the label used.
Availability 1-2 days
Species Reactivity Mouse, Rat
Format Lyophilized
Host Rabbit
Clonality Polyclonal (rabbit origin)
Isotype Rabbit IgG
Purity Immunogen affinity purified
Buffer Each vial contains 4 mg Trehalose, 0.9 mg NaCl, 0.2 mg Na2HPO4.
UniProt P09803
Applications ELISA : 0.1-0.5ug/ml
Flow Cytometry : 1-3ug/million cells
Immunofluorescence : 5ug/ml
Immunohistochemistry : 2-5ug/ml
Western Blot : 0.25-0.5ug/ml
Limitations This Cdh1 antibody is available for research use only.
Review this product on BioCompare and get a $20 Amazon gift card

Related Products

Description

Cdh1 antibody detects E-cadherin, a calcium-dependent cell adhesion glycoprotein critical for epithelial cell-cell junctions and tissue integrity. The UniProt recommended name is Cadherin-1 (CDH1), also known as E-cadherin. This transmembrane protein mediates homophilic interactions between epithelial cells, maintaining polarity and barrier function across tissues.

Functionally, E-cadherin antibody identifies a 882-amino-acid protein composed of five extracellular cadherin repeats, a transmembrane segment, and a cytoplasmic domain that binds catenins. Through its linkage to beta-catenin and the actin cytoskeleton, E-cadherin forms adherens junctions that regulate tissue morphogenesis and cell migration. Its adhesive strength depends on calcium ions that stabilize the extracellular cadherin domains.

The CDH1 gene is located on chromosome 16q22.1 and is strongly expressed in epithelial tissues, including gastrointestinal tract, liver, mammary gland, and skin. E-cadherin serves as a hallmark of epithelial differentiation, while its downregulation signifies epithelial-to-mesenchymal transition (EMT), a key event in cancer metastasis and wound repair.

Pathologically, loss or mutation of E-cadherin leads to disrupted cell adhesion, increased invasiveness, and hereditary diffuse gastric cancer. CDH1 promoter methylation and transcriptional repression by SNAIL or TWIST contribute to tumor progression. Research using E-cadherin antibody supports studies in cell adhesion, cancer metastasis, and epithelial polarity.

Cdh1 antibody is validated for western blotting, immunohistochemistry, and immunofluorescence to detect E-cadherin in tissues and cultured epithelial cells. NSJ Bioreagents provides high-quality CDH1 antibody reagents optimized for cell adhesion, cancer biology, and developmental studies.

Structurally, E-cadherin forms cis and trans dimers that bridge adjacent cell membranes, with its cytoplasmic domain binding to catenins and actin filaments. This antibody facilitates detailed characterization of E-cadherin's role in maintaining epithelial integrity and suppressing invasion.

This antibody is part of the CDH1 antibody collection, where multiple E-cadherin antibody formats and applications are available for studying epithelial adhesion and cancer progression.

Application Notes

Optimal dilution of the Cdh1 antibody should be determined by the researcher.

Immunogen

E.coli-derived mouse E-cadherin/Cdh1 recombinant protein (Position: Q23-Q708) was used as the immunogen for the Cdh1 antibody.

Storage

After reconstitution, the Cdh1 antibody can be stored for up to one month at 4oC. For long-term, aliquot and store at -20oC. Avoid repeated freezing and thawing.

Cross
Bulk Quote Request Form
Name*:
Organization*:
Email*:
Phone Number*:
Catalog No.*:
Comments and Specifics(amount, formulation, etc.)*:
Validation code: Captchapackage Image


Can't read the image? click here to refresh.
    *required field

Your bulk quote request has been submitted successfully!

Please contact us if you have any questions.