• Tel: 858.663.9055
  • SeparatorEmail: info@nsjbio.com
  • Tel: 858.663.9055
  • Email: info@nsjbio.com
Home >> Antibodies >> CDC42EP3 Antibody

CDC42EP3 Antibody (F55000)

  Catalog No Formulation Size Price (USD)  
Image F55000-0.4ML In 1X PBS, pH 7.4, with 0.09% sodium azide 0.4 ml 439
Image
F55000-0.08ML In 1X PBS, pH 7.4, with 0.09% sodium azide 0.08 ml 205
Bulk quote request
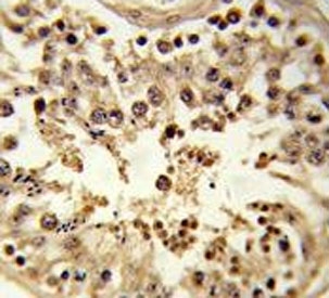
IHC testing of FFPE human testis tissue with CDC42EP3 antibody. HIER: steam section in pH6 citrate buffer for 20 min and allow to cool prior to staining.
Western blot testing of human HEK293 cell lysate with CDC42EP3 antibody. Predicted molecular weight ~28 kDa.
Western blot testing of 1) non-transfected and 2) transfected 293 cell lysate with CDC42EP3 antibody.
Flow cytometry testing of human HEK293 cells with CDC42EP3 antibody; Blue=isotype control, Green= CDC42EP3 antibody.
Availability 1-3 business days
Species Reactivity Human
Format Purified
Host Rabbit
Clonality Polyclonal (rabbit origin)
Isotype Rabbit Ig
Purity Antigen affinity purified
UniProt Q9UKI2
Localization Cytoplasmic
Applications Flow Cytometry : 1:10-1:50 (1x10e6 cells)
Western Blot : 1:500-1:1000
Immunohistochemistry (FFPE) : 1:50-1:100
Limitations This CDC42EP3 antibody is available for research use only.
Review this product on BioCompare and get a $20 Amazon gift card

Description

CDC42EP3 is probably involved in the organization of the actin cytoskeleton. May act downstream of CDC42 to induce actin filament assembly leading to cell shape changes. It induces pseudopodia formation in fibroblasts.

Application Notes

The stated application concentrations are suggested starting points. Titration of the CDC42EP3 antibody may be required due to differences in protocols and secondary/substrate sensitivity.

Immunogen

A portion of amino acids 1-30 from the human protein was used as the immunogen for the CDC42EP3 antibody.

Storage

Aliquot the CDC42EP3 antibody and store frozen at -20oC or colder. Avoid repeated freeze-thaw cycles.

Cross
Bulk Quote Request Form
Name*:
Organization*:
Email*:
Phone Number*:
Catalog No.*:
Comments and Specifics(amount, formulation, etc.)*:
Validation code: Captchapackage Image


Can't read the image? click here to refresh.
    *required field

Your bulk quote request has been submitted successfully!

Please contact us if you have any questions.